电话:
+86 (0512) 65829739
传真:
+86 (010) 6788 5057
电子邮件:
orders@antibodies-online.cn

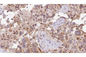
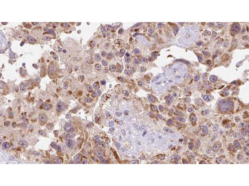
FSTL1 抗体 (N-Term)

This 兔 多克隆 antibody specifically detects FSTL1 in WB, IHC, ICC 和 IF. It exhibits reactivity toward 人 和 大鼠.
产品编号 ABIN6261824
发货至: 中国
Contact our Customer Service for availability and price in your country. Contact Info

Our Local Distributor

中国
北京 101111
No. 88 KeChuang 6th Street
Beijing Economic Technological Development Area
Room 801-803
4A Biotech Co.,Ltd.
Tel +86 (0512) 65829739 传真 +86 (010) 6788 5057

Quick Overview for FSTL1 抗体 (N-Term) (ABIN6261824)

抗原

See all FSTL1 抗体
FSTL1 (Follistatin-Like 1 (FSTL1))

适用

  • 57
  • 14
  • 9
  • 6
  • 3
  • 2
  • 2
  • 2
  • 2
  • 2
  • 2
人, 大鼠

宿主

  • 68
  • 4
  • 2
  • 1

克隆类型

  • 67
  • 8
多克隆

标记

  • 39
  • 10
  • 4
  • 3
  • 1
  • 1
  • 1
  • 1
  • 1
  • 1
  • 1
  • 1
  • 1
  • 1
  • 1
  • 1
  • 1
  • 1
  • 1
  • 1
  • 1
  • 1
  • 1
This FSTL1 antibody is un-conjugated

应用范围

  • 44
  • 31
  • 23
  • 14
  • 13
  • 13
  • 10
  • 9
  • 7
  • 5
  • 4
  • 4
  • 3
  • 2
Western Blotting (WB), Immunohistochemistry (IHC), Immunocytochemistry (ICC), Immunofluorescence (IF)
  • 抗原表位

    • 15
    • 8
    • 8
    • 5
    • 5
    • 3
    • 3
    • 3
    • 2
    • 2
    • 1
    • 1
    • 1
    • 1
    N-Term

    特异性

    FSTL1 Antibody detects endogenous levels of total FSTL1.

    预测反应

    Pig,Bovine,Horse,Sheep,Rabbit,Dog,Chicken,Xenopus

    纯化方法

    The antiserum was purified by peptide affinity chromatography using SulfoLinkTM Coupling Resin (Thermo Fisher Scientific).

    免疫原

    A synthesized peptide derived from human FSTL1, corresponding to a region within N-terminal amino acids.

    亚型

    IgG
  • 应用备注

    WB 1:500-1:2000, IHC 1:50-1:200, IF/ICC 1:100-1:500

    限制

    仅限研究用
  • 状态

    Liquid

    浓度

    1 mg/mL

    缓冲液

    Rabbit IgG in phosphate buffered saline , pH 7.4, 150 mM NaCl, 0.02 % sodium azide and 50 % glycerol.

    储存液

    Sodium azide

    注意事项

    This product contains Sodium azide: a POISONOUS AND HAZARDOUS SUBSTANCE which should be handled by trained staff only.

    储存条件

    -20 °C

    储存方法

    Store at -20 °C. Stable for 12 months from date of receipt.

    有效期

    12 months
  • 抗原

    FSTL1 (Follistatin-Like 1 (FSTL1))

    别名

    FSTL1

    背景

    Description: May modulate the action of some growth factors on cell proliferation and differentiation. Binds heparin (By similarity).

    Gene: FSTL1

    分子量

    35-37 kDa

    基因ID

    11167

    UniProt

    Q12841
You are here: