电话:
+86 (0512) 65829739
传真:
+86 (010) 6788 5057
电子邮件:
orders@antibodies-online.cn

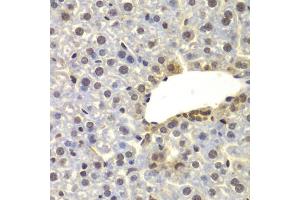
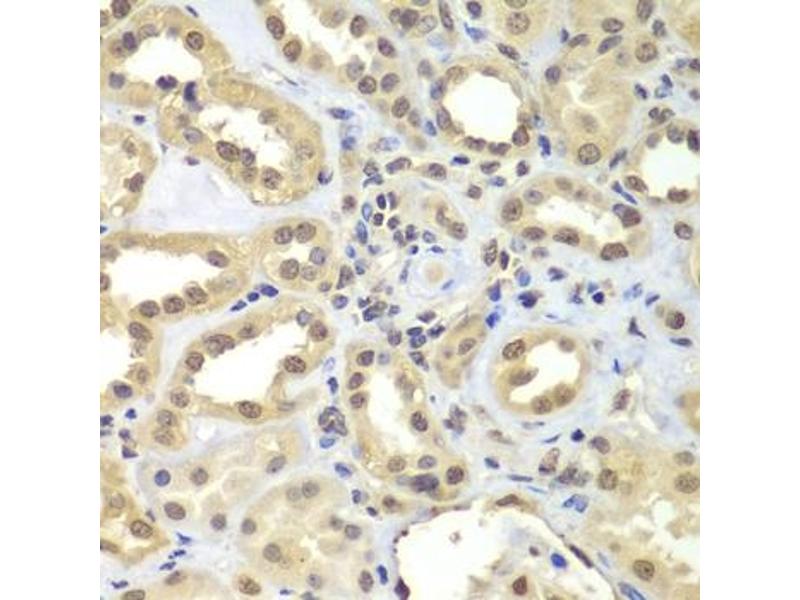
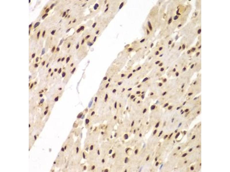
FAM48A/P38IP 抗体 (AA 580-779)

The 兔 多克隆 anti-FAM48A/P38IP antibody (ABIN6148735) specifically detects FAM48A/P38IP in WB 和 IHC. The antibody is reactive with 人 samples.
产品编号 ABIN6148735
发货至: 中国
Contact our Customer Service for availability and price in your country. Contact Info

Our Local Distributor

中国
北京 101111
No. 88 KeChuang 6th Street
Beijing Economic Technological Development Area
Room 801-803
4A Biotech Co.,Ltd.
Tel +86 (0512) 65829739 传真 +86 (010) 6788 5057

Quick Overview for FAM48A/P38IP 抗体 (AA 580-779) (ABIN6148735)

抗原

See all FAM48A/P38IP (SUPT20H) 抗体
FAM48A/P38IP (SUPT20H) (Suppressor of Ty 20 Homolog (SUPT20H))

适用

  • 23
  • 3
  • 3

宿主

  • 23

克隆类型

  • 23
多克隆

标记

  • 9
  • 1
  • 1
  • 1
  • 1
  • 1
  • 1
  • 1
  • 1
  • 1
  • 1
  • 1
  • 1
  • 1
  • 1
This FAM48A/P38IP antibody is un-conjugated

应用范围

  • 13
  • 13
  • 10
  • 8
  • 3
  • 3
  • 3
  • 2
  • 1
Western Blotting (WB), Immunohistochemistry (IHC)
  • 抗原表位

    • 15
    • 3
    • 2
    • 1
    • 1
    AA 580-779

    序列

    NLSGLLPSGG LLPNALPSAM QAASQAGVPF GLKNTSSLRP LNLLQLPGGS LIFNTLQQQQ QQLSQFTPQQ PQQPTTCSPQ QPGEQGSEQG STSQEQALSA QQAAVINLTG VGSFMQSQAA VLSQLGSAEN RPEQSLPQQR FQLSSAFQQQ QQQIQQLRFL QHQMAMAAAA AQTAQLHHHR HTGSQSKSKM KRGTPTTPKF

    交叉反应

    人, 小鼠, 大鼠

    产品特性

    Polyclonal Antibodies

    免疫原

    Recombinant fusion protein containing a sequence corresponding to amino acids 580-779 of human SUPT20H (NP_001014308.2).

    亚型

    IgG
  • 应用备注

    WB,1:500 - 1:2000,IHC,1:50 - 1:200

    说明

    HIGH QUALITY

    限制

    仅限研究用
  • 状态

    Liquid

    缓冲液

    PBS with 0.02 % sodium azide,50 % glycerol, pH 7.3.

    储存液

    Sodium azide

    注意事项

    This product contains Sodium azide: a POISONOUS AND HAZARDOUS SUBSTANCE which should be handled by trained staff only.

    储存条件

    -20 °C

    储存方法

    Store at -20°C. Avoid freeze / thaw cycles.
  • 抗原

    FAM48A/P38IP (SUPT20H) (Suppressor of Ty 20 Homolog (SUPT20H))

    别名

    SUPT20H

    背景

    Required for MAP kinase p38 (MAPK11, MAPK12, MAPK13 and/or MAPK14 activation during gastrulation. Required for down-regulation of E-cadherin during gastrulation by regulating E-cadherin protein level downstream from NCK-interacting kinase (NIK and independently of the regulation of transcription by FGF signaling and Snail (By similarity. Required for starvation-induced ATG9A trafficking during autophagy.,SUPT20H,C13,C13orf19,FAM48A,FP757,P38IP,SPT20,Cancer,Invasion and Metastasis,Signal Transduction,Kinase,Serine/threonine kinases,Cell Biology & Developmental Biology,Cell Adhesion,Cadherins,Cytoskeleton,SUPT20H

    分子量

    80 kDa/85 kDa/88 kDa

    基因ID

    55578

    UniProt

    Q8NEM7
You are here: