电话:
+86 (0512) 65829739
传真:
+86 (010) 6788 5057
电子邮件:
orders@antibodies-online.cn

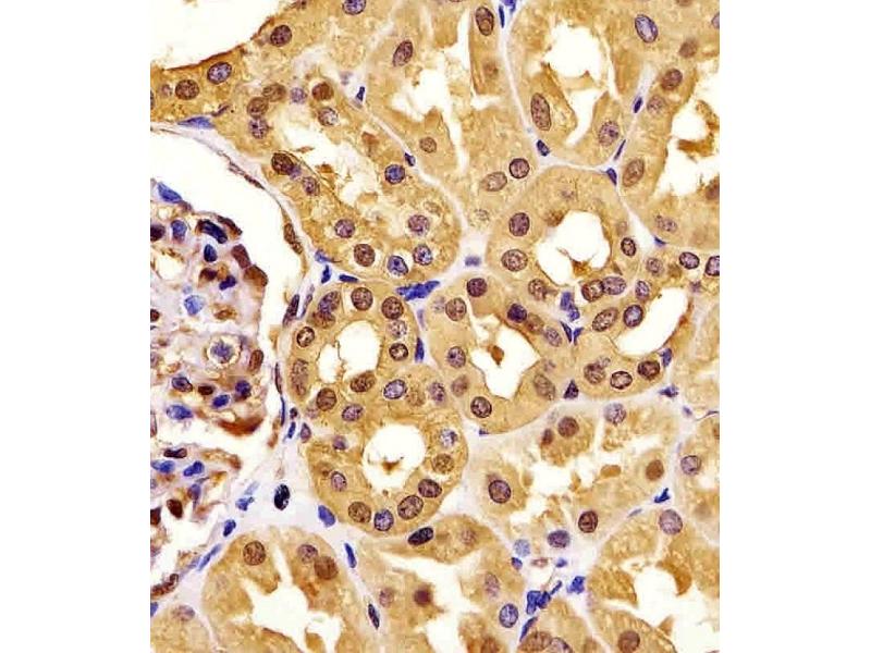
PGK1 抗体 (AA 1-417)

This 小鼠 单克隆 antibody specifically detects PGK1 in WB, IHC (p) 和 FACS. It exhibits reactivity toward 人 和 小鼠.
产品编号 ABIN6242522
发货至: 中国
Contact our Customer Service for availability and price in your country. Contact Info

Our Local Distributor

中国
北京 101111
No. 88 KeChuang 6th Street
Beijing Economic Technological Development Area
Room 801-803
4A Biotech Co.,Ltd.
Tel +86 (0512) 65829739 传真 +86 (010) 6788 5057

Quick Overview for PGK1 抗体 (AA 1-417) (ABIN6242522)

抗原

See all PGK1 抗体
PGK1 (Phosphoglycerate Kinase 1 (PGK1))

适用

  • 99
  • 63
  • 43
  • 5
  • 5
  • 4
  • 4
  • 4
  • 4
  • 4
  • 3
  • 3
  • 2
  • 1
  • 1
人, 小鼠

宿主

  • 90
  • 12
  • 1
  • 1
小鼠

克隆类型

  • 61
  • 40
单克隆

标记

  • 57
  • 8
  • 4
  • 4
  • 4
  • 4
  • 4
  • 4
  • 4
  • 3
  • 2
  • 2
  • 2
  • 2
This PGK1 antibody is un-conjugated

应用范围

  • 84
  • 45
  • 35
  • 35
  • 26
  • 14
  • 14
  • 4
  • 4
  • 2
  • 2
  • 2
  • 1
  • 1
  • 1
Western Blotting (WB), Immunohistochemistry (Paraffin-embedded Sections) (IHC (p)), Flow Cytometry (FACS)

克隆位点

1086CT10-2-1
  • 抗原表位

    • 8
    • 7
    • 5
    • 5
    • 4
    • 3
    • 3
    • 3
    • 2
    • 2
    • 2
    • 2
    • 2
    • 1
    • 1
    • 1
    • 1
    • 1
    • 1
    • 1
    AA 1-417

    纯化方法

    This antibody is purified through a protein G column, followed by dialysis against PBS.

    免疫原

    This antibody is generated from a mouse immunized with a KLH conjugated synthetic peptide between 1-417 amino acids from human.

    亚型

    IgG2a kappa
  • 应用备注

    WB: 1:8000. IHC-P: 1:25. IHC-P: 1:25. FC: 1:25

    限制

    仅限研究用
  • 状态

    Liquid

    缓冲液

    Purified monoclonal antibody supplied in PBS with 0.09 % (W/V) sodium azide.

    储存液

    Sodium azide

    注意事项

    This product contains Sodium azide: a POISONOUS AND HAZARDOUS SUBSTANCE which should be handled by trained staff only.

    储存条件

    4 °C,-20 °C

    有效期

    6 months
  • 抗原

    PGK1 (Phosphoglycerate Kinase 1 (PGK1))

    别名

    PGK1

    背景

    In addition to its role as a glycolytic enzyme, it seems that PGK-1 acts as a polymerase alpha cofactor protein (primer recognition protein).

    分子量

    44615

    UniProt

    P00558

    途径

    Cellular Glucan Metabolic Process
You are here: