电话:
+86 (0512) 65829739
传真:
+86 (010) 6788 5057
电子邮件:
orders@antibodies-online.cn

CUBN 抗体 (N-Term)

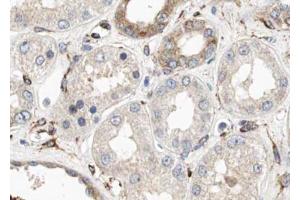
The 兔 多克隆 anti-CUBN antibody is suitable to detect CUBN in samples from 人. It has been validated for WB, IHC, ICC, ELISA 和 IF.
产品编号 ABIN6261105
发货至: 中国
Contact our Customer Service for availability and price in your country. Contact Info

Our Local Distributor

中国
北京 101111
No. 88 KeChuang 6th Street
Beijing Economic Technological Development Area
Room 801-803
4A Biotech Co.,Ltd.
Tel +86 (0512) 65829739 传真 +86 (010) 6788 5057

Quick Overview for CUBN 抗体 (N-Term) (ABIN6261105)

抗原

See all CUBN 抗体
CUBN (Cubilin (Intrinsic Factor-Cobalamin Receptor) (CUBN))

适用

  • 50
  • 10
  • 8

宿主

  • 63
  • 1

克隆类型

  • 46
  • 18
多克隆

标记

  • 15
  • 11
  • 4
  • 3
  • 3
  • 3
  • 3
  • 3
  • 3
  • 1
  • 1
  • 1
  • 1
  • 1
  • 1
  • 1
  • 1
  • 1
  • 1
  • 1
  • 1
  • 1
  • 1
  • 1
  • 1
This CUBN antibody is un-conjugated

应用范围

  • 32
  • 26
  • 15
  • 15
  • 10
  • 8
  • 6
  • 4
  • 3
  • 3
  • 3
Western Blotting (WB), Immunohistochemistry (IHC), Immunocytochemistry (ICC), ELISA, Immunofluorescence (IF)
  • 抗原表位

    • 17
    • 7
    • 6
    • 2
    • 1
    N-Term

    特异性

    Cubilin Antibody detects endogenous levels of total Cubilin.

    预测反应

    Pig,Bovine,Horse,Sheep,Dog,Chicken

    纯化方法

    The antiserum was purified by peptide affinity chromatography using SulfoLinkTM Coupling Resin (Thermo Fisher Scientific).

    免疫原

    A synthesized peptide derived from human Cubilin, corresponding to a region within N-terminal amino acids.

    亚型

    IgG
  • 应用备注

    WB 1:1000-3000, IHC 1:200, IF/ICC 1:100-1:500, ELISA(peptide) 1:20000-1:40000

    限制

    仅限研究用
  • 状态

    Liquid

    浓度

    1 mg/mL

    缓冲液

    Rabbit IgG in phosphate buffered saline , pH 7.4, 150 mM NaCl, 0.02 % sodium azide and 50 % glycerol.

    储存液

    Sodium azide

    注意事项

    This product contains Sodium azide: a POISONOUS AND HAZARDOUS SUBSTANCE which should be handled by trained staff only.

    储存条件

    -20 °C

    储存方法

    Store at -20 °C. Stable for 12 months from date of receipt.

    有效期

    12 months
  • 抗原

    CUBN (Cubilin (Intrinsic Factor-Cobalamin Receptor) (CUBN))

    别名

    CUBN

    背景

    Description: Cotransporter which plays a role in lipoprotein, vitamin and iron metabolism, by facilitating their uptake. Binds to ALB, MB, Kappa and lambda-light chains, TF, hemoglobin, GC, SCGB1A1, APOA1, high density lipoprotein, and the GIF-cobalamin complex. The binding of all ligands requires calcium. Serves as important transporter in several absorptive epithelia, including intestine, renal proximal tubules and embryonic yolk sac. Interaction with LRP2 mediates its trafficking throughout vesicles and facilitates the uptake of specific ligands like GC, hemoglobin, ALB, TF and SCGB1A1. Interaction with AMN controls its trafficking to the plasma membrane and facilitates endocytosis of ligands. May play an important role in the development of the peri-implantation embryo through internalization of APOA1 and cholesterol. Binds to LGALS3 at the maternal-fetal interface.

    Gene: CUBN

    分子量

    399kDa

    基因ID

    8029

    UniProt

    O60494

    途径

    Metabolism of Steroid Hormones and Vitamin D, Lipid Metabolism
You are here: