电话:
+86 (0512) 65829739
传真:
+86 (010) 6788 5057
电子邮件:
orders@antibodies-online.cn

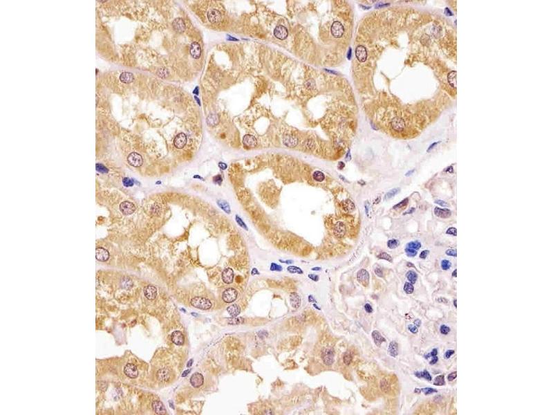
APIP 抗体 (AA 111-142)

This 兔 多克隆 antibody specifically detects APIP in WB 和 IHC (p). It exhibits reactivity toward 人.
产品编号 ABIN6243533
发货至: 中国
Contact our Customer Service for availability and price in your country. Contact Info

Our Local Distributor

中国
北京 101111
No. 88 KeChuang 6th Street
Beijing Economic Technological Development Area
Room 801-803
4A Biotech Co.,Ltd.
Tel +86 (0512) 65829739 传真 +86 (010) 6788 5057

Quick Overview for APIP 抗体 (AA 111-142) (ABIN6243533)

抗原

See all APIP 抗体
APIP (APAF1 Interacting Protein (APIP))

适用

  • 34
  • 14
  • 6
  • 4
  • 4
  • 4
  • 4
  • 3
  • 3
  • 2
  • 2
  • 2
  • 2
  • 2
  • 2

宿主

  • 32
  • 2

克隆类型

  • 32
  • 2
多克隆

标记

  • 12
  • 2
  • 1
  • 1
  • 1
  • 1
  • 1
  • 1
  • 1
  • 1
  • 1
  • 1
  • 1
  • 1
  • 1
  • 1
  • 1
  • 1
  • 1
  • 1
  • 1
  • 1
This APIP antibody is un-conjugated

应用范围

  • 13
  • 13
  • 12
  • 7
  • 4
  • 4
  • 3
  • 1
Western Blotting (WB), Immunohistochemistry (Paraffin-embedded Sections) (IHC (p))

克隆位点

RB55049
  • 抗原表位

    • 15
    • 2
    • 2
    • 1
    • 1
    • 1
    AA 111-142

    纯化方法

    This antibody is purified through a protein A column, followed by peptide affinity purification.

    免疫原

    This APIP antibody is generated from a rabbit immunized with a KLH conjugated synthetic peptide between 111-142 amino acids from the Central region of human APIP.

    亚型

    Ig Fraction
  • 应用备注

    WB: 1:2000. IHC-P: 1:25

    限制

    仅限研究用
  • 状态

    Liquid

    缓冲液

    Purified polyclonal antibody supplied in PBS with 0.09 % (W/V) sodium azide.

    储存液

    Sodium azide

    注意事项

    This product contains Sodium azide: a POISONOUS AND HAZARDOUS SUBSTANCE which should be handled by trained staff only.

    储存条件

    4 °C,-20 °C

    有效期

    6 months
  • 抗原

    APIP (APAF1 Interacting Protein (APIP))

    别名

    APIP

    背景

    Catalyzes the dehydration of methylthioribulose-1- phosphate (MTRu-1-P) into 2,3-diketo-5-methylthiopentyl-1- phosphate (DK-MTP-1-P). Functions in the methionine salvage pathway, which plays a key role in cancer, apoptosis, microbial proliferation and inflammation. May inhibit the CASP1-related inflammatory response (pyroptosis), the CASP9-dependent apoptotic pathway and the cytochrome c-dependent and APAF1-mediated cell death.

    分子量

    27125

    UniProt

    Q96GX9

    途径

    Methionine Biosynthetic Process
You are here: