电话:
+86 (0512) 65829739
传真:
+86 (010) 6788 5057
电子邮件:
orders@antibodies-online.cn

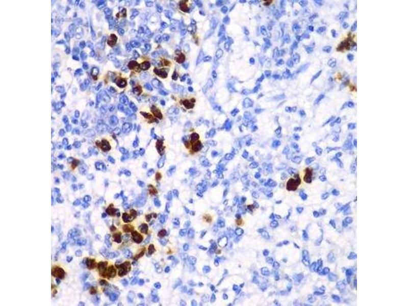
TFAM 抗体 (AA 1-220)

This 兔 多克隆 antibody specifically detects TFAM in WB, IHC, IF 和 ChIP. It exhibits reactivity toward 人.
产品编号 ABIN6149024
发货至: 中国
Contact our Customer Service for availability and price in your country. Contact Info

Our Local Distributor

中国
北京 101111
No. 88 KeChuang 6th Street
Beijing Economic Technological Development Area
Room 801-803
4A Biotech Co.,Ltd.
Tel +86 (0512) 65829739 传真 +86 (010) 6788 5057

Quick Overview for TFAM 抗体 (AA 1-220) (ABIN6149024)

抗原

See all TFAM 抗体
TFAM (Transcription Factor A, Mitochondrial (TFAM))

适用

  • 76
  • 34
  • 30
  • 5
  • 3
  • 2
  • 2
  • 1
  • 1

宿主

  • 109
  • 4

克隆类型

  • 79
  • 34
多克隆

标记

  • 49
  • 12
  • 8
  • 4
  • 4
  • 4
  • 4
  • 4
  • 4
  • 3
  • 2
  • 2
  • 1
  • 1
  • 1
  • 1
  • 1
  • 1
  • 1
  • 1
  • 1
  • 1
  • 1
  • 1
  • 1
This TFAM antibody is un-conjugated

应用范围

  • 93
  • 55
  • 44
  • 29
  • 25
  • 22
  • 16
  • 14
  • 14
  • 13
  • 4
  • 3
  • 2
  • 2
  • 1
Western Blotting (WB), Immunohistochemistry (IHC), Immunofluorescence (IF), Chromatin Immunoprecipitation (ChIP)
  • 抗原表位

    • 15
    • 10
    • 9
    • 6
    • 4
    • 4
    • 4
    • 3
    • 2
    • 2
    • 1
    • 1
    • 1
    • 1
    • 1
    • 1
    • 1
    • 1
    • 1
    • 1
    • 1
    • 1
    AA 1-220

    序列

    MAFLRSMWGV LSALGRSGAE LCTGCGSRLR SPFSFVYLPR WFSSVLASCP KKPVSSYLRF SKEQLPIFKA QNPDAKTTEL IRRIAQRWRE LPDSKKKIYQ DAYRAEWQVY KEEISRFKEQ LTPSQIMSLE KEIMDKHLKR KAMTKKKELT LLGKPKRPRS AYNVYVAERF QEAKGDSPQE KLKTVKENWK NLSDSEKELY IQHAKEDETR YHNEMKSWEE

    交叉反应

    人, 小鼠, 大鼠

    产品特性

    Polyclonal Antibodies

    免疫原

    Recombinant fusion protein containing a sequence corresponding to amino acids 1-220 of human TFAM (NP_003192.1).

    亚型

    IgG
  • 应用备注

    WB,1:500 - 1:2000,IHC,1:50 - 1:200,IF,1:50 - 1:200,ChIP,1:50 - 1:200

    限制

    仅限研究用
  • 状态

    Liquid

    缓冲液

    PBS with 0.02 % sodium azide,50 % glycerol, pH 7.3.

    储存液

    Sodium azide

    注意事项

    This product contains Sodium azide: a POISONOUS AND HAZARDOUS SUBSTANCE which should be handled by trained staff only.

    储存条件

    -20 °C

    储存方法

    Store at -20°C. Avoid freeze / thaw cycles.
  • 抗原

    TFAM (Transcription Factor A, Mitochondrial (TFAM))

    别名

    TFAM

    背景

    This gene encodes a key mitochondrial transcription factor containing two high mobility group motifs. The encoded protein also functions in mitochondrial DNA replication and repair. Sequence polymorphisms in this gene are associated with Alzheimer's and Parkinson's diseases. There are pseudogenes for this gene on chromosomes 6, 7, and 11. Alternative splicing results in multiple transcript variants.,TFAM,MTDPS15,MTTF1,MTTFA,TCF6,TCF6L1,TCF6L2,TCF6L3,Epigenetics & Nuclear Signaling,Transcription Factors,RNA Binding,Cancer,Signal Transduction,Cell Biology & Developmental Biology,Cell Adhesion,Wnt/β-Catenin Signaling Pathway,Endocrine & Metabolism,Mitochondrial metabolism,Mitochondrial Biogenesis,Mitochondrial markers,Nucleotide metabolism,Molecular processes,Neuroscience,Neurodegenerative Diseases,Cardiovascular,Heart,Cardiogenesis,TFAM

    分子量

    25 kDa/29 kDa

    基因ID

    7019

    UniProt

    Q00059

    途径

    Chromatin Binding
You are here: