电话:
+86 (0512) 65829739
传真:
+86 (010) 6788 5057
电子邮件:
orders@antibodies-online.cn

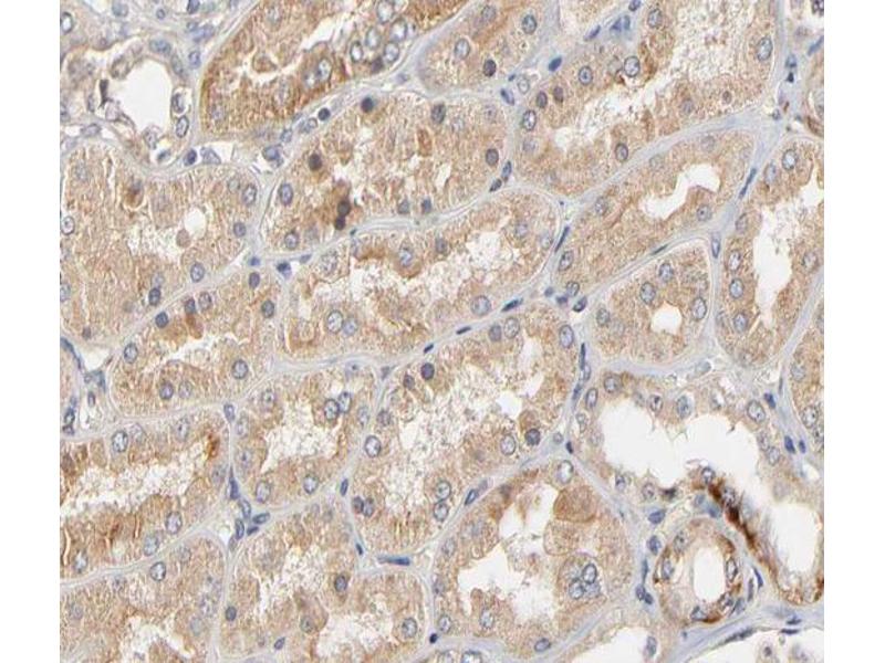
Claudin 2 抗体 (C-Term)

This 兔 多克隆 antibody specifically detects Claudin 2 in WB, IHC, ELISA, IF 和 ICC. It exhibits reactivity toward 人, 小鼠 和 大鼠.
产品编号 ABIN6260864
发货至: 中国
Contact our Customer Service for availability and price in your country. Contact Info

Our Local Distributor

中国
北京 101111
No. 88 KeChuang 6th Street
Beijing Economic Technological Development Area
Room 801-803
4A Biotech Co.,Ltd.
Tel +86 (0512) 65829739 传真 +86 (010) 6788 5057

Quick Overview for Claudin 2 抗体 (C-Term) (ABIN6260864)

抗原

See all Claudin 2 (CLDN2) 抗体
Claudin 2 (CLDN2)

适用

  • 84
  • 21
  • 16
  • 8
  • 4
  • 3
  • 2
  • 2
  • 2
  • 1
  • 1
  • 1
人, 小鼠, 大鼠

宿主

  • 82
  • 5

克隆类型

  • 80
  • 7
多克隆

标记

  • 43
  • 7
  • 7
  • 7
  • 6
  • 5
  • 2
  • 2
  • 2
  • 2
  • 2
  • 2
This Claudin 2 antibody is un-conjugated

应用范围

  • 61
  • 48
  • 40
  • 23
  • 10
  • 7
  • 7
  • 5
  • 2
  • 1
Western Blotting (WB), Immunohistochemistry (IHC), ELISA, Immunofluorescence (IF), Immunocytochemistry (ICC)
  • 抗原表位

    • 15
    • 10
    • 9
    • 8
    • 7
    • 7
    • 4
    • 3
    • 3
    • 3
    • 3
    • 2
    • 2
    • 2
    • 1
    • 1
    • 1
    • 1
    • 1
    • 1
    • 1
    C-Term

    特异性

    Claudin 2 Antibody detects endogenous levels of total Claudin 2.

    预测反应

    Pig,Bovine,Horse,Sheep,Rabbit,Dog

    纯化方法

    The antiserum was purified by peptide affinity chromatography using SulfoLinkTM Coupling Resin (Thermo Fisher Scientific).

    免疫原

    A synthesized peptide derived from human Claudin 2, corresponding to a region within C-terminal amino acids.

    亚型

    IgG
  • 应用备注

    WB: 1:500-1:3000, IHC: 1:50-1:200, IF/ICC 1:200, ELISA(peptide) 1:20000-1:40000

    限制

    仅限研究用
  • 状态

    Liquid

    浓度

    1 mg/mL

    缓冲液

    Rabbit IgG in phosphate buffered saline , pH 7.4, 150 mM NaCl, sodium azide and glycerol.

    储存液

    Sodium azide

    注意事项

    This product contains Sodium azide: a POISONOUS AND HAZARDOUS SUBSTANCE which should be handled by trained staff only.

    储存条件

    -20 °C

    储存方法

    Store at -20 °C. Stable for 12 months from date of receipt.

    有效期

    12 months
  • 抗原

    Claudin 2 (CLDN2)

    别名

    CLDN2

    背景

    Description: Plays a major role in tight junction-specific obliteration of the intercellular space, through calcium-independent cell-adhesion activity.

    Gene: CLDN2

    分子量

    25kDa

    基因ID

    9075

    UniProt

    P57739

    途径

    Hepatitis C
You are here: