电话:
+86 (0512) 65829739
传真:
+86 (010) 6788 5057
电子邮件:
orders@antibodies-online.cn

RABIF 抗体 (N-Term)

The 兔 多克隆 anti-RABIF antibody (ABIN6263401) specifically detects RABIF in ELISA, WB, IF, IHC 和 ICC. The antibody is reactive with 人, 小鼠 和 大鼠 samples.
产品编号 ABIN6263401
发货至: 中国
Contact our Customer Service for availability and price in your country. Contact Info

Our Local Distributor

中国
北京 101111
No. 88 KeChuang 6th Street
Beijing Economic Technological Development Area
Room 801-803
4A Biotech Co.,Ltd.
Tel +86 (0512) 65829739 传真 +86 (010) 6788 5057

Quick Overview for RABIF 抗体 (N-Term) (ABIN6263401)

抗原

See all RABIF 抗体
RABIF (RAB Interacting Factor (RABIF))

适用

人, 小鼠, 大鼠

宿主

  • 9
  • 2

克隆类型

  • 9
  • 2
多克隆

标记

  • 7
  • 2
  • 1
  • 1
This RABIF antibody is un-conjugated

应用范围

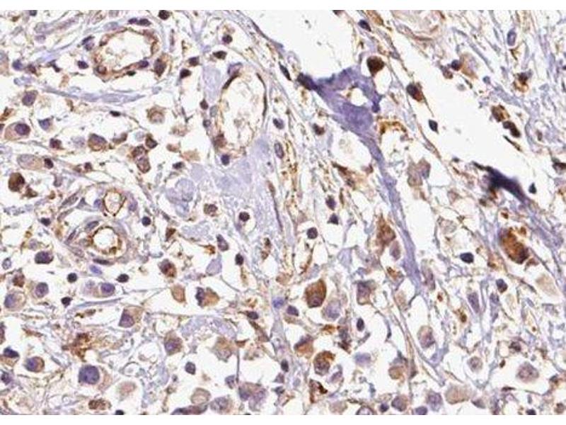
ELISA, Western Blotting (WB), Immunofluorescence (IF), Immunohistochemistry (IHC), Immunocytochemistry (ICC)
  • 抗原表位

    • 8
    • 1
    N-Term

    特异性

    MSS4 Antibody detects endogenous levels of total MSS4.

    预测反应

    Pig,Bovine,Rabbit,Dog

    纯化方法

    The antiserum was purified by peptide affinity chromatography using SulfoLinkTM Coupling Resin (Thermo Fisher Scientific).

    免疫原

    A synthesized peptide derived from human MSS4, corresponding to a region within N-terminal amino acids.

    亚型

    IgG
  • 应用备注

    WB 1:1000-3000, IHC 1:200, IF/ICC 1:100-1:500, ELISA(peptide) 1:20000-1:40000

    限制

    仅限研究用
  • 状态

    Liquid

    浓度

    1 mg/mL

    缓冲液

    Rabbit IgG in phosphate buffered saline , pH 7.4, 150 mM NaCl, 0.02 % sodium azide and 50 % glycerol.

    储存液

    Sodium azide

    注意事项

    This product contains Sodium azide: a POISONOUS AND HAZARDOUS SUBSTANCE which should be handled by trained staff only.

    储存条件

    -20 °C

    储存方法

    Store at -20 °C. Stable for 12 months from date of receipt.

    有效期

    12 months
  • 抗原

    RABIF (RAB Interacting Factor (RABIF))

    别名

    RABIF

    背景

    Description: Guanine-nucleotide-releasing protein that acts on members of the SEC4/YPT1/RAB subfamily. Stimulates GDP release from both YPT1 and RAB3A, but is less active on these proteins than on the SEC4 protein. Might play a general role in vesicular transport.

    Gene: RABIF

    分子量

    14 kDa

    基因ID

    5877

    UniProt

    P47224
You are here: