NPBWR2 抗体
Our Local Distributor
北京 101111
Quick Overview for NPBWR2 抗体 (ABIN6257800)
抗原
See all NPBWR2 抗体适用
宿主
克隆类型
标记
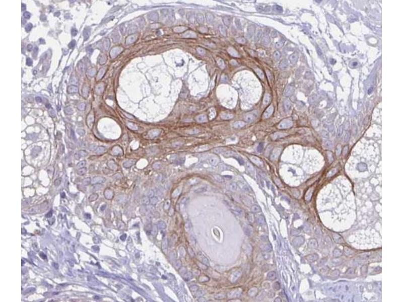
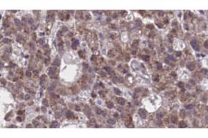
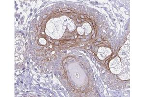
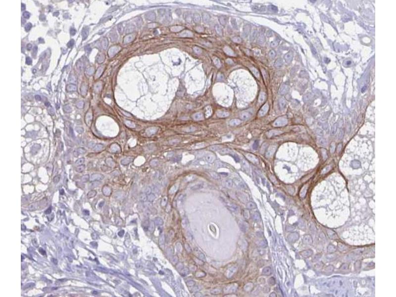
应用范围
-
-
特异性
- GPR8 antibody detects endogenous levels of total GPR8
-
交叉反应
- 人, 小鼠
-
纯化方法
- The antiserum was purified by peptide affinity chromatography using SulfoLinkTM Coupling Resin (Thermo Fisher Scientific).
-
免疫原
- A synthesized peptide
-
亚型
- IgG
-
-
-
-
应用备注
- WB 1:500-1:2000 IHC 1:50-1:200
-
限制
- 仅限研究用
-
-
-
状态
- Liquid
-
浓度
- 1 mg/mL
-
缓冲液
- Rabbit IgG in phosphate buffered saline, pH 7.4, 150 mM NaCl, 0.02 % sodium azide and 50 % glycerol.
-
储存液
- Sodium azide
-
注意事项
- This product contains Sodium azide: a POISONOUS AND HAZARDOUS SUBSTANCE which should be handled by trained staff only.
-
-
- NPBWR2 (Neuropeptides B/W Receptor 2 (NPBWR2))
-
别名
- GPR8
-
背景
-
Description: Interacts specifically with a number of opioid ligands. Receptor for neuropeptides B and W, which may be involved in neuroendocrine system regulation, food intake and the organization of other signals.
Gene: NPBWR2
-
分子量
- 37 kDa
-
基因ID
- 2832
-
UniProt
- P48146
抗原
-