电话:
+86 (0512) 65829739
传真:
+86 (010) 6788 5057
电子邮件:
orders@antibodies-online.cn

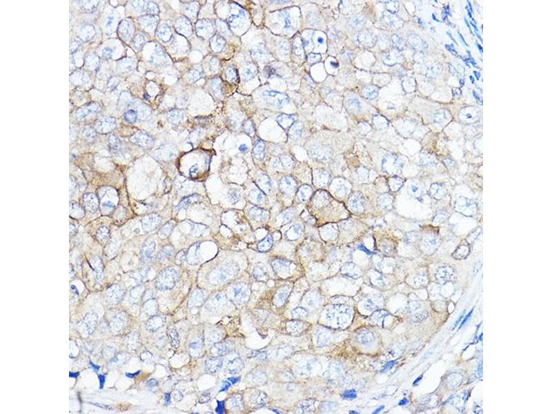
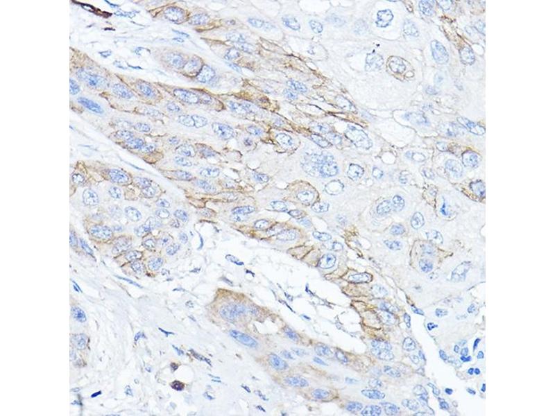
TMPRSS2 抗体 (AA 140-400)

The 兔 多克隆 anti-TMPRSS2 antibody is suitable to detect TMPRSS2 in samples from 人. It has been validated for WB, IHC 和 IF.
产品编号 ABIN6149286
发货至: 中国
Contact our Customer Service for availability and price in your country. Contact Info

Our Local Distributor

中国
北京 101111
No. 88 KeChuang 6th Street
Beijing Economic Technological Development Area
Room 801-803
4A Biotech Co.,Ltd.
Tel +86 (0512) 65829739 传真 +86 (010) 6788 5057

Quick Overview for TMPRSS2 抗体 (AA 140-400) (ABIN6149286)

抗原

See all TMPRSS2 抗体
TMPRSS2 (Transmembrane Protease, serine 2 (TMPRSS2))

适用

  • 46
  • 22
  • 14
  • 1
  • 1
  • 1

宿主

  • 41
  • 6
  • 1

克隆类型

  • 32
  • 16
多克隆

标记

  • 31
  • 2
  • 2
  • 2
  • 2
  • 2
  • 2
  • 2
  • 1
  • 1
  • 1
This TMPRSS2 antibody is un-conjugated

应用范围

  • 40
  • 22
  • 16
  • 13
  • 11
  • 11
  • 8
  • 2
  • 2
Western Blotting (WB), Immunohistochemistry (IHC), Immunofluorescence (IF)
  • 抗原表位

    • 4
    • 3
    • 2
    • 2
    • 2
    • 1
    • 1
    • 1
    • 1
    • 1
    • 1
    • 1
    • 1
    • 1
    • 1
    • 1
    AA 140-400

    序列

    GLLWKFMGSK CSNSGIECDS SGTCINPSNW CDGVSHCPGG EDENRCVRLY GPNFILQVYS SQRKSWHPVC QDDWNENYGR AACRDMGYKN NFYSSQGIVD DSGSTSFMKL NTSAGNVDIY KKLYHSDACS SKAVVSLRCI ACGVNLNSSR QSRIVGGESA LPGAWPWQVS LHVQNVHVCG GSIITPEWIV TAAHCVEKPL NNPWHWTAFA GILRQSFMFY GAGYQVEKVI SHPNYDSKTK NNDIALMKLQ KPLTFNDLVK P

    交叉反应

    人, 小鼠, 大鼠

    产品特性

    Polyclonal Antibodies

    免疫原

    Recombinant fusion protein containing a sequence corresponding to amino acids 140-400 of human TMPRSS2 (NP_001128571.1).

    亚型

    IgG
  • 应用备注

    WB,1:500 - 1:2000,IHC,1:50 - 1:200,IF,1:50 - 1:200

    说明

    HIGH QUALITY

    限制

    仅限研究用
  • 状态

    Liquid

    缓冲液

    PBS with 0.02 % sodium azide,50 % glycerol, pH 7.3.

    储存液

    Sodium azide

    注意事项

    This product contains Sodium azide: a POISONOUS AND HAZARDOUS SUBSTANCE which should be handled by trained staff only.

    储存条件

    -20 °C

    储存方法

    Store at -20°C. Avoid freeze / thaw cycles.
  • 抗原

    TMPRSS2 (Transmembrane Protease, serine 2 (TMPRSS2))

    别名

    TMPRSS2

    背景

    This gene encodes a protein that belongs to the serine protease family. The encoded protein contains a type II transmembrane domain, a receptor class A domain, a scavenger receptor cysteine-rich domain and a protease domain. Serine proteases are known to be involved in many physiological and pathological processes. This gene was demonstrated to be up-regulated by androgenic hormones in prostate cancer cells and down-regulated in androgen-independent prostate cancer tissue. The protease domain of this protein is thought to be cleaved and secreted into cell media after autocleavage. Alternatively spliced transcript variants encoding different isoforms have been found for this gene.,TMPRSS2,PP9284,PRSS10,Cancer,Tumor biomarkers,Cell Biology & Developmental Biology,Ubiquitin,Neuroscience,Neurodegenerative Diseases,TMPRSS2

    分子量

    53 kDa/57 kDa

    基因ID

    7113

    UniProt

    O15393

    途径

    SARS-CoV-2 Protein Interactome
You are here: