电话:
+86 (0512) 65829739
传真:
+86 (010) 6788 5057
电子邮件:
orders@antibodies-online.cn

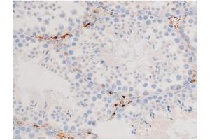
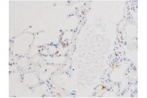
Smad2/3 抗体 (pThr8, Thr8)

This 兔 多克隆 antibody specifically detects Smad2/3 in WB, ELISA 和 IHC. It exhibits reactivity toward 人, 大鼠 和 小鼠.
产品编号 ABIN6255740
发货至: 中国
Contact our Customer Service for availability and price in your country. Contact Info

Our Local Distributor

中国
北京 101111
No. 88 KeChuang 6th Street
Beijing Economic Technological Development Area
Room 801-803
4A Biotech Co.,Ltd.
Tel +86 (0512) 65829739 传真 +86 (010) 6788 5057

Quick Overview for Smad2/3 抗体 (pThr8, Thr8) (ABIN6255740)

抗原

Smad2/3 (SMAD2/3) (Smad2/3 Transcription Factor (SMAD2/3))

适用

  • 52
  • 42
  • 41
  • 4
  • 4
  • 4
  • 3
  • 1
  • 1
人, 大鼠, 小鼠

宿主

  • 50
  • 2
  • 1

克隆类型

  • 44
  • 9
多克隆

标记

  • 19
  • 3
  • 2
  • 2
  • 2
  • 2
  • 2
  • 2
  • 2
  • 2
  • 1
  • 1
  • 1
  • 1
  • 1
  • 1
  • 1
  • 1
  • 1
  • 1
  • 1
  • 1
  • 1
  • 1
  • 1
This Smad2/3 antibody is un-conjugated

应用范围

  • 42
  • 14
  • 13
  • 13
  • 12
  • 10
  • 10
  • 7
  • 6
  • 5
  • 3
  • 2
Western Blotting (WB), ELISA, Immunohistochemistry (IHC)
  • 抗原表位

    • 21
    • 15
    • 4
    • 3
    • 2
    • 1
    • 1
    • 1
    • 1
    • 1
    • 1
    pThr8, Thr8

    特异性

    Phospho-Smad2/3 (Thr8) Antibody detects endogenous levels of Smad2/3 only when phosphorylated at Threonine 8

    交叉反应

    人, 小鼠, 大鼠

    纯化方法

    The antibody is from purified rabbit serum by affinity purification via sequential chromatography on phospho- and non-phospho-peptide affinity columns.

    免疫原

    A synthesized peptide derived from human Smad2/3 around the phosphorylation site of Threonine 8

    亚型

    IgG
  • 应用备注

    WB 1:500-1:2000 IHC 1:50-1:200

    限制

    仅限研究用
  • 状态

    Liquid

    浓度

    1 mg/mL

    缓冲液

    Rabbit IgG in phosphate buffered saline ,  pH 7.4, 150  mM NaCl, 0.02 % sodium azide and 50 % glycerol.

    储存液

    Sodium azide

    注意事项

    This product contains Sodium azide: a POISONOUS AND HAZARDOUS SUBSTANCE which should be handled by trained staff only.

    储存条件

    -20 °C

    储存方法

    Store at -20 °C.Stable for 12 months from date of receipt

    有效期

    12 months
  • 抗原

    Smad2/3 (SMAD2/3) (Smad2/3 Transcription Factor (SMAD2/3))

    别名

    Smad2/3

    背景

    Description: Receptor-regulated SMAD (R-SMAD) that is an intracellular signal transducer and transcriptional modulator activated by TGF-beta (transforming growth factor) and activin type 1 receptor kinases. Binds the TRE element in the promoter region of many genes that are regulated by TGF-beta and, on formation of the SMAD3/SMAD4 complex, activates transcription. Also can form a SMAD3/SMAD4/JUN/FOS complex at the AP-1/SMAD site to regulate TGF-beta-mediated transcription. Has an inhibitory effect on wound healing probably by modulating both growth and migration of primary keratinocytes and by altering the TGF-mediated chemotaxis of monocytes. This effect on wound healing appears to be hormone-sensitive. Regulator of chondrogenesis and osteogenesis and inhibits early healing of bone fractures. Positively regulates PDPK1 kinase activity by stimulating its dissociation from the 14-3-3 protein YWHAQ which acts as a negative regulator.

    Gene: SMAD3

    分子量

    48/60kDa

    基因ID

    4088

    UniProt

    P84022, Q15796
You are here: