电话:
+86 (0512) 65829739
传真:
+86 (010) 6788 5057
电子邮件:
orders@antibodies-online.cn

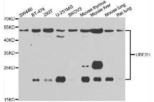
UBE2H 抗体 (AA 1-183)

This 兔 多克隆 antibody specifically detects UBE2H in WB. It exhibits reactivity toward 人.
产品编号 ABIN6149801
发货至: 中国
Contact our Customer Service for availability and price in your country. Contact Info

Our Local Distributor

中国
北京 101111
No. 88 KeChuang 6th Street
Beijing Economic Technological Development Area
Room 801-803
4A Biotech Co.,Ltd.
Tel +86 (0512) 65829739 传真 +86 (010) 6788 5057

Quick Overview for UBE2H 抗体 (AA 1-183) (ABIN6149801)

抗原

See all UBE2H 抗体
UBE2H (Ubiquitin-Conjugating Enzyme E2H (UBE2H))

适用

  • 37
  • 6
  • 5
  • 2
  • 2
  • 2
  • 2
  • 2
  • 2
  • 2
  • 1

宿主

  • 36
  • 1

克隆类型

  • 36
  • 1
多克隆

标记

  • 13
  • 3
  • 3
  • 3
  • 2
  • 2
  • 1
  • 1
  • 1
  • 1
  • 1
  • 1
  • 1
  • 1
  • 1
  • 1
  • 1
This UBE2H antibody is un-conjugated

应用范围

  • 37
  • 19
  • 13
  • 13
  • 3
  • 3
  • 2
  • 2
Western Blotting (WB)
  • 抗原表位

    • 15
    • 8
    • 7
    • 1
    • 1
    • 1
    • 1
    • 1
    • 1
    AA 1-183

    序列

    MSSPSPGKRR MDTDVVKLIE SKHEVTILGG LNEFVVKFYG PQGTPYEGGV WKVRVDLPDK YPFKSPSIGF MNKIFHPNID EASGTVCLDV INQTWTALYD LTNIFESFLP QLLAYPNPID PLNGDAAAMY LHRPEEYKQK IKEYIQKYAT EEALKEQEEG TGDSSSESSM SDFSEDEAQD MEL

    交叉反应

    人, 小鼠, 大鼠

    产品特性

    Polyclonal Antibodies

    免疫原

    Recombinant fusion protein containing a sequence corresponding to amino acids 1-183 of human UBE2H (NP_003335.1).

    亚型

    IgG
  • 应用备注

    WB,1:500 - 1:2000

    说明

    HIGH QUALITY

    限制

    仅限研究用
  • 状态

    Liquid

    缓冲液

    PBS with 0.02 % sodium azide,50 % glycerol, pH 7.3.

    储存液

    Sodium azide

    注意事项

    This product contains Sodium azide: a POISONOUS AND HAZARDOUS SUBSTANCE which should be handled by trained staff only.

    储存条件

    -20 °C

    储存方法

    Store at -20°C. Avoid freeze / thaw cycles.
  • 抗原

    UBE2H (Ubiquitin-Conjugating Enzyme E2H (UBE2H))

    别名

    UBE2H

    背景

    The modification of proteins with ubiquitin is an important cellular mechanism for targeting abnormal or short-lived proteins for degradation. Ubiquitination involves at least three classes of enzymes: ubiquitin-activating enzymes, or E1s, ubiquitin-conjugating enzymes, or E2s, and ubiquitin-protein ligases, or E3s. This gene encodes a member of the E2 ubiquitin-conjugating enzyme family. The encoded protein sequence is 100 % identical to the mouse homolog and 98 % identical to the frog and zebrafish homologs. Three alternatively spliced transcript variants have been found for this gene and they encode distinct isoforms.,UBE2H,E2-20K,GID3,UBC8,UBCH,UBCH2,Epigenetics & Nuclear Signaling,Cell Biology & Developmental Biology,Ubiquitin,Ubiquitin-Proteasome Signaling Pathway,UBE2H

    分子量

    17 kDa/20 kDa

    基因ID

    7328

    UniProt

    P62256
You are here: