电话:
+86 (0512) 65829739
传真:
+86 (010) 6788 5057
电子邮件:
orders@antibodies-online.cn

SYCE1 抗体 (AA 132-351)

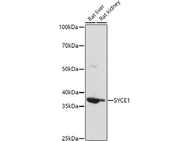
This 兔 多克隆 antibody specifically detects SYCE1 in WB. It exhibits reactivity toward 人.
产品编号 ABIN6148756
发货至: 中国
Contact our Customer Service for availability and price in your country. Contact Info

Our Local Distributor

中国
北京 101111
No. 88 KeChuang 6th Street
Beijing Economic Technological Development Area
Room 801-803
4A Biotech Co.,Ltd.
Tel +86 (0512) 65829739 传真 +86 (010) 6788 5057

Quick Overview for SYCE1 抗体 (AA 132-351) (ABIN6148756)

抗原

See all SYCE1 抗体
SYCE1 (Synaptonemal Complex Central Element Protein 1 (SYCE1))

适用

  • 7
  • 3
  • 2

宿主

  • 6
  • 1

克隆类型

  • 6
  • 1
多克隆

标记

  • 7
This SYCE1 antibody is un-conjugated

应用范围

  • 6
  • 5
  • 4
  • 2
  • 1
Western Blotting (WB)
  • 抗原表位

    • 2
    • 1
    • 1
    AA 132-351

    序列

    ECKERISALN LQIEEEKNKQ RQLRLAFEEQ LEDLMGQHKD LWDFHMPERL AKEICALDSS KEQLLKEEKL VKATLEDVKH QLCSLCGAEG PSTLDEGLFL RSQEAAATVQ LFQEEHRKAE ELLAAAAQRH QQLQQKCQQQ QQKRQRLKEE LEKHGMQVPA QAQSTQEEEA GPGDVASPKP LKGERPGAAH QAGPDVLIGQ EDTLHPDLSP RGFQEIKELF

    交叉反应

    人, 小鼠, 大鼠

    产品特性

    Polyclonal Antibodies

    免疫原

    Recombinant fusion protein containing a sequence corresponding to amino acids 132-351 of human SYCE1 (NP_001137236.1).

    亚型

    IgG
  • 应用备注

    WB,1:500 - 1:2000

    限制

    仅限研究用
  • 状态

    Liquid

    缓冲液

    PBS with 0.02 % sodium azide,50 % glycerol, pH 7.3.

    储存液

    Sodium azide

    注意事项

    This product contains Sodium azide: a POISONOUS AND HAZARDOUS SUBSTANCE which should be handled by trained staff only.

    储存条件

    -20 °C

    储存方法

    Store at -20°C. Avoid freeze / thaw cycles.
  • 抗原

    SYCE1 (Synaptonemal Complex Central Element Protein 1 (SYCE1))

    别名

    SYCE1

    背景

    This gene encodes a member of the synaptonemal complex, which links homologous chromosomes during prophase I of meiosis. The tripartite structure of the complex is highly conserved amongst metazoans. It consists of two lateral elements and a central region formed by transverse elements and a central element. The protein encoded by this gene localizes to the central element and is required for initiation and elongation of the synapsis. Allelic variants of this gene have been associated with premature ovarian failure and spermatogenic failure. Alternative splicing results in multiple transcript variants.,SYCE1,C10orf94,CT76,POF12,SPGF15,Epigenetics & Nuclear Signaling,Cell Biology & Developmental Biology,Apoptosis,Cell Cycle,SYCE1

    分子量

    21 kDa/32 kDa/39 kDa

    基因ID

    93426

    UniProt

    Q8N0S2

    途径

    M Phase
You are here: