电话:
+86 (0512) 65829739
传真:
+86 (010) 6788 5057
电子邮件:
orders@antibodies-online.cn

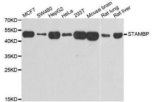
STAMBP 抗体 (AA 100-270)

The 兔 多克隆 anti-STAMBP antibody (ABIN6148552) specifically detects STAMBP in WB, IHC, IP 和 IF. The antibody is reactive with 人 samples.
产品编号 ABIN6148552
发货至: 中国
Contact our Customer Service for availability and price in your country. Contact Info

Our Local Distributor

中国
北京 101111
No. 88 KeChuang 6th Street
Beijing Economic Technological Development Area
Room 801-803
4A Biotech Co.,Ltd.
Tel +86 (0512) 65829739 传真 +86 (010) 6788 5057

Quick Overview for STAMBP 抗体 (AA 100-270) (ABIN6148552)

抗原

See all STAMBP 抗体
STAMBP (STAM Binding Protein (STAMBP))

适用

  • 45
  • 34
  • 24
  • 6
  • 5
  • 4
  • 4
  • 4
  • 4
  • 4
  • 3
  • 2
  • 1
  • 1

宿主

  • 56
  • 5

克隆类型

  • 56
  • 5
多克隆

标记

  • 30
  • 4
  • 4
  • 4
  • 1
  • 1
  • 1
  • 1
  • 1
  • 1
  • 1
  • 1
  • 1
  • 1
  • 1
  • 1
  • 1
  • 1
  • 1
  • 1
  • 1
  • 1
  • 1
This STAMBP antibody is un-conjugated

应用范围

  • 35
  • 20
  • 16
  • 13
  • 13
  • 7
  • 5
  • 5
  • 3
  • 3
  • 1
  • 1
Western Blotting (WB), Immunohistochemistry (IHC), Immunoprecipitation (IP), Immunofluorescence (IF)
  • 抗原表位

    • 15
    • 8
    • 8
    • 6
    • 3
    • 2
    • 2
    • 1
    • 1
    • 1
    • 1
    AA 100-270

    序列

    FPKAEELKAE LLKRYTKEYT EYNEEKKKEA EELARNMAIQ QELEKEKQRV AQQKQQQLEQ EQFHAFEEMI RNQELEKERL KIVQEFGKVD PGLGGPLVPD LEKPSLDVFP TLTVSSIQPS DCHTTVRPAK PPVVDRSLKP GALSNSESIP TIDGLRHVVV PGRLCPQFLQ L

    交叉反应

    人, 小鼠, 大鼠

    产品特性

    Polyclonal Antibodies

    免疫原

    Recombinant fusion protein containing a sequence corresponding to amino acids 100-270 of human STAMBP (NP_998787.1).

    亚型

    IgG
  • 应用备注

    WB,1:500 - 1:2000,IHC,1:50 - 1:200,IF,1:50 - 1:100,IP,1:20 - 1:50

    说明

    HIGH QUALITY

    限制

    仅限研究用
  • 状态

    Liquid

    缓冲液

    PBS with 0.02 % sodium azide,50 % glycerol, pH 7.3.

    储存液

    Sodium azide

    注意事项

    This product contains Sodium azide: a POISONOUS AND HAZARDOUS SUBSTANCE which should be handled by trained staff only.

    储存条件

    -20 °C

    储存方法

    Store at -20°C. Avoid freeze / thaw cycles.
  • 抗原

    STAMBP (STAM Binding Protein (STAMBP))

    别名

    STAMBP

    背景

    Cytokine-mediated signal transduction in the JAK-STAT cascade requires the involvement of adaptor molecules. One such signal-transducing adaptor molecule contains an SH3 domain that is required for induction of MYC and cell growth. The protein encoded by this gene binds to the SH3 domain of the signal-transducing adaptor molecule, and plays a critical role in cytokine-mediated signaling for MYC induction and cell cycle progression. Multiple alternatively spliced transcript variants encoding the same protein isoform have been found for this gene.,STAMBP,AMSH,MICCAP,Epigenetics & Nuclear Signaling,Cell Biology & Developmental Biology,Apoptosis,Cell Cycle,Ubiquitin,Immunology & Inflammation,Cytokines,STAMBP

    分子量

    39 kDa/48 kDa

    基因ID

    10617

    UniProt

    O95630
You are here: