电话:
+86 (0512) 65829739
传真:
+86 (010) 6788 5057
电子邮件:
orders@antibodies-online.cn

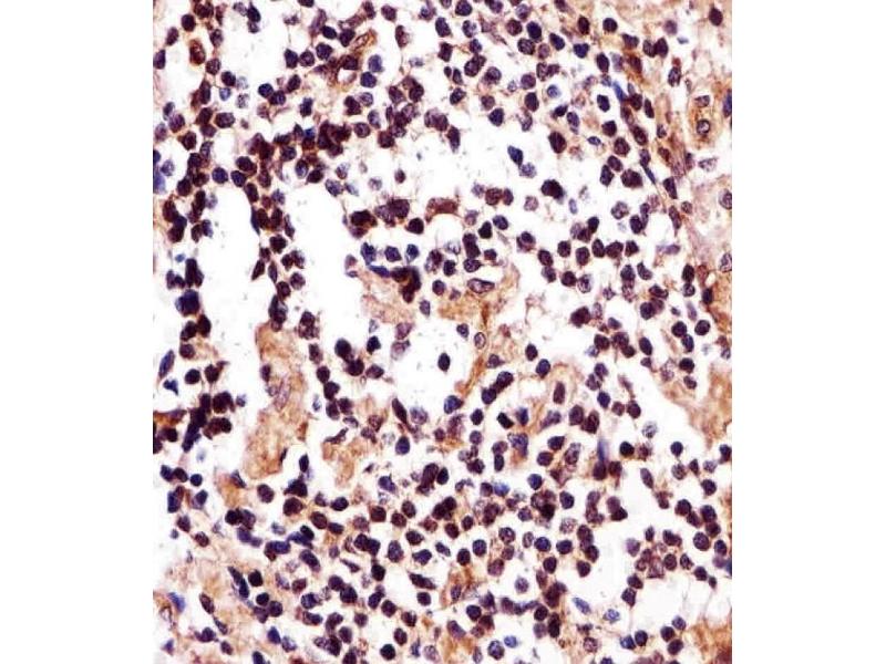
IZUMO2 抗体 (AA 90-124)

The 兔 多克隆 anti-IZUMO2 antibody is suitable to detect IZUMO2 in samples from 人. It has been validated for WB 和 IHC (p).
产品编号 ABIN6244206
发货至: 中国
Contact our Customer Service for availability and price in your country. Contact Info

Our Local Distributor

中国
北京 101111
No. 88 KeChuang 6th Street
Beijing Economic Technological Development Area
Room 801-803
4A Biotech Co.,Ltd.
Tel +86 (0512) 65829739 传真 +86 (010) 6788 5057

Quick Overview for IZUMO2 抗体 (AA 90-124) (ABIN6244206)

抗原

IZUMO2 (IZUMO Family Member 2 (IZUMO2))

适用

宿主

  • 3

克隆类型

  • 3
多克隆

标记

  • 3
This IZUMO2 antibody is un-conjugated

应用范围

Western Blotting (WB), Immunohistochemistry (Paraffin-embedded Sections) (IHC (p))

克隆位点

RB47539
  • 抗原表位

    • 1
    • 1
    AA 90-124

    纯化方法

    This antibody is purified through a protein A column, followed by peptide affinity purification.

    免疫原

    This IZUMO2 antibody is generated from a rabbit immunized with a KLH conjugated synthetic peptide between 90-124 amino acids from the Central region of human IZUMO2.

    亚型

    IgG
  • 应用备注

    WB: 1:1000. IHC-P: 1:25

    限制

    仅限研究用
  • 状态

    Liquid

    缓冲液

    Purified polyclonal antibody supplied in PBS with 0.09 % (W/V) sodium azide.

    储存液

    Sodium azide

    注意事项

    This product contains Sodium azide: a POISONOUS AND HAZARDOUS SUBSTANCE which should be handled by trained staff only.

    储存条件

    4 °C,-20 °C

    有效期

    6 months
  • 抗原

    IZUMO2 (IZUMO Family Member 2 (IZUMO2))

    别名

    IZUMO2

    分子量

    24856

    UniProt

    Q6UXV1
You are here: