电话:
+86 (0512) 65829739
传真:
+86 (010) 6788 5057
电子邮件:
orders@antibodies-online.cn

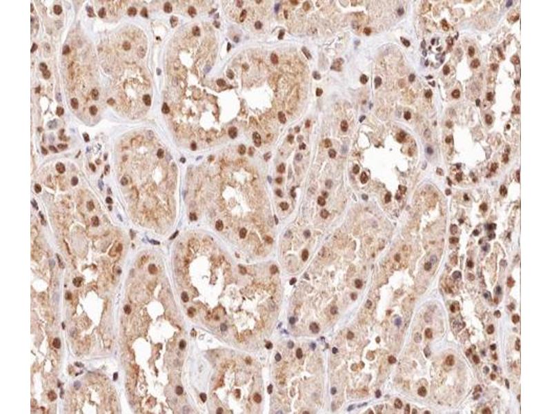
MKP-1/2 抗体 (pSer296, pSer318)

The 兔 多克隆 anti-MKP-1/2 antibody (ABIN6256252) specifically detects MKP-1/2 in WB, ELISA, IHC, ICC 和 IF. The antibody is reactive with 人, 小鼠 和 大鼠 samples.
产品编号 ABIN6256252
发货至: 中国
Contact our Customer Service for availability and price in your country. Contact Info

Our Local Distributor

中国
北京 101111
No. 88 KeChuang 6th Street
Beijing Economic Technological Development Area
Room 801-803
4A Biotech Co.,Ltd.
Tel +86 (0512) 65829739 传真 +86 (010) 6788 5057

Quick Overview for MKP-1/2 抗体 (pSer296, pSer318) (ABIN6256252)

抗原

MKP-1/2 (DUSP1/4) (Dual Specificity Phosphatase 1/4 (DUSP1/4))

适用

  • 17
  • 15
  • 15
  • 1
  • 1
  • 1
  • 1
人, 小鼠, 大鼠

宿主

  • 17

克隆类型

  • 17
多克隆

标记

  • 10
  • 1
  • 1
  • 1
  • 1
  • 1
  • 1
  • 1
This MKP-1/2 antibody is un-conjugated

应用范围

Western Blotting (WB), ELISA, Immunohistochemistry (IHC), Immunocytochemistry (ICC), Immunofluorescence (IF)
  • 抗原表位

    • 3
    • 3
    • 2
    • 1
    • 1
    • 1
    • 1
    • 1
    pSer296, pSer318

    特异性

    Phospho-MKP-1/2 (Ser296/318) Antibody detects endogenous levels of MKP-1/2 only when phosphorylated at Serine 296/318

    交叉反应

    人, 小鼠, 大鼠

    纯化方法

    The antibody is from purified rabbit serum by affinity purification via sequential chromatography on phospho- and non-phospho-peptide affinity columns.

    免疫原

    A synthesized peptide derived from human MKP-1/2 around the phosphorylation site of Serine 296/318

    亚型

    IgG
  • 应用备注

    WB 1:500-1:2000 IHC 1:50-1:200, IF/ICC 1:100-1:500

    限制

    仅限研究用
  • 状态

    Liquid

    浓度

    1 mg/mL

    缓冲液

    Rabbit IgG in phosphate buffered saline ,  pH 7.4, 150  mM NaCl, 0.02 % sodium azide and 50 % glycerol.

    储存液

    Sodium azide

    注意事项

    This product contains Sodium azide: a POISONOUS AND HAZARDOUS SUBSTANCE which should be handled by trained staff only.

    储存条件

    -20 °C

    储存方法

    Store at -20 °C.Stable for 12 months from date of receipt

    有效期

    12 months
  • 抗原

    MKP-1/2 (DUSP1/4) (Dual Specificity Phosphatase 1/4 (DUSP1/4))

    别名

    MKP-1/2

    背景

    Description: Dual specificity phosphatase that dephosphorylates MAP kinase MAPK1/ERK2 on both 'Thr-183' and 'Tyr-185', regulating its activity during the meiotic cell cycle.

    Gene: DUSP1

    分子量

    45kDa

    基因ID

    1843

    UniProt

    P28562, Q13115
You are here: