电话:
+86 (0512) 65829739
传真:
+86 (010) 6788 5057
电子邮件:
orders@antibodies-online.cn

IMMT 抗体 (Internal Region)

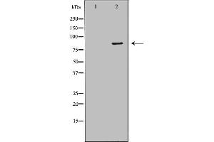
The 兔 多克隆 anti-IMMT antibody is suitable to detect IMMT in samples from 人, 小鼠 和 大鼠. It has been validated for WB, ELISA, IHC, IF 和 ICC.
产品编号 ABIN6262578
发货至: 中国
Contact our Customer Service for availability and price in your country. Contact Info

Our Local Distributor

中国
北京 101111
No. 88 KeChuang 6th Street
Beijing Economic Technological Development Area
Room 801-803
4A Biotech Co.,Ltd.
Tel +86 (0512) 65829739 传真 +86 (010) 6788 5057

Quick Overview for IMMT 抗体 (Internal Region) (ABIN6262578)

抗原

See all IMMT 抗体
IMMT (Inner Membrane Protein, Mitochondrial (IMMT))

适用

  • 68
  • 27
  • 26
  • 2
  • 1
  • 1
  • 1
  • 1
  • 1
人, 小鼠, 大鼠

宿主

  • 63
  • 5

克隆类型

  • 54
  • 14
多克隆

标记

  • 29
  • 3
  • 3
  • 3
  • 3
  • 3
  • 3
  • 3
  • 3
  • 2
  • 1
  • 1
  • 1
  • 1
  • 1
  • 1
  • 1
  • 1
  • 1
  • 1
  • 1
  • 1
  • 1
This IMMT antibody is un-conjugated

应用范围

  • 51
  • 17
  • 17
  • 17
  • 16
  • 14
  • 13
  • 11
  • 7
  • 5
  • 3
  • 1
Western Blotting (WB), ELISA, Immunohistochemistry (IHC), Immunofluorescence (IF), Immunocytochemistry (ICC)
  • 抗原表位

    • 15
    • 5
    • 2
    • 2
    • 2
    • 2
    • 1
    • 1
    • 1
    • 1
    • 1
    • 1
    • 1
    • 1
    • 1
    • 1
    • 1
    • 1
    • 1
    • 1
    Internal Region

    特异性

    Mitofilin Antibody detects endogenous levels of total Mitofilin.

    预测反应

    Pig,Bovine,Horse,Sheep,Rabbit,Dog

    纯化方法

    The antiserum was purified by peptide affinity chromatography using SulfoLinkTM Coupling Resin (Thermo Fisher Scientific).

    免疫原

    A synthesized peptide derived from human Mitofilin, corresponding to a region within the internal amino acids.

    亚型

    IgG
  • 应用备注

    WB 1:500-1:2000, IHC 1:50-1:100, IF/ICC 1:100-1:500, ELISA(peptide) 1:20000-1:40000

    限制

    仅限研究用
  • 状态

    Liquid

    浓度

    1 mg/mL

    缓冲液

    Rabbit IgG in phosphate buffered saline , pH 7.4, 150 mM NaCl, 0.02 % sodium azide and 50 % glycerol.

    储存液

    Sodium azide

    注意事项

    This product contains Sodium azide: a POISONOUS AND HAZARDOUS SUBSTANCE which should be handled by trained staff only.

    储存条件

    -20 °C

    储存方法

    Store at -20 °C. Stable for 12 months from date of receipt.

    有效期

    12 months
  • 抗原

    IMMT (Inner Membrane Protein, Mitochondrial (IMMT))

    别名

    IMMT

    背景

    Description: Component of the MICOS complex, a large protein complex of the mitochondrial inner membrane that plays crucial roles in the maintenance of crista junctions, inner membrane architecture, and formation of contact sites to the outer membrane. Plays an important role in the maintenance of the MICOS complex stability and the mitochondrial cristae morphology (PubMed:22114354, PubMed:25781180).

    Gene: IMMT

    分子量

    84kDa

    基因ID

    10989

    UniProt

    Q16891
You are here: