电话:
+86 (0512) 65829739
传真:
+86 (010) 6788 5057
电子邮件:
orders@antibodies-online.cn

MYOD1 抗体

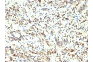
The 小鼠 单克隆 anti-MYOD1 antibody (Clone 5-8A) (ABIN6188471) specifically detects MYOD1 in IF, FACS, IHC (f) 和 Diff. The antibody is reactive with 人, 小鼠, 大鼠 和 小鸡 samples.
产品编号 ABIN6188471
发货至: 中国
Contact our Customer Service for availability and price in your country. Contact Info

Our Local Distributor

中国
北京 101111
No. 88 KeChuang 6th Street
Beijing Economic Technological Development Area
Room 801-803
4A Biotech Co.,Ltd.
Tel +86 (0512) 65829739 传真 +86 (010) 6788 5057

Quick Overview for MYOD1 抗体 (ABIN6188471)

抗原

See all MYOD1 抗体
MYOD1 (Myogenic Differentiation 1 (MYOD1))

适用

  • 164
  • 77
  • 70
  • 30
  • 2
  • 2
  • 1
  • 1
  • 1
人, 小鼠, 大鼠, 小鸡

宿主

  • 105
  • 63
  • 1
小鼠

克隆类型

  • 102
  • 67
  • 1
单克隆

标记

  • 81
  • 11
  • 5
  • 4
  • 4
  • 4
  • 4
  • 4
  • 4
  • 4
  • 4
  • 4
  • 4
  • 4
  • 4
  • 4
  • 3
  • 2
  • 2
  • 2
  • 1
  • 1
  • 1
  • 1
  • 1
  • 1
  • 1
  • 1
  • 1
  • 1
  • 1
  • 1
This MYOD1 antibody is un-conjugated

应用范围

  • 91
  • 51
  • 49
  • 44
  • 43
  • 21
  • 21
  • 18
  • 17
  • 14
  • 12
  • 9
  • 3
  • 2
  • 1
  • 1
  • 1
  • 1
Immunofluorescence (IF), Flow Cytometry (FACS), Immunohistochemistry (Formalin-fixed Sections) (IHC (f)), Differentiation (Diff)

克隆位点

5-8A
  • 原理

    Mouse Monoclonal anti-MyoD1 (5.8A), Purified, BSA-free

    产品特性

    This antibody recognizes a phosphor-protein of 45 kDa, identified as MyoD1. The epitope of this MAb maps between amino acid 180-189 in the C-terminal of mouse MyoD1 protein. It does not cross react with myogenin, Myf5, or Myf6. Antibody to MyoD1 labels the nuclei of myoblasts in developing muscle tissues. MyoD1 is not detected in normal adult tissue, but is highly expressed in the tumor cell nuclei of rhabdomyosarcomas. Occasionally nuclear expression of MyoD1 is seen in ectomesenchymoma and a subset of Wilm s tumors. Weak cytoplasmic staining is observed in several non-muscle tissues, including glandular epithelium and also in rhabdomyosarcomas, neuroblastomas, Ewing s sarcomas and alveolar soft part sarcomas. Primary antibodies are available purified, or with a selection of fluorescent CF® dyes and other labels. CF® dyes offer exceptional brightness and photostability. Note: Conjugates of blue fluorescent dyes like CF®405S and CF®405M are not recommended for detecting low abundance targets, because blue dyes have lower fluorescence and can give higher non-specific background than other dye colors.

    纯化方法

    Purified

    免疫原

    Recombinant mouse MyoD1 protein

    亚型

    IgG1 kappa
  • 应用备注

    Only nuclear staining should be considered as evidence of skeletal muscle differentiation.
    • Immunohistology formalin-fixed 0.5-1 μg/mL
    • Staining of formalin-fixed tissues requires boiling tissue sections in 10 mM Tris with 1 mM EDTA,  pH 9.0, for 10-20 min followed by cooling at RT for 20 minutes
    • Immunofluorescence 0.5-1 μg/mL
    • Flow Cytometry 0.5-1 μg/million cells/0.1 mL
    • Optimal dilution for a specific application should be determined by user

    说明

    Rhabdomyosarcoma

    限制

    仅限研究用
  • 状态

    Liquid

    浓度

    1 mg/mL

    缓冲液

    PBS (no BSA, no azide)

    储存液

    Azide free
  • 抗原

    MYOD1 (Myogenic Differentiation 1 (MYOD1))

    别名

    MyoD1

    背景

    BHLHc1, Class C basic helix-loop-helix protein 1, Myoblast determination protein 1, Myogenic differentiation 1, Myogenic factor 3 (Myf-3), Myogenin D1, PUM

    分子量

    45 kDa

    基因ID

    4654, 181768

    UniProt

    P15172

    途径

    Regulation of Muscle Cell Differentiation, Skeletal Muscle Fiber Development
You are here: