电话:
+86 (0512) 65829739
传真:
+86 (010) 6788 5057
电子邮件:
orders@antibodies-online.cn

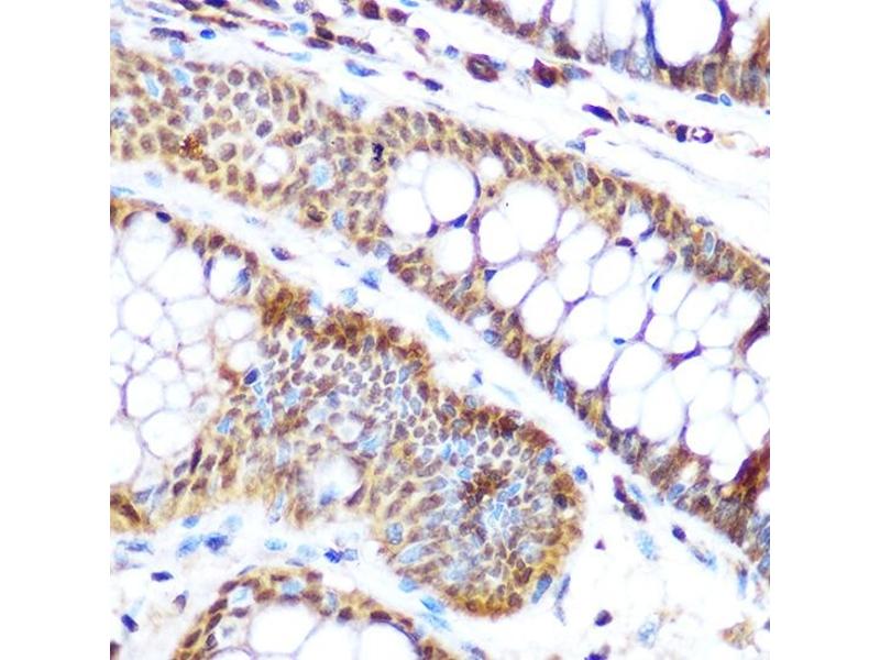
Sp3 抗体 (AA 240-350)

This 兔 多克隆 antibody specifically detects Sp3 in WB 和 IHC. It exhibits reactivity toward 人.
产品编号 ABIN6148314
发货至: 中国
Contact our Customer Service for availability and price in your country. Contact Info

Our Local Distributor

中国
北京 101111
No. 88 KeChuang 6th Street
Beijing Economic Technological Development Area
Room 801-803
4A Biotech Co.,Ltd.
Tel +86 (0512) 65829739 传真 +86 (010) 6788 5057

Quick Overview for Sp3 抗体 (AA 240-350) (ABIN6148314)

抗原

See all Sp3 抗体
Sp3 (Sp3 Transcription Factor (Sp3))

适用

  • 48
  • 11
  • 7
  • 4
  • 4
  • 4
  • 3
  • 3
  • 2
  • 2
  • 1

宿主

  • 43
  • 5

克隆类型

  • 44
  • 4
多克隆

标记

  • 26
  • 3
  • 3
  • 3
  • 1
  • 1
  • 1
  • 1
  • 1
  • 1
  • 1
  • 1
  • 1
  • 1
  • 1
  • 1
  • 1
This Sp3 antibody is un-conjugated

应用范围

  • 42
  • 23
  • 13
  • 13
  • 9
  • 7
  • 5
  • 3
  • 3
  • 1
Western Blotting (WB), Immunohistochemistry (IHC)
  • 抗原表位

    • 15
    • 7
    • 4
    • 3
    • 2
    • 2
    • 2
    • 2
    • 2
    • 1
    • 1
    • 1
    • 1
    • 1
    • 1
    • 1
    AA 240-350

    序列

    AIGGSSFPGQ TQVVANVPLG LPGNITFVPI NSVDLDSLGL SGSSQTMTAG INADGHLINT GQAMDSSDNS ERTGERVSPD INETNTDTDL FVPTSSSSQL PVTIDSTGIL Q

    交叉反应

    人, 小鼠, 大鼠

    产品特性

    Polyclonal Antibodies

    免疫原

    Recombinant fusion protein containing a sequence corresponding to amino acids 240-350 of human SP3 (NP_003102.1).

    亚型

    IgG
  • 应用备注

    WB,1:500 - 1:2000,IHC,1:50 - 1:200

    限制

    仅限研究用
  • 状态

    Liquid

    缓冲液

    PBS with 0.02 % sodium azide,50 % glycerol, pH 7.3.

    储存液

    Sodium azide

    注意事项

    This product contains Sodium azide: a POISONOUS AND HAZARDOUS SUBSTANCE which should be handled by trained staff only.

    储存条件

    -20 °C

    储存方法

    Store at -20°C. Avoid freeze / thaw cycles.
  • 抗原

    Sp3 (Sp3 Transcription Factor (Sp3))

    别名

    SP3

    背景

    This gene belongs to a family of Sp1 related genes that encode transcription factors that regulate transcription by binding to consensus GC- and GT-box regulatory elements in target genes. This protein contains a zinc finger DNA-binding domain and several transactivation domains, and has been reported to function as a bifunctional transcription factor that either stimulates or represses the transcription of numerous genes. Transcript variants encoding different isoforms have been described for this gene, and one has been reported to initiate translation from a non-AUG (AUA) start codon. Additional isoforms, resulting from the use of alternate downstream translation initiation sites, have also been noted. A related pseudogene has been identified on chromosome 13.,SP3,SPR2,Epigenetics & Nuclear Signaling,Transcription Factors,SP3

    分子量

    52 kDa/53 kDa/75 kDa/76 kDa/80 kDa/81 kDa

    基因ID

    6670

    UniProt

    Q02447
You are here: