电话:
+86 (0512) 65829739
传真:
+86 (010) 6788 5057
电子邮件:
orders@antibodies-online.cn

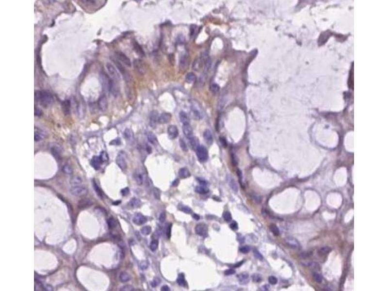
Integrin beta 7 抗体 (Internal Region)

This 兔 多克隆 antibody specifically detects Integrin beta 7 in WB, ELISA, IHC, IF 和 ICC. It exhibits reactivity toward 人.
产品编号 ABIN6257285
发货至: 中国
Contact our Customer Service for availability and price in your country. Contact Info

Our Local Distributor

中国
北京 101111
No. 88 KeChuang 6th Street
Beijing Economic Technological Development Area
Room 801-803
4A Biotech Co.,Ltd.
Tel +86 (0512) 65829739 传真 +86 (010) 6788 5057

Quick Overview for Integrin beta 7 抗体 (Internal Region) (ABIN6257285)

抗原

See all Integrin beta 7 (ITGB7) 抗体
Integrin beta 7 (ITGB7)

适用

  • 73
  • 27
  • 1
  • 1
  • 1

宿主

  • 50
  • 16
  • 7
  • 4
  • 1

克隆类型

  • 51
  • 25
  • 2
多克隆

标记

  • 37
  • 7
  • 3
  • 2
  • 2
  • 2
  • 2
  • 2
  • 2
  • 2
  • 2
  • 2
  • 1
  • 1
  • 1
  • 1
  • 1
  • 1
  • 1
  • 1
  • 1
  • 1
  • 1
  • 1
  • 1
This Integrin beta 7 antibody is un-conjugated

应用范围

  • 38
  • 25
  • 20
  • 13
  • 13
  • 7
  • 6
  • 4
  • 4
  • 4
  • 3
  • 3
  • 2
  • 1
  • 1
  • 1
Western Blotting (WB), ELISA, Immunohistochemistry (IHC), Immunofluorescence (IF), Immunocytochemistry (ICC)
  • 抗原表位

    • 15
    • 9
    • 4
    • 4
    • 4
    • 2
    • 2
    • 2
    • 2
    • 1
    • 1
    Internal Region

    特异性

    ITGB7 Antibody detects endogenous levels of total ITGB7.

    预测反应

    Pig,Bovine,Horse,Sheep,Rabbit,Dog

    纯化方法

    The antiserum was purified by peptide affinity chromatography using SulfoLinkTM Coupling Resin (Thermo Fisher Scientific).

    免疫原

    A synthesized peptide derived from human ITGB7, corresponding to a region within the internal amino acids.

    亚型

    IgG
  • 应用备注

    WB 1:500-1:2000, IHC 1:50-1:200, IF/ICC 1:100-1:500, ELISA(peptide) 1:20000-1:40000

    限制

    仅限研究用
  • 状态

    Liquid

    浓度

    1 mg/mL

    缓冲液

    Rabbit IgG in phosphate buffered saline, pH 7.4, 150 mM NaCl, 0.02 % sodium azide and 50 % glycerol.

    储存液

    Sodium azide

    注意事项

    This product contains Sodium azide: a POISONOUS AND HAZARDOUS SUBSTANCE which should be handled by trained staff only.

    储存条件

    -20 °C

    有效期

    12 months
  • 抗原

    Integrin beta 7 (ITGB7)

    别名

    ITGB7

    背景

    Description: Integrin alpha-4/beta-7 (Peyer patches-specific homing receptor LPAM-1) is an adhesion molecule that mediates lymphocyte migration and homing to gut-associated lymphoid tissue (GALT). Integrin alpha-4/beta-7 interacts with the cell surface adhesion molecules MADCAM1 which is normally expressed by the vascular endothelium of the gastrointestinal tract. Interacts also with VCAM1 and fibronectin, an extracellular matrix component. It recognizes one or more domains within the alternatively spliced CS-1 region of fibronectin. Interactions involves the tripeptide L-D-T in MADCAM1, and L-D-V in fibronectin. Binds to HIV-1 gp120, thereby allowing the virus to enter GALT, which is thought to be the major trigger of AIDS disease. Interaction would involve a tripeptide L-D-I in HIV-1 gp120. Integrin alpha-E/beta-7 (HML-1) is a receptor for E-cadherin.

    Gene: ITGB7

    分子量

    ?87 kDa

    基因ID

    3695

    UniProt

    P26010

    途径

    Integrin Complex
You are here: