电话:
+86 (0512) 65829739
传真:
+86 (010) 6788 5057
电子邮件:
orders@antibodies-online.cn

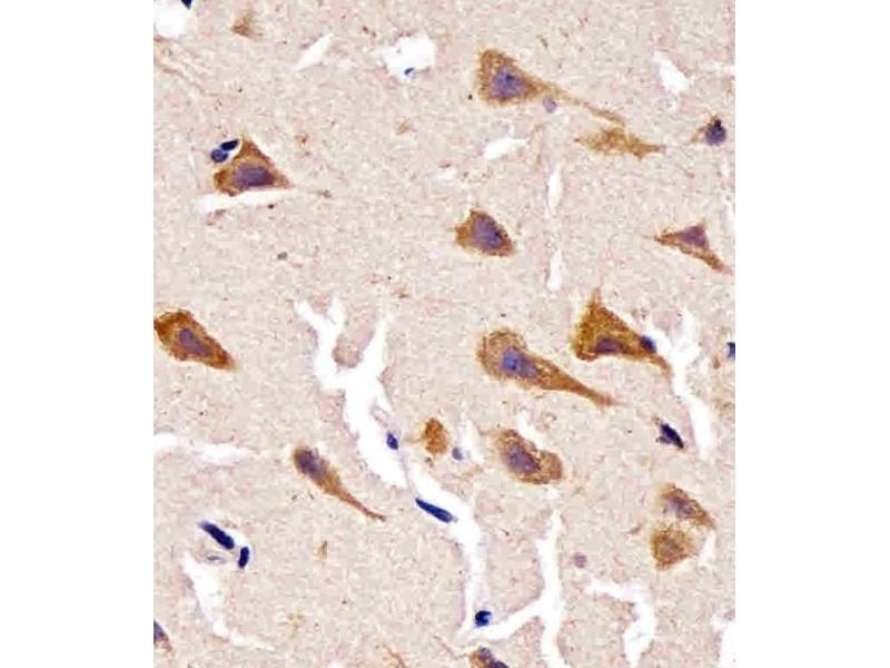
PPID 抗体 (AA 336-370)

The 兔 多克隆 anti-PPID antibody (Clone RB55961) (ABIN6243007) specifically detects PPID in WB, IF, FACS 和 IHC (p). The antibody is reactive with 人 samples.
产品编号 ABIN6243007
发货至: 中国
Contact our Customer Service for availability and price in your country. Contact Info

Our Local Distributor

中国
北京 101111
No. 88 KeChuang 6th Street
Beijing Economic Technological Development Area
Room 801-803
4A Biotech Co.,Ltd.
Tel +86 (0512) 65829739 传真 +86 (010) 6788 5057

Quick Overview for PPID 抗体 (AA 336-370) (ABIN6243007)

抗原

See all PPID 抗体
PPID (Peptidylprolyl Isomerase D (PPID))

适用

  • 61
  • 34
  • 30
  • 5
  • 4
  • 4
  • 4
  • 4
  • 4
  • 3
  • 3
  • 2
  • 1
  • 1
  • 1

宿主

  • 54
  • 8
  • 1

克隆类型

  • 44
  • 19
多克隆

标记

  • 50
  • 1
  • 1
  • 1
  • 1
  • 1
  • 1
  • 1
  • 1
  • 1
  • 1
  • 1
  • 1
  • 1
This PPID antibody is un-conjugated

应用范围

  • 53
  • 31
  • 24
  • 23
  • 20
  • 16
  • 10
  • 5
  • 2
  • 1
  • 1
Western Blotting (WB), Immunofluorescence (IF), Flow Cytometry (FACS), Immunohistochemistry (Paraffin-embedded Sections) (IHC (p))

克隆位点

RB55961
  • 抗原表位

    • 13
    • 4
    • 4
    • 3
    • 2
    • 2
    • 2
    • 2
    • 1
    • 1
    • 1
    • 1
    • 1
    • 1
    • 1
    • 1
    • 1
    • 1
    AA 336-370

    预测反应

    M, Rat

    纯化方法

    This antibody is purified through a protein A column, followed by peptide affinity purification.

    免疫原

    This Cyclophilin D antibody is generated from a rabbit immunized with a KLH conjugated synthetic peptide between 336-370 amino acids from the human region of human Cyclophilin D.

    亚型

    Ig Fraction
  • 应用备注

    IF: 1:25. WB: 1:2000. IHC-P: 1:25. FC: 1:25. FC: 1:25

    限制

    仅限研究用
  • 状态

    Liquid

    缓冲液

    Purified polyclonal antibody supplied in PBS with 0.09 % (W/V) sodium azide.

    储存液

    Sodium azide

    注意事项

    This product contains Sodium azide: a POISONOUS AND HAZARDOUS SUBSTANCE which should be handled by trained staff only.

    储存条件

    4 °C,-20 °C

    有效期

    6 months
  • 抗原

    PPID (Peptidylprolyl Isomerase D (PPID))

    别名

    Cyclophilin D

    背景

    PPIases accelerate the folding of proteins. It catalyzes the cis-trans isomerization of proline imidic peptide bonds in oligopeptides. Proposed to act as a co-chaperone in HSP90 complexes such as in unligated steroid receptors heterocomplexes. Different co-chaperones seem to compete for association with HSP90 thus establishing distinct HSP90-co-chaperone-receptor complexes with the potential to exert tissue-specific receptor activity control. May have a preference for estrogen receptor complexes and is not found in glucocorticoid receptor complexes. May be involved in cytoplasmic dynein-dependent movement of the receptor from the cytoplasm to the nucleus. May regulate MYB by inhibiting its DNA- binding activity. Involved in regulation of AHR signaling by promoting the formation of the AHR:ARNT dimer, the function is independent of HSP90 but requires the chaperone activity. Involved in regulation of UV radiation-induced apoptosis. Promotes cell viability in anaplastic lymphoma kinase-positive anaplastic large- cell lymphoma (ALK+ ALCL) cell lines. May be involved in hepatitis C virus (HCV) replication and release.

    分子量

    40764

    UniProt

    Q08752

    途径

    Nuclear Hormone Receptor Binding
You are here: