电话:
+86 (0512) 65829739
传真:
+86 (010) 6788 5057
电子邮件:
orders@antibodies-online.cn

CD164L2 抗体

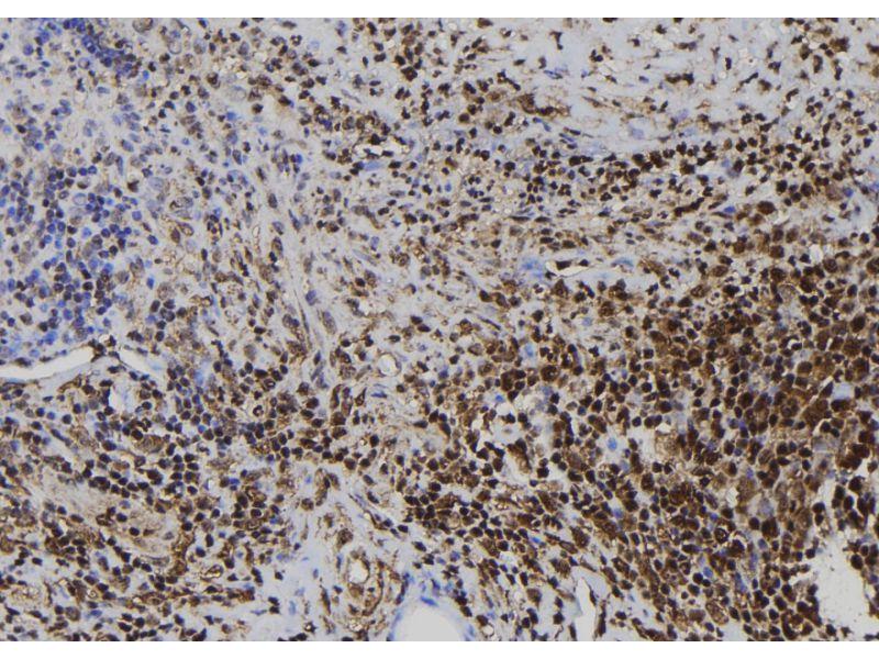
The 兔 多克隆 anti-CD164L2 antibody is suitable to detect CD164L2 in samples from 人. It has been validated for WB, ELISA 和 IHC.
产品编号 ABIN6260580
发货至: 中国
Contact our Customer Service for availability and price in your country. Contact Info

Our Local Distributor

中国
北京 101111
No. 88 KeChuang 6th Street
Beijing Economic Technological Development Area
Room 801-803
4A Biotech Co.,Ltd.
Tel +86 (0512) 65829739 传真 +86 (010) 6788 5057

Quick Overview for CD164L2 抗体 (ABIN6260580)

抗原

See all CD164L2 抗体
CD164L2 (CD164 Sialomucin-Like 2 (CD164L2))

适用

  • 1
  • 1

宿主

  • 1

克隆类型

  • 1
多克隆

标记

  • 1
This CD164L2 antibody is un-conjugated

应用范围

Western Blotting (WB), ELISA, Immunohistochemistry (IHC)
  • 特异性

    CD164L2 Antibody detects endogenous levels of total CD164L2

    交叉反应

    纯化方法

    The antiserum was purified by peptide affinity chromatography using SulfoLinkTM Coupling Resin (Thermo Fisher Scientific).

    免疫原

    A synthesized peptide derived from human CD164L2

    亚型

    IgG
  • 应用备注

    WB 1:1000-3000 IHC 1:200

    限制

    仅限研究用
  • 状态

    Liquid

    浓度

    1 mg/mL

    缓冲液

    Rabbit IgG in phosphate buffered saline ,  pH 7.4, 150  mM NaCl, 0.02 % sodium azide and 50 % glycerol.

    储存液

    Sodium azide

    注意事项

    This product contains Sodium azide: a POISONOUS AND HAZARDOUS SUBSTANCE which should be handled by trained staff only.

    储存条件

    -20 °C

    储存方法

    Store at -20 °C.Stable for 12 months from date of receipt

    有效期

    12 months
  • 抗原

    CD164L2 (CD164 Sialomucin-Like 2 (CD164L2))

    别名

    CD164L2

    背景

    Gene: CD164L2

    分子量

    19 kDa

    基因ID

    388611

    UniProt

    Q6UWJ8
You are here: