电话:
+86 (0512) 65829739
传真:
+86 (010) 6788 5057
电子邮件:
orders@antibodies-online.cn

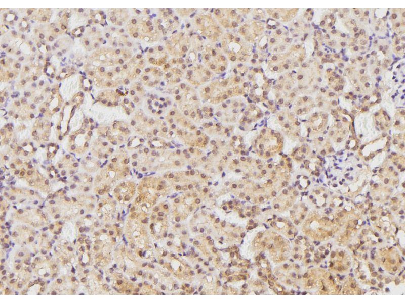
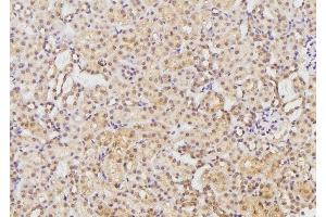
EFNB1/2 抗体

The 兔 多克隆 anti-EFNB1/2 antibody is suitable to detect EFNB1/2 in samples from 人, 小鼠 和 大鼠. It has been validated for ELISA, WB, IHC, ICC 和 IF.
产品编号 ABIN6261453
发货至: 中国
Contact our Customer Service for availability and price in your country. Contact Info

Our Local Distributor

中国
北京 101111
No. 88 KeChuang 6th Street
Beijing Economic Technological Development Area
Room 801-803
4A Biotech Co.,Ltd.
Tel +86 (0512) 65829739 传真 +86 (010) 6788 5057

Quick Overview for EFNB1/2 抗体 (ABIN6261453)

抗原

EFNB1/2

适用

人, 小鼠, 大鼠

宿主

  • 2

克隆类型

  • 2
多克隆

标记

  • 2
非结合性

应用范围

ELISA, Western Blotting (WB), Immunohistochemistry (IHC), Immunocytochemistry (ICC), Immunofluorescence (IF)
  • 特异性

    EFNB1/2 Antibody detects endogenous levels of total EFNB1/2

    交叉反应

    人, 小鼠, 大鼠

    纯化方法

    The antiserum was purified by peptide affinity chromatography using SulfoLinkTM Coupling Resin (Thermo Fisher Scientific).

    免疫原

    A synthesized peptide derived from human EFNB1/2

    亚型

    IgG
  • 应用备注

    WB 1:500-1:2000 IHC 1:50-1:200, IF/ICC 1:100-1:500

    限制

    仅限研究用
  • 状态

    Liquid

    浓度

    1 mg/mL

    缓冲液

    Rabbit IgG in phosphate buffered saline ,  pH 7.4, 150  mM NaCl, 0.02 % sodium azide and 50 % glycerol.

    储存液

    Sodium azide

    注意事项

    This product contains Sodium azide: a POISONOUS AND HAZARDOUS SUBSTANCE which should be handled by trained staff only.

    储存条件

    -20 °C

    储存方法

    Store at -20 °C.Stable for 12 months from date of receipt

    有效期

    12 months
  • 抗原

    EFNB1/2

    背景

    Description: Binds to the receptor tyrosine kinases EPHB1 and EPHA1. Binds to, and induce the collapse of, commissural axons/growth cones in vitro. May play a role in constraining the orientation of longitudinally projecting axons (By similarity).

    Gene: EFNB1

    分子量

    59kDa

    基因ID

    1947

    UniProt

    P98172, P52799
You are here: