ENPEP 抗体 (Tyr182)
Our Local Distributor
北京 101111
Quick Overview for ENPEP 抗体 (Tyr182) (ABIN615545)
抗原
See all ENPEP 抗体适用
宿主
克隆类型
标记
应用范围
-
-
抗原表位
- Tyr182
-
序列
- T-G-YP-V-A
-
特异性
- This antibody detects CD249 / Glutamyl aminopeptidase.
-
交叉反应 (详细)
- Species reactivity (expected):PigSpecies reactivity (tested):Human
-
纯化方法
- Immunoaffinity Chromatography
-
免疫原
- Synthesized non-phosphopeptide derived from human p38 MAPK around the phosphorylation site of tyrosine 182
-
-
-
-
应用备注
- Optimal working dilution should be determined by the investigator.
-
限制
- 仅限研究用
-
-
-
状态
- Liquid
-
缓冲液
- 0.1 M Tris-glycine, pH 7, 10 % Glycerol, 0.01 % Thimerosal
-
储存液
- Thimerosal (Merthiolate)
-
注意事项
- This product contains thimerosal (merthiolate): a POISONOUS AND HAZARDOUS SUBSTANCE which should be handled by trained staff only.
-
注意事项
- Avoid repeated freezing and thawing.
-
储存条件
- -20 °C
-
储存方法
- Store (in aliquots) at -20 °C. Dilute only prior to immediate use.
-
-
- ENPEP (Glutamyl Aminopeptidase (Aminopeptidase A) (ENPEP))
-
别名
- CD249 / Glutamyl Aminopeptidase
-
背景
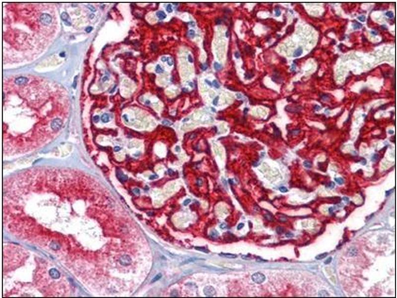
- Human aminopeptidase A is a cell surface differentiation-related glycoprotein of 160 kD expressed by epithelial cells of the glomerulus and proximal tubules of the human kidney and in the majority of renal cell carcinomas. Expression of aminopeptidase A by cultured renal cell carcinomas correlated with the resistance of these cells to the antiproliferative effects of alpha interferon.Synonyms: Aminopeptidase A, Differentiation antigen gp160, EAP, ENPEP
-
基因ID
- 2028
-
NCBI登录号
- NP_001968
-
UniProt
- Q07075
-
途径
- Peptide Hormone Metabolism, Regulation of Systemic Arterial Blood Pressure by Hormones
抗原
-