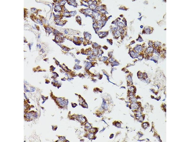
SUCLG2 抗体 (AA 50-300)
Our Local Distributor
北京 101111
Quick Overview for SUCLG2 抗体 (AA 50-300) (ABIN6148690)
抗原
See all SUCLG2 抗体适用
宿主
克隆类型
标记
应用范围
-
-
抗原表位
- AA 50-300
-
序列
- SDNGVRVQRF FVADTANEAL EAAKRLNAKE IVLKAQILAG GRGKGVFNSG LKGGVHLTKD PNVVGQLAKQ MIGYNLATKQ TPKEGVKVNK VMVAEALDIS RETYLAILMD RSCNGPVLVG SPQGGVDIEE VAASNPELIF KEQIDIFEGI KDSQAQRMAE NLGFVGPLKS QAADQITKLY NLFLKIDATQ VEVNPFGETP EGQVVCFDAK INFDDNAEFR QKDIFAMDDK SENEPIENEA AKYDLKYIGL D
-
交叉反应
- 人, 小鼠, 大鼠
-
产品特性
- Polyclonal Antibodies
-
免疫原
- Recombinant fusion protein containing a sequence corresponding to amino acids 50-300 of human SUCLG2 (NP_003839.2).
-
亚型
- IgG
-
-
-
-
应用备注
- WB,1:500 - 1:2000,IHC,1:50 - 1:200,IF,1:50 - 1:100
-
说明
-
HIGH QUALITY
-
限制
- 仅限研究用
-
-
-
状态
- Liquid
-
缓冲液
- PBS with 0.02 % sodium azide,50 % glycerol, pH 7.3.
-
储存液
- Sodium azide
-
注意事项
- This product contains Sodium azide: a POISONOUS AND HAZARDOUS SUBSTANCE which should be handled by trained staff only.
-
储存条件
- -20 °C
-
储存方法
- Store at -20°C. Avoid freeze / thaw cycles.
-
-
- SUCLG2 (Succinate-CoA Ligase, GDP-Forming, beta Subunit (SUCLG2))
-
别名
- SUCLG2
-
背景
- This gene encodes a GTP-specific beta subunit of succinyl-CoA synthetase. Succinyl-CoA synthetase catalyzes the reversible reaction involving the formation of succinyl-CoA and succinate. Alternate splicing results in multiple transcript variants. Pseudogenes of this gene are found on chromosomes 5 and 12.,SUCLG2,G-SCS,GBETA,GTPSCS,Signal Transduction,Endocrine & Metabolism,Mitochondrial metabolism,Mitochondrial markers,SUCLG2
-
分子量
- 46 kDa/47 kDa
-
基因ID
- 8801
-
UniProt
- Q96I99
抗原
-