电话:
+86 (0512) 65829739
传真:
+86 (010) 6788 5057
电子邮件:
orders@antibodies-online.cn

PFKP 抗体 (Internal Region)

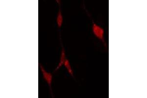
The 兔 多克隆 anti-PFKP antibody (ABIN6256864) specifically detects PFKP in WB, ELISA, IF 和 ICC. The antibody is reactive with 人, 小鼠 和 大鼠 samples.
产品编号 ABIN6256864
发货至: 中国
Contact our Customer Service for availability and price in your country. Contact Info

Our Local Distributor

中国
北京 101111
No. 88 KeChuang 6th Street
Beijing Economic Technological Development Area
Room 801-803
4A Biotech Co.,Ltd.
Tel +86 (0512) 65829739 传真 +86 (010) 6788 5057

Quick Overview for PFKP 抗体 (Internal Region) (ABIN6256864)

抗原

See all PFKP 抗体
PFKP (phosphofructokinase, Platelet (PFKP))

适用

  • 71
  • 34
  • 28
  • 6
  • 2
人, 小鼠, 大鼠

宿主

  • 61
  • 13

克隆类型

  • 51
  • 23
多克隆

标记

  • 47
  • 4
  • 2
  • 2
  • 2
  • 2
  • 2
  • 2
  • 2
  • 2
  • 2
  • 2
  • 1
  • 1
  • 1
This PFKP antibody is un-conjugated

应用范围

  • 57
  • 33
  • 23
  • 17
  • 14
  • 13
  • 9
  • 7
  • 1
  • 1
Western Blotting (WB), ELISA, Immunofluorescence (IF), Immunocytochemistry (ICC)
  • 抗原表位

    • 9
    • 7
    • 4
    • 4
    • 3
    • 3
    • 2
    • 2
    • 2
    • 1
    • 1
    • 1
    • 1
    • 1
    • 1
    • 1
    • 1
    • 1
    • 1
    • 1
    Internal Region

    特异性

    PFKP Antibody detects endogenous levels of total PFKP.

    预测反应

    Pig,Bovine,Horse,Sheep,Rabbit,Dog,Chicken,Xenopus

    纯化方法

    The antiserum was purified by peptide affinity chromatography using SulfoLinkTM Coupling Resin (Thermo Fisher Scientific).

    免疫原

    A synthesized peptide derived from human PFKP, corresponding to a region within the internal amino acids.

    亚型

    IgG
  • 应用备注

    WB 1:500-1:1000, IF/ICC 1:100-1:500, ELISA(peptide) 1:20000-1:40000

    限制

    仅限研究用
  • 状态

    Liquid

    浓度

    1 mg/mL

    缓冲液

    Rabbit IgG in phosphate buffered saline , pH 7.4, 150 mM NaCl, 0.02 % sodium azide and 50 % glycerol.

    储存液

    Sodium azide

    注意事项

    This product contains Sodium azide: a POISONOUS AND HAZARDOUS SUBSTANCE which should be handled by trained staff only.

    储存条件

    -20 °C

    储存方法

    Store at -20 °C. Stable for 12 months from date of receipt.

    有效期

    12 months
  • 抗原

    PFKP (phosphofructokinase, Platelet (PFKP))

    别名

    PFKP

    背景

    Description: Catalyzes the phosphorylation of D-fructose 6-phosphate to fructose 1,6-bisphosphate by ATP, the first committing step of glycolysis.

    Gene: PFKP

    分子量

    84 kDa

    基因ID

    5214

    UniProt

    Q01813

    途径

    Warburg Effect
You are here: