电话:
+86 (0512) 65829739
传真:
+86 (010) 6788 5057
电子邮件:
orders@antibodies-online.cn

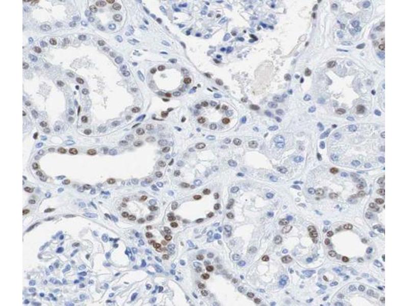
AKAP8 抗体 (Internal Region)

The 兔 多克隆 anti-AKAP8 antibody is suitable to detect AKAP8 in samples from 人, 小鼠 和 大鼠. It has been validated for WB, IHC, IF, ELISA 和 ICC.
产品编号 ABIN6259857
发货至: 中国
Contact our Customer Service for availability and price in your country. Contact Info

Our Local Distributor

中国
北京 101111
No. 88 KeChuang 6th Street
Beijing Economic Technological Development Area
Room 801-803
4A Biotech Co.,Ltd.
Tel +86 (0512) 65829739 传真 +86 (010) 6788 5057

Quick Overview for AKAP8 抗体 (Internal Region) (ABIN6259857)

抗原

See all AKAP8 抗体
AKAP8 (A Kinase (PRKA) Anchor Protein 8 (AKAP8))

适用

  • 68
  • 28
  • 25
  • 6
  • 5
  • 4
  • 3
  • 2
  • 1
  • 1
人, 小鼠, 大鼠

宿主

  • 63
  • 4
  • 1

克隆类型

  • 54
  • 14
多克隆

标记

  • 38
  • 3
  • 2
  • 2
  • 2
  • 2
  • 2
  • 2
  • 1
  • 1
  • 1
  • 1
  • 1
  • 1
  • 1
  • 1
  • 1
  • 1
  • 1
  • 1
  • 1
  • 1
  • 1
This AKAP8 antibody is un-conjugated

应用范围

  • 43
  • 24
  • 21
  • 15
  • 13
  • 13
  • 12
  • 7
  • 6
  • 3
  • 2
  • 1
  • 1
Western Blotting (WB), Immunohistochemistry (IHC), Immunofluorescence (IF), ELISA, Immunocytochemistry (ICC)
  • 抗原表位

    • 15
    • 4
    • 4
    • 3
    • 2
    • 2
    • 2
    • 2
    • 1
    • 1
    • 1
    • 1
    • 1
    • 1
    • 1
    • 1
    • 1
    • 1
    • 1
    • 1
    Internal Region

    特异性

    AKAP8 Antibody detects endogenous levels of total AKAP8.

    预测反应

    Bovine,Horse,Sheep,Dog

    纯化方法

    The antiserum was purified by peptide affinity chromatography using SulfoLinkTM Coupling Resin (Thermo Fisher Scientific).

    免疫原

    A synthesized peptide derived from human AKAP8, corresponding to a region within the internal amino acids.

    亚型

    IgG
  • 应用备注

    WB: 1:500-1:3000, IHC: 1:50-1:200, IF/ICC: 1:100-1:500, ELISA(peptide) 1:20000-1:40000

    限制

    仅限研究用
  • 状态

    Liquid

    浓度

    1 mg/mL

    缓冲液

    Rabbit IgG in phosphate buffered saline , pH 7.4, 150 mM NaCl, 0.02 % sodium azide and 50 % glycerol.

    储存液

    Sodium azide

    注意事项

    This product contains Sodium azide: a POISONOUS AND HAZARDOUS SUBSTANCE which should be handled by trained staff only.

    储存条件

    -20 °C

    储存方法

    Store at -20 °C. Stable for 12 months from date of receipt.

    有效期

    12 months
  • 抗原

    AKAP8 (A Kinase (PRKA) Anchor Protein 8 (AKAP8))

    别名

    AKAP8

    背景

    Description: Anchoring protein that mediates the subcellular compartmentation of cAMP-dependent protein kinase (PKA type II) (PubMed:9473338). Acts as an anchor for a PKA-signaling complex onto mitotic chromosomes, which is required for maintenance of chromosomes in a condensed form throughout mitosis. Recruits condensin complex subunit NCAPD2 to chromosomes required for chromatin condensation, the function appears to be independent from PKA-anchoring (PubMed:10601332, PubMed:10791967, PubMed:11964380). May help to deliver cyclin D/E to CDK4 to facilitate cell cycle progression (PubMed:14641107). Required for cell cycle G2/M transition and histone deacetylation during mitosis. In mitotic cells recruits HDAC3 to the vicinity of chromatin leading to deacetylation and subsequent phosphorylation at 'Ser-10' of histone H3, in this function may act redundantly with AKAP8L (PubMed:16980585). Involved in nuclear retention of RPS6KA1 upon ERK activation thus inducing cell proliferation (PubMed:22130794). May be involved in regulation of DNA replication by acting as scaffold for MCM2 (PubMed:12740381). Enhances HMT activity of the KMT2 family MLL4/WBP7 complex and is involved in transcriptional regulation. In a teratocarcinoma cell line is involved in retinoic acid-mediated induction of developmental genes implicating H3 'Lys-4' methylation (PubMed:23995757). May be involved in recruitment of active CASP3 to the nucleus in apoptotic cells (PubMed:16227597). May act as a carrier protein of GJA1 for its transport to the nucleus (PubMed:26880274). Seems to involved in modulation of rDNA transcription. Preferentially binds GC-rich DNA in vitro and associates to GC-rich ribosomal RNA promoters (PubMed:26683827). Involved in modulation of Toll-like receptor signaling. Required for the cAMP-dependent suppression of TNF-alpha in early stages of LPS-induced macrophage activation, the function probably implicates targeting of PKA to NFKB1 (By similarity).

    Gene: AKAP8

    分子量

    76kDa

    基因ID

    10270

    UniProt

    O43823

    途径

    SARS-CoV-2 Protein Interactome
You are here: