电话:
+86 (0512) 65829739
传真:
+86 (010) 6788 5057
电子邮件:
orders@antibodies-online.cn

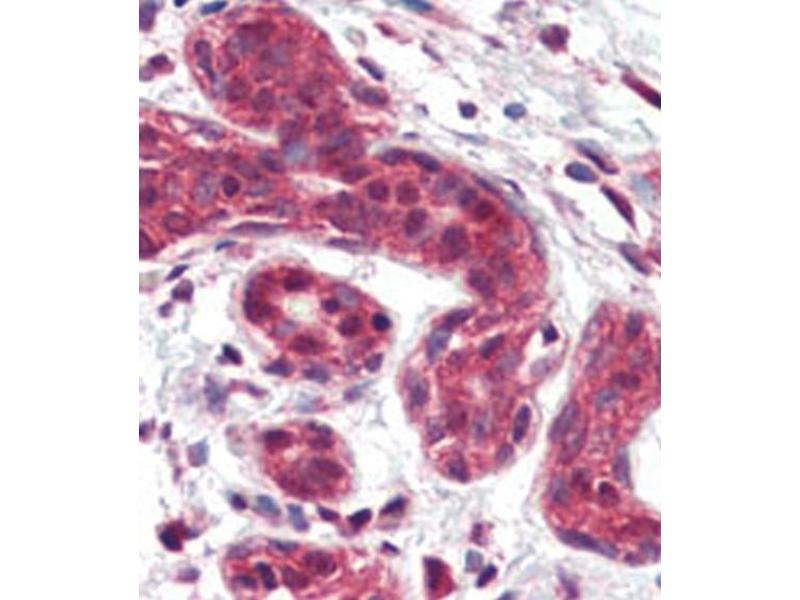
SLUG 抗体 (AA 98-129)

This 兔 多克隆 antibody specifically detects SLUG in WB, IF 和 IHC (p). It exhibits reactivity toward 人, 大鼠 和 小鼠. It has been mentioned in 3+ publications
产品编号 ABIN6242822
发货至: 中国
Contact our Customer Service for availability and price in your country. Contact Info

Our Local Distributor

中国
北京 101111
No. 88 KeChuang 6th Street
Beijing Economic Technological Development Area
Room 801-803
4A Biotech Co.,Ltd.
Tel +86 (0512) 65829739 传真 +86 (010) 6788 5057

Quick Overview for SLUG 抗体 (AA 98-129) (ABIN6242822)

抗原

SLUG

适用

  • 24
  • 17
  • 16
  • 4
  • 1
  • 1
  • 1
人, 大鼠, 小鼠

宿主

  • 23
  • 2

克隆类型

  • 21
  • 4
多克隆

标记

  • 10
  • 1
  • 1
  • 1
  • 1
  • 1
  • 1
  • 1
  • 1
  • 1
  • 1
  • 1
  • 1
  • 1
  • 1
  • 1
This SLUG antibody is un-conjugated

应用范围

  • 24
  • 13
  • 13
  • 8
  • 3
  • 3
  • 2
  • 2
  • 1
  • 1
Western Blotting (WB), Immunofluorescence (IF), Immunohistochemistry (Paraffin-embedded Sections) (IHC (p))

克隆位点

RB01398
  • 抗原表位

    • 15
    • 3
    • 1
    • 1
    • 1
    • 1
    • 1
    • 1
    AA 98-129

    预测反应

    B

    纯化方法

    This antibody is purified through a protein A column, followed by peptide affinity purification.

    免疫原

    This SLUG antibody is generated from rabbits immunized with a KLH conjugated synthetic peptide between 98-129 amino acids from the Central region of human SLUG.

    亚型

    Ig Fraction
  • 应用备注

    IF: 1:10~50. WB: 1:2000. WB: 1:1000. IHC-P: 1:10~50

    限制

    仅限研究用
  • 状态

    Liquid

    缓冲液

    Purified polyclonal antibody supplied in PBS with 0.09 % (W/V) sodium azide.

    储存液

    Sodium azide

    注意事项

    This product contains Sodium azide: a POISONOUS AND HAZARDOUS SUBSTANCE which should be handled by trained staff only.

    储存条件

    4 °C,-20 °C

    有效期

    6 months
  • Carpenter, Paw, Dewhirst, Lo: "Akt phosphorylates and activates HSF-1 independent of heat shock, leading to Slug overexpression and epithelial-mesenchymal transition (EMT) of HER2-overexpressing breast cancer cells." in: Oncogene, Vol. 34, Issue 5, pp. 546-57, (2015) (PubMed).

    Ferrari-Amorotti, Fragliasso, Esteki, Prudente, Soliera, Cattelani, Manzotti, Grisendi, Dominici, Pieraccioli, Raschellà, Chiodoni, Colombo, Calabretta: "Inhibiting interactions of lysine demethylase LSD1 with snail/slug blocks cancer cell invasion." in: Cancer research, Vol. 73, Issue 1, pp. 235-45, (2013) (PubMed).

    Lemma, Karihtala, Haapasaari, Jantunen, Soini, Bloigu, Pasanen, Turpeenniemi-Hujanen, Kuittinen: "Biological roles and prognostic values of the epithelial-mesenchymal transition-mediating transcription factors Twist, ZEB1 and Slug in diffuse large B-cell lymphoma." in: Histopathology, Vol. 62, Issue 2, pp. 326-33, (2012) (PubMed).

  • 抗原

    SLUG

    背景

    SLUG is a member of the Snail family of C2H2-type zinc finger transcription factors. The encoded protein acts as a transcriptional repressor that binds to E-box motifs and is also likely to repress E-cadherin transcription in breast carcinoma. This protein is involved in epithelial-mesenchymal transitions and has antiapoptotic activity. Mutations in this gene may be associated with sporadic cases of neural tube defects.

    分子量

    29986

    NCBI登录号

    NP_003059

    UniProt

    O43623
You are here: