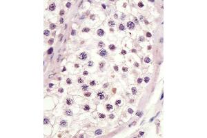
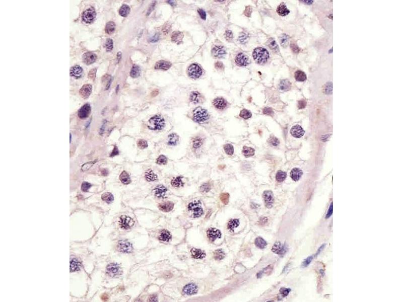
MLL3 抗体 (C-Term)
Our Local Distributor
北京 101111
Quick Overview for MLL3 抗体 (C-Term) (ABIN6242808)
抗原
适用
宿主
克隆类型
标记
应用范围
克隆位点
-
-
抗原表位
- AA 3784-3818, C-Term
-
纯化方法
- This antibody is purified through a protein A column, followed by peptide affinity purification.
-
免疫原
- This MLL3 antibody is generated from a rabbit immunized with a KLH conjugated synthetic peptide between 3784-3818 amino acids from the C-terminal region of human MLL3.
-
亚型
- Ig Fraction
-
-
-
-
应用备注
- IHC-P: 1:25
-
限制
- 仅限研究用
-
-
-
状态
- Liquid
-
缓冲液
- Purified polyclonal antibody supplied in PBS with 0.09 % (W/V) sodium azide.
-
储存液
- Sodium azide
-
注意事项
- This product contains Sodium azide: a POISONOUS AND HAZARDOUS SUBSTANCE which should be handled by trained staff only.
-
储存条件
- 4 °C,-20 °C
-
有效期
- 6 months
-
-
- MLL3 (KMT2C) (Histone-lysine N-methyltransferase 2C (KMT2C))
-
别名
- MLL3
-
背景
- Histone methyltransferase. Methylates 'Lys-4' of histone H3. H3 'Lys-4' methylation represents a specific tag for epigenetic transcriptional activation. Central component of the MLL2/3 complex, a coactivator complex of nuclear receptors, involved in transcriptional coactivation. KMT2C/MLL3 may be a catalytic subunit of this complex. May be involved in leukemogenesis and developmental disorder.
-
分子量
- 541370
-
UniProt
- Q8NEZ4
-
途径
- Warburg Effect
抗原
-