电话:
+86 (0512) 65829739
传真:
+86 (010) 6788 5057
电子邮件:
orders@antibodies-online.cn

ZBTB33 抗体 (AA 523-672)

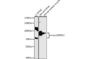
The 兔 多克隆 anti-ZBTB33 antibody (ABIN6150379) specifically detects ZBTB33 in WB 和 ChIP. The antibody is reactive with 人 samples.
产品编号 ABIN6150379
发货至: 中国
Contact our Customer Service for availability and price in your country. Contact Info

Our Local Distributor

中国
北京 101111
No. 88 KeChuang 6th Street
Beijing Economic Technological Development Area
Room 801-803
4A Biotech Co.,Ltd.
Tel +86 (0512) 65829739 传真 +86 (010) 6788 5057

Quick Overview for ZBTB33 抗体 (AA 523-672) (ABIN6150379)

抗原

See all ZBTB33 抗体
ZBTB33 (Zinc Finger and BTB Domain Containing 33 (ZBTB33))

适用

  • 28
  • 13
  • 9
  • 8
  • 5
  • 5
  • 3
  • 3
  • 3
  • 2
  • 2
  • 2
  • 1

宿主

  • 25
  • 4

克隆类型

  • 21
  • 8
多克隆

标记

  • 25
  • 2
  • 1
  • 1
This ZBTB33 antibody is un-conjugated

应用范围

  • 21
  • 13
  • 7
  • 5
  • 4
  • 1
  • 1
  • 1
  • 1
  • 1
Western Blotting (WB), Chromatin Immunoprecipitation (ChIP)
  • 抗原表位

    • 6
    • 5
    • 2
    • 2
    • 2
    • 1
    • 1
    • 1
    • 1
    AA 523-672

    序列

    PCRYCEKVFP LAEYRTKHEI HHTGERRYQC LACGKSFINY QFMSSHIKSV HSQDPSGDSK LYRLHPCRSL QIRQYAYLSD RSSTIPAMKD DGIGYKVDTG KEPPVGTTTS TQNKPMTWED IFIQQENDSI FKQNVTDGST EFEFIIPESY

    交叉反应

    人, 小鼠, 大鼠

    产品特性

    Polyclonal Antibodies

    免疫原

    Recombinant fusion protein containing a sequence corresponding to amino acids 523-672 of human Kaiso/Kaiso/ZBTB33 (NP_006768.1).

    亚型

    IgG
  • 应用备注

    WB,1:1000 - 1:2000,ChIP,1:50 - 1:200

    说明

    HIGH QUALITY

    限制

    仅限研究用
  • 状态

    Liquid

    缓冲液

    PBS with 0.02 % sodium azide,50 % glycerol, pH 7.3.

    储存液

    Sodium azide

    注意事项

    This product contains Sodium azide: a POISONOUS AND HAZARDOUS SUBSTANCE which should be handled by trained staff only.

    储存条件

    -20 °C

    储存方法

    Store at -20°C. Avoid freeze / thaw cycles.
  • 抗原

    ZBTB33 (Zinc Finger and BTB Domain Containing 33 (ZBTB33))

    别名

    ZBTB33

    背景

    This gene encodes a transcriptional regulator with bimodal DNA-binding specificity, which binds to methylated CGCG and also to the non-methylated consensus KAISO-binding site TCCTGCNA. The protein contains an N-terminal POZ/BTB domain and 3 C-terminal zinc finger motifs. It recruits the N-CoR repressor complex to promote histone deacetylation and the formation of repressive chromatin structures in target gene promoters. It may contribute to the repression of target genes of the Wnt signaling pathway, and may also activate transcription of a subset of target genes by the recruitment of catenin delta-2 (CTNND2). Its interaction with catenin delta-1 (CTNND1) inhibits binding to both methylated and non-methylated DNA. It also interacts directly with the nuclear import receptor Importin-alpha2 (also known as karyopherin alpha2 or RAG cohort 1), which may mediate nuclear import of this protein. Alternatively spliced transcript variants encoding the same protein have been identified.,ZBTB33,ZNF-kaiso,ZNF348,Epigenetics & Nuclear Signaling,ZBTB33

    分子量

    74 kDa

    基因ID

    10009

    UniProt

    Q86T24
You are here: