电话:
+86 (0512) 65829739
传真:
+86 (010) 6788 5057
电子邮件:
orders@antibodies-online.cn

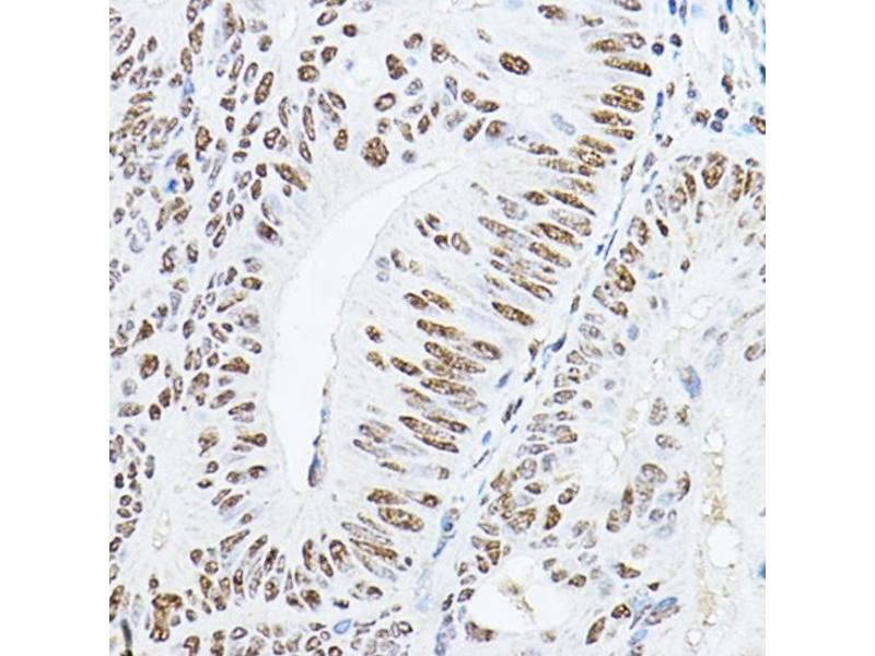
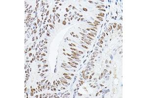
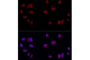
GAS41 抗体 (AA 1-227)

The 兔 多克隆 anti-GAS41 antibody (ABIN6150331) specifically detects GAS41 in WB, IF 和 IHC. The antibody is reactive with 人 samples.
产品编号 ABIN6150331
发货至: 中国
Contact our Customer Service for availability and price in your country. Contact Info

Our Local Distributor

中国
北京 101111
No. 88 KeChuang 6th Street
Beijing Economic Technological Development Area
Room 801-803
4A Biotech Co.,Ltd.
Tel +86 (0512) 65829739 传真 +86 (010) 6788 5057

Quick Overview for GAS41 抗体 (AA 1-227) (ABIN6150331)

抗原

GAS41 (YEATS Domain Containing 4)

适用

  • 51
  • 42
  • 15
  • 15
  • 6
  • 6
  • 4
  • 4
  • 4
  • 4
  • 4
  • 3
  • 2
  • 2

宿主

  • 56
  • 10

克隆类型

  • 58
  • 8
多克隆

标记

  • 28
  • 5
  • 3
  • 3
  • 2
  • 2
  • 2
  • 2
  • 2
  • 2
  • 2
  • 2
  • 1
  • 1
  • 1
  • 1
  • 1
  • 1
  • 1
  • 1
  • 1
  • 1
  • 1
This GAS41 antibody is un-conjugated

应用范围

  • 49
  • 24
  • 13
  • 13
  • 4
  • 4
  • 3
  • 3
  • 2
  • 1
  • 1
  • 1
Western Blotting (WB), Immunofluorescence (IF), Immunohistochemistry (IHC)
  • 抗原表位

    • 15
    • 6
    • 3
    • 2
    • 2
    • 1
    • 1
    • 1
    • 1
    • 1
    • 1
    • 1
    • 1
    • 1
    AA 1-227

    序列

    MFKRMAEFGP DSGGRVKGVT IVKPIVYGNV ARYFGKKREE DGHTHQWTVY VKPYRNEDMS AYVKKIQFKL HESYGNPLRV VTKPPYEITE TGWGEFEIII KIFFIDPNER PVTLYHLLKL FQSDTNAMLG KKTVVSEFYD EMIFQDPTAM MQQLLTTSRQ LTLGAYKHET EFAELEVKTR EKLEAAKKKT SFEIAELKER LKASRETINC LKNEIRKLEE DDQAKDI

    交叉反应

    人, 小鼠, 大鼠

    产品特性

    Polyclonal Antibodies

    免疫原

    Recombinant fusion protein containing a sequence corresponding to amino acids 1-227 of human YEATS4 (NP_006521.1).

    亚型

    IgG
  • 应用备注

    WB,1:500 - 1:2000,IHC,1:50 - 1:200,IF,1:50 - 1:200

    说明

    HIGH QUALITY

    限制

    仅限研究用
  • 状态

    Liquid

    缓冲液

    PBS with 0.02 % sodium azide,50 % glycerol, pH 7.3.

    储存液

    Sodium azide

    注意事项

    This product contains Sodium azide: a POISONOUS AND HAZARDOUS SUBSTANCE which should be handled by trained staff only.

    储存条件

    -20 °C

    储存方法

    Store at -20°C. Avoid freeze / thaw cycles.
  • 抗原

    GAS41 (YEATS Domain Containing 4)

    别名

    YEATS4

    背景

    The protein encoded by this gene is found in the nucleoli. It has high sequence homology to human MLLT1, and yeast and human MLLT3 proteins. Both MLLT1 and MLLT3 proteins belong to a class of transcription factors, indicating that the encoded protein might also represent a transcription factor. This protein is thought to be required for RNA transcription. This gene has been shown to be amplified in tumors. Alternative splicing results in multiple transcript variants encoding different isoforms.,YEATS4,4930573H17Rik,B230215M10Rik,GAS41,NUBI-1,YAF9,Epigenetics & Nuclear Signaling,Transcription Factors,Cell Biology & Developmental Biology,Apoptosis,YEATS4

    分子量

    26 kDa

    基因ID

    8089

    UniProt

    O95619
You are here: