电话:
+86 (0512) 65829739
传真:
+86 (010) 6788 5057
电子邮件:
orders@antibodies-online.cn

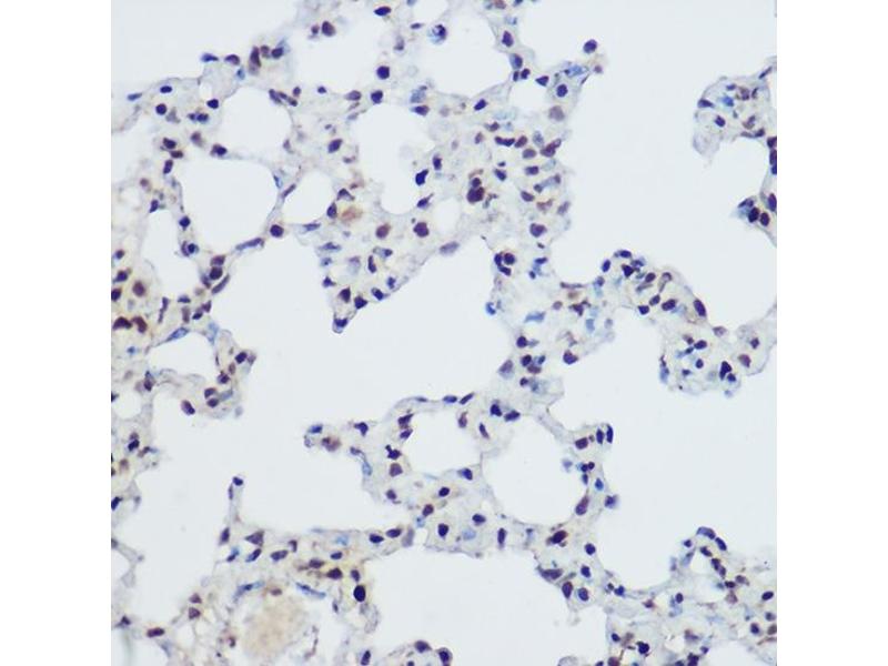
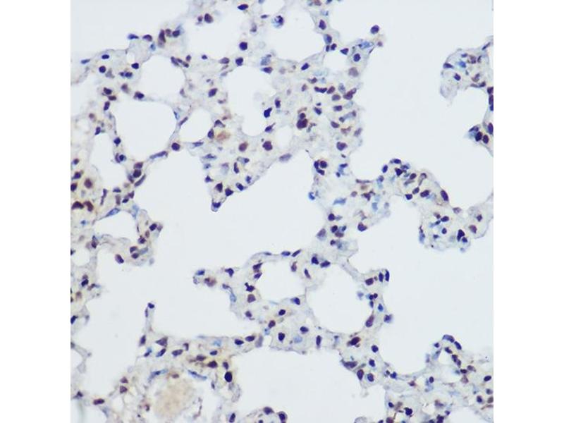
ZBTB16 抗体 (AA 1-220)

This 兔 多克隆 antibody specifically detects ZBTB16 in WB 和 IHC. It exhibits reactivity toward 人.
产品编号 ABIN6150368
发货至: 中国
Contact our Customer Service for availability and price in your country. Contact Info

Our Local Distributor

中国
北京 101111
No. 88 KeChuang 6th Street
Beijing Economic Technological Development Area
Room 801-803
4A Biotech Co.,Ltd.
Tel +86 (0512) 65829739 传真 +86 (010) 6788 5057

Quick Overview for ZBTB16 抗体 (AA 1-220) (ABIN6150368)

抗原

See all ZBTB16 抗体
ZBTB16 (Zinc Finger and BTB Domain Containing 16 (ZBTB16))

适用

  • 48
  • 15
  • 12
  • 2
  • 2
  • 2
  • 2
  • 2
  • 1
  • 1
  • 1
  • 1

宿主

  • 37
  • 11

克隆类型

  • 36
  • 12
多克隆

标记

  • 32
  • 3
  • 3
  • 2
  • 1
  • 1
  • 1
  • 1
  • 1
  • 1
  • 1
  • 1
This ZBTB16 antibody is un-conjugated

应用范围

  • 25
  • 23
  • 7
  • 5
  • 5
  • 4
  • 3
  • 3
  • 2
  • 1
  • 1
  • 1
Western Blotting (WB), Immunohistochemistry (IHC)
  • 抗原表位

    • 8
    • 6
    • 6
    • 3
    • 2
    • 2
    • 1
    • 1
    • 1
    • 1
    • 1
    • 1
    • 1
    AA 1-220

    序列

    MDLTKMGMIQ LQNPSHPTGL LCKANQMRLA GTLCDVVIMV DSQEFHAHRT VLACTSKMFE ILFHRNSQHY TLDFLSPKTF QQILEYAYTA TLQAKAEDLD DLLYAAEILE IEYLEEQCLK MLETIQASDD NDTEATMADG GAEEEEDRKA RYLKNIFISK HSSEESGYAS VAGQSLPGPM VDQSPSVSTS FGLSAMSPTK AAVDSLMTIG QSLLQGTLQP

    交叉反应

    人, 小鼠, 大鼠

    产品特性

    Polyclonal Antibodies

    免疫原

    Recombinant fusion protein containing a sequence corresponding to amino acids 1-220 of human PLZF (NP_001018011.1).

    亚型

    IgG
  • 应用备注

    WB,1:500 - 1:1000,IHC,1:50 - 1:100

    说明

    HIGH QUALITY

    限制

    仅限研究用
  • 状态

    Liquid

    缓冲液

    PBS with 0.02 % sodium azide,50 % glycerol, pH 7.3.

    储存液

    Sodium azide

    注意事项

    This product contains Sodium azide: a POISONOUS AND HAZARDOUS SUBSTANCE which should be handled by trained staff only.

    储存条件

    -20 °C

    储存方法

    Store at -20°C. Avoid freeze / thaw cycles.
  • 抗原

    ZBTB16 (Zinc Finger and BTB Domain Containing 16 (ZBTB16))

    别名

    ZBTB16

    背景

    This gene is a member of the Krueppel C2H2-type zinc-finger protein family and encodes a zinc finger transcription factor that contains nine Kruppel-type zinc finger domains at the carboxyl terminus. This protein is located in the nucleus, is involved in cell cycle progression, and interacts with a histone deacetylase. Specific instances of aberrant gene rearrangement at this locus have been associated with acute promyelocytic leukemia (APL). Alternate transcriptional splice variants have been characterized.,ZBTB16,PLZF,ZNF145,Epigenetics & Nuclear Signaling,Transcription Factors,Cancer,Cell Biology & Developmental Biology,Apoptosis,Stem Cells,Germline Stem Cells,Hematopoietic Progenitors,ZBTB16

    分子量

    61 kDa/74 kDa

    基因ID

    7704

    UniProt

    Q05516

    途径

    Positive Regulation of fat Cell Differentiation
You are here: