FREM2 抗体 (Internal Region)
Our Local Distributor
北京 101111
Quick Overview for FREM2 抗体 (Internal Region) (ABIN625946)
抗原
See all FREM2 抗体适用
宿主
克隆类型
标记
应用范围
-
-
抗原表位
- Internal Region
-
纯化方法
- Immunoaffinity purified
-
亚型
- IgG
-
-
-
-
应用备注
-
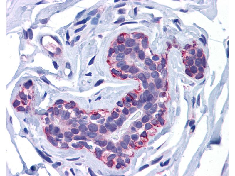
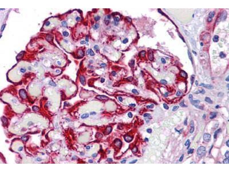
Approved: ELISA, ICC, IHC, IHC-P (5 μg/mL), WB
Usage: FREM2 antibody was raised against a 19 amino acid peptide near the center of human FREM2. -
说明
-
Target Species of Antibody: Human
-
限制
- 仅限研究用
-
-
-
状态
- Liquid
-
浓度
- Lot specific
-
缓冲液
- PBS, 0.02 % sodium azide
-
储存液
- Sodium azide
-
注意事项
- This product contains Sodium azide: a POISONOUS AND HAZARDOUS SUBSTANCE which should be handled by trained staff only.
-
注意事项
- avoid freeze thaw cycles. Store undiluted.
-
储存条件
- 4 °C,-20 °C
-
储存方法
- Store at 4°C for 3 months and -20°C, stable for up to 1 year. Avoid repeated freeze-thaw cycles.
-
有效期
- 12 months
-
-
- FREM2 (Fras1 Related Extracellular Matrix Protein 2 (FREM2))
-
别名
- FREM2
-
背景
-
Name/Gene ID: FREM2
Synonyms: FREM2, ECM3 homolog -
基因ID
- 341640
-
UniProt
- Q5SZK8
抗原
-