电话:
+86 (0512) 65829739
传真:
+86 (010) 6788 5057
电子邮件:
orders@antibodies-online.cn

CALCOCO2 抗体 (Internal Region)

This 兔 多克隆 antibody specifically detects CALCOCO2 in WB, IF, IHC 和 ICC. It exhibits reactivity toward 人, 小鼠 和 大鼠.
产品编号 ABIN6260408
发货至: 中国
Contact our Customer Service for availability and price in your country. Contact Info

Our Local Distributor

中国
北京 101111
No. 88 KeChuang 6th Street
Beijing Economic Technological Development Area
Room 801-803
4A Biotech Co.,Ltd.
Tel +86 (0512) 65829739 传真 +86 (010) 6788 5057

Quick Overview for CALCOCO2 抗体 (Internal Region) (ABIN6260408)

抗原

See all CALCOCO2 抗体
CALCOCO2 (Calcium Binding and Coiled-Coil Domain 2 (CALCOCO2))

适用

  • 30
  • 5
  • 3
  • 1
  • 1
人, 小鼠, 大鼠

宿主

  • 18
  • 13

克隆类型

  • 20
  • 11
多克隆

标记

  • 24
  • 1
  • 1
  • 1
  • 1
  • 1
  • 1
  • 1
This CALCOCO2 antibody is un-conjugated

应用范围

  • 24
  • 12
  • 7
  • 6
  • 6
  • 5
  • 5
  • 1
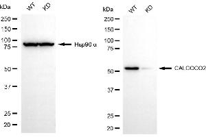
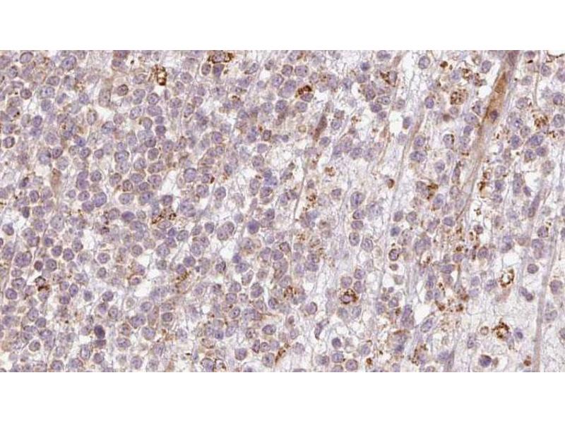
Western Blotting (WB), Immunofluorescence (IF), Immunohistochemistry (IHC), Immunocytochemistry (ICC)
  • 抗原表位

    • 5
    • 3
    • 2
    • 2
    • 1
    • 1
    Internal Region

    特异性

    CALCOCO2 Antibody detects endogenous levels of total CALCOCO2.

    纯化方法

    The antiserum was purified by peptide affinity chromatography using SulfoLinkTM Coupling Resin (Thermo Fisher Scientific).

    免疫原

    A synthesized peptide derived from human CALCOCO2, corresponding to a region within the internal amino acids.

    亚型

    IgG
  • 应用备注

    WB 1:500-1:2000, IHC 1:50-1:200, IF/ICC 1:100-1:500

    限制

    仅限研究用
  • 状态

    Liquid

    浓度

    1 mg/mL

    缓冲液

    Rabbit IgG in phosphate buffered saline , pH 7.4, 150 mM NaCl, 0.02 % sodium azide and 50 % glycerol.

    储存液

    Sodium azide

    注意事项

    This product contains Sodium azide: a POISONOUS AND HAZARDOUS SUBSTANCE which should be handled by trained staff only.

    储存条件

    -20 °C

    储存方法

    Store at -20 °C. Stable for 12 months from date of receipt.

    有效期

    12 months
  • 抗原

    CALCOCO2 (Calcium Binding and Coiled-Coil Domain 2 (CALCOCO2))

    别名

    CALCOCO2

    背景

    Description: Xenophagy-specific receptor required for autophagy-mediated intracellular bacteria degradation. Acts as an effector protein of galectin-sensed membrane damage that restricts the proliferation of infecting pathogens such as Salmonella typhimurium upon entry into the cytosol by targeting LGALS8-associated bacteria for autophagy (PubMed:22246324). Initially orchestrates bacteria targeting to autophagosomes and subsequently ensures pathogen degradation by regulating pathogen-containing autophagosome maturation (PubMed:23022382, PubMed:25771791). Bacteria targeting to autophagosomes relies on its interaction with MAP1LC3A, MAP1LC3B and/or GABARAPL2, whereas regulation of pathogen-containing autophagosome maturation requires the interaction with MAP3LC3C (PubMed:23022382, PubMed:25771791). May play a role in ruffle formation and actin cytoskeleton organization and seems to negatively regulate constitutive secretion (PubMed:17635994).

    Gene: CALCOCO2

    分子量

    52 kDa

    基因ID

    10241

    UniProt

    Q13137
You are here: