电话:
+86 (0512) 65829739
传真:
+86 (010) 6788 5057
电子邮件:
orders@antibodies-online.cn

UBASH3B 抗体 (AA 1-300)

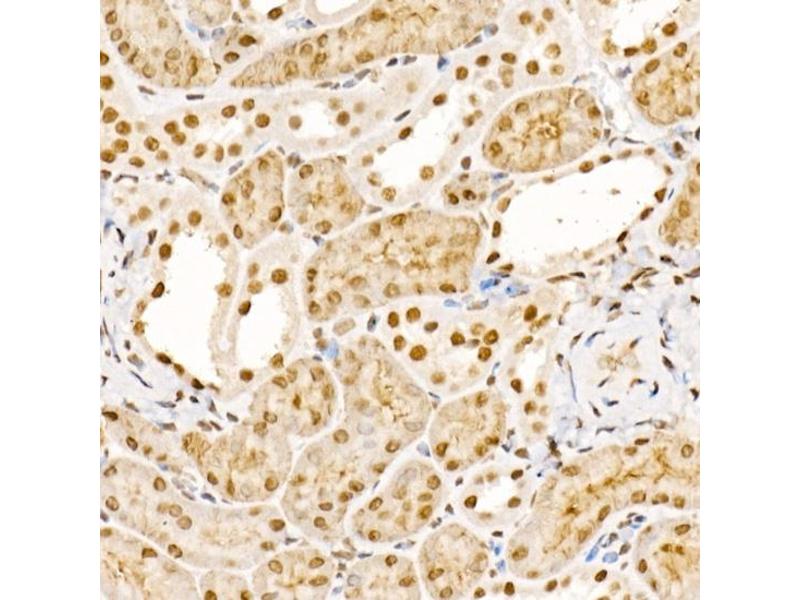
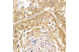
The 兔 多克隆 anti-UBASH3B antibody (ABIN6149775) specifically detects UBASH3B in IHC, WB 和 IF. The antibody is reactive with 人 samples.
产品编号 ABIN6149775
发货至: 中国
Contact our Customer Service for availability and price in your country. Contact Info

Our Local Distributor

中国
北京 101111
No. 88 KeChuang 6th Street
Beijing Economic Technological Development Area
Room 801-803
4A Biotech Co.,Ltd.
Tel +86 (0512) 65829739 传真 +86 (010) 6788 5057

Quick Overview for UBASH3B 抗体 (AA 1-300) (ABIN6149775)

抗原

See all UBASH3B (STS1) 抗体
UBASH3B (STS1) (Cbl-Interacting Protein Sts-1 (STS1))

适用

  • 17
  • 9
  • 8
  • 2
  • 2
  • 2
  • 2
  • 1
  • 1
  • 1

宿主

  • 12
  • 3
  • 3

克隆类型

  • 16
  • 2
多克隆

标记

  • 18
This UBASH3B antibody is un-conjugated

应用范围

  • 14
  • 9
  • 8
  • 6
  • 4
  • 2
  • 1
  • 1
Immunohistochemistry (IHC), Western Blotting (WB), Immunofluorescence (IF)
  • 抗原表位

    • 3
    • 3
    • 1
    • 1
    • 1
    • 1
    • 1
    • 1
    AA 1-300

    序列

    MAQYGHPSPL GMAAREELYS KVTPRRNRQQ RPGTIKHGSA LDVLLSMGFP RARAQKALAS TGGRSVQAAC DWLFSHVGDP FLDDPLPREY VLYLRPTGPL AQKLSDFWQQ SKQICGKNKA HNIFPHITLC QFFMCEDSKV DALGEALQTT VSRWKCKFSA PLPLELYTSS NFIGLFVKED SAEVLKKFAA DFAAEAASKT EVHVEPHKKQ LHVTLAYHFQ ASHLPTLEKL AQNIDVKLGC DWVATIFSRD IRFANHETLQ VIYPYTPQND DELELVPGDF IFMSPMEQTS TSEGWIYGTS

    交叉反应

    人, 小鼠, 大鼠

    产品特性

    Polyclonal Antibodies

    免疫原

    Recombinant fusion protein containing a sequence corresponding to amino acids 1-300 of human UBASH3B (NP_116262.2).

    亚型

    IgG
  • 应用备注

    WB,1:500 - 1:2000,IHC,1:50 - 1:200,IF,1:50 - 1:100

    说明

    HIGH QUALITY

    限制

    仅限研究用
  • 状态

    Liquid

    缓冲液

    PBS with 0.02 % sodium azide,50 % glycerol, pH 7.3.

    储存液

    Sodium azide

    注意事项

    This product contains Sodium azide: a POISONOUS AND HAZARDOUS SUBSTANCE which should be handled by trained staff only.

    储存条件

    -20 °C

    储存方法

    Store at -20°C. Avoid freeze / thaw cycles.
  • 抗原

    UBASH3B (STS1) (Cbl-Interacting Protein Sts-1 (STS1))

    别名

    UBASH3B

    背景

    This gene encodes a protein that contains a ubiquitin associated domain at the N-terminus, an SH3 domain, and a C-terminal domain with similarities to the catalytic motif of phosphoglycerate mutase. The encoded protein was found to inhibit endocytosis of epidermal growth factor receptor (EGFR) and platelet-derived growth factor receptor.,UBASH3B,STS-1,STS1,TULA-2,TULA2,p70,UBASH3B

    分子量

    72 kDa

    基因ID

    84959

    UniProt

    Q8TF42
You are here: