MGEA5 抗体 (AA 236-269)
Our Local Distributor
北京 101111
Quick Overview for MGEA5 抗体 (AA 236-269) (ABIN6244040)
抗原
See all MGEA5 抗体适用
宿主
克隆类型
标记
应用范围
克隆位点
-
-
抗原表位
- AA 236-269
-
预测反应
- M, Rat
-
纯化方法
- This antibody is purified through a protein A column, followed by peptide affinity purification.
-
免疫原
- This MGEA5 antibody is generated from a rabbit immunized with a KLH conjugated synthetic peptide between 236-269 amino acids from the human region of human MGEA5.
-
亚型
- Ig Fraction
-
-
-
-
应用备注
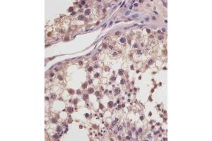
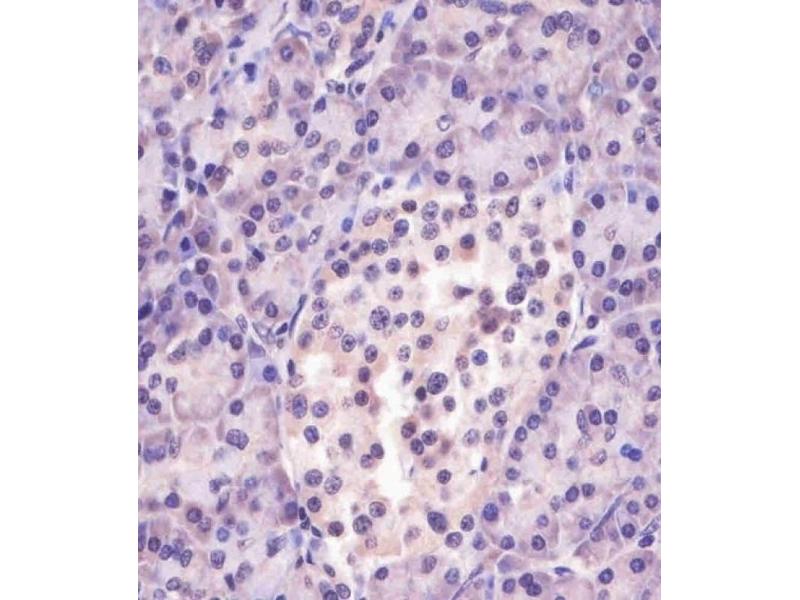
- WB: 1:2000. IHC-P: 1:25. IHC-P: 1:25. FC: 1:25
-
限制
- 仅限研究用
-
-
-
状态
- Liquid
-
缓冲液
- Purified polyclonal antibody supplied in PBS with 0.09 % (W/V) sodium azide.
-
储存液
- Sodium azide
-
注意事项
- This product contains Sodium azide: a POISONOUS AND HAZARDOUS SUBSTANCE which should be handled by trained staff only.
-
储存条件
- 4 °C,-20 °C
-
有效期
- 6 months
-
-
- MGEA5 (Meningioma Expressed Antigen 5 (Hyaluronidase) (MGEA5))
-
别名
- MGEA5
-
背景
- Isoform 1: Cleaves GlcNAc but not GalNAc from O- glycosylated proteins. Can use p-nitrophenyl-beta-GlcNAc and 4- methylumbelliferone-GlcNAc as substrates but not p-nitrophenyl- beta-GalNAc or p-nitrophenyl-alpha-GlcNAc (in vitro) (PubMed:< a href="http://www.uniprot.org/citations/11148210" target="_blank">11148210). Does not bind acetyl-CoA and does not have histone acetyltransferase activity (PubMed:< a href="http://www.uniprot.org/citations/24088714" target="_blank">24088714).
-
分子量
- 102915
-
UniProt
- O60502
-
途径
- Positive Regulation of Peptide Hormone Secretion, Regulation of Carbohydrate Metabolic Process
抗原
-