OGT 抗体 (AA 857-1036)
Our Local Distributor
北京 101111
Quick Overview for OGT 抗体 (AA 857-1036) (ABIN3022708)
抗原
See all OGT 抗体适用
宿主
克隆类型
标记
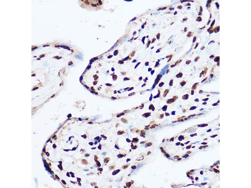
应用范围
-
-
抗原表位
- AA 857-1036
-
序列
- RVPNSVLWLL RFPAVGEPNI QQYAQNMGLP QNRIIFSPVA PKEEHVRRGQ LADVCLDTPL CNGHTTGMDV LWAGTPMVTM PGETLASRVA ASQLTCLGCL ELIAKNRQEY EDIAVKLGTD LEYLKKVRGK VWKQRISSPL FNTKQYTMEL ERLYLQMWEH YAAGNKPDHM IKPVEVTESA
-
交叉反应
- 人, 小鼠, 大鼠
-
产品特性
- Polyclonal Antibodies
-
免疫原
- Recombinant fusion protein containing a sequence corresponding to amino acids 857-1036 of human OGT (NP_858059.1).
-
亚型
- IgG
-
-
-
-
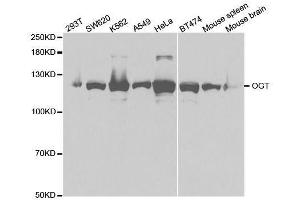
应用备注
- WB,1:500 - 1:2000,IHC,1:50 - 1:200,IF,1:50 - 1:200
-
限制
- 仅限研究用
-
-
-
缓冲液
- PBS with 0.02 % sodium azide,50 % glycerol, pH 7.3.
-
储存液
- Sodium azide
-
注意事项
- This product contains Sodium azide: a POISONOUS AND HAZARDOUS SUBSTANCE which should be handled by trained staff only.
-
储存条件
- -20 °C
-
储存方法
- Store at -20°C. Avoid freeze / thaw cycles.
-
-
- OGT (O-Linked N-Acetylglucosamine (GlcNAc) Transferase (UDP-N-Acetylglucosamine:polypeptide-N-Acetylglucosaminyl Transferase) (OGT))
-
别名
- OGT
-
背景
- This gene encodes a glycosyltransferase that catalyzes the addition of a single N-acetylglucosamine in O-glycosidic linkage to serine or threonine residues. Since both phosphorylation and glycosylation compete for similar serine or threonine residues, the two processes may compete for sites, or they may alter the substrate specificity of nearby sites by steric or electrostatic effects. The protein contains multiple tetratricopeptide repeats that are required for optimal recognition of substrates. Alternatively spliced transcript variants encoding distinct isoforms have been found for this gene.,OGT,HINCUT-1,HRNT1,O-GLCNAC,MRX106,OGT1,Signal Transduction,Neuroscience,Neurodegenerative Diseases,Amyloid Plaque and Neurofibrillary Tangle Formation in Alzheimer's Disease,OGT
-
分子量
- 74 kDa/103 kDa/115 kDa/116 kDa
-
基因ID
- 8473
-
UniProt
- O15294
-
途径
- Regulation of Carbohydrate Metabolic Process
抗原
-