电话:
+86 (0512) 65829739
传真:
+86 (010) 6788 5057
电子邮件:
orders@antibodies-online.cn

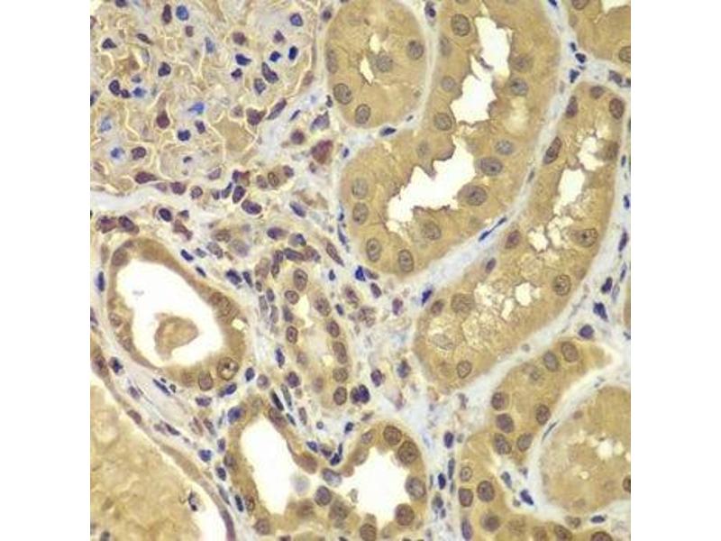
Sortilin 1 抗体 (AA 520-760)

This 兔 多克隆 antibody specifically detects Sortilin 1 in WB. It exhibits reactivity toward 人.
产品编号 ABIN6148281
发货至: 中国
Contact our Customer Service for availability and price in your country. Contact Info

Our Local Distributor

中国
北京 101111
No. 88 KeChuang 6th Street
Beijing Economic Technological Development Area
Room 801-803
4A Biotech Co.,Ltd.
Tel +86 (0512) 65829739 传真 +86 (010) 6788 5057

Quick Overview for Sortilin 1 抗体 (AA 520-760) (ABIN6148281)

抗原

See all Sortilin 1 (SORT1) 抗体
Sortilin 1 (SORT1)

适用

  • 73
  • 54
  • 49
  • 1
  • 1
  • 1
  • 1
  • 1

宿主

  • 69
  • 5
  • 5
  • 1

克隆类型

  • 49
  • 31
多克隆

标记

  • 28
  • 7
  • 5
  • 3
  • 3
  • 3
  • 3
  • 3
  • 3
  • 3
  • 2
  • 2
  • 2
  • 1
  • 1
  • 1
  • 1
  • 1
  • 1
  • 1
  • 1
  • 1
  • 1
  • 1
  • 1
  • 1
This Sortilin 1 antibody is un-conjugated

应用范围

  • 57
  • 32
  • 20
  • 16
  • 13
  • 13
  • 4
  • 4
  • 4
  • 3
  • 2
  • 1
Western Blotting (WB)
  • 抗原表位

    • 16
    • 5
    • 5
    • 5
    • 3
    • 2
    • 2
    • 2
    • 2
    • 2
    • 1
    AA 520-760

    序列

    EGPHYYTILD SGGIIVAIEH SSRPINVIKF STDEGQCWQT YTFTRDPIYF TGLASEPGAR SMNISIWGFT ESFLTSQWVS YTIDFKDILE RNCEEKDYTI WLAHSTDPED YEDGCILGYK EQFLRLRKSS VCQNGRDYVV TKQPSICLCS LEDFLCDFGY YRPENDSKCV EQPELKGHDL EFCLYGREEH LTTNGYRKIP GDKCQGGVNP VREVKDLKKK CTSNFLSPEK QNSKSNSVPI I

    交叉反应

    人, 小鼠, 大鼠

    产品特性

    Polyclonal Antibodies

    免疫原

    Recombinant fusion protein containing a sequence corresponding to amino acids 520-760 of human SORT1 (NP_002950.3).

    亚型

    IgG
  • 应用备注

    WB,1:500 - 1:2000

    说明

    HIGH QUALITY

    限制

    仅限研究用
  • 状态

    Liquid

    缓冲液

    PBS with 0.02 % sodium azide,50 % glycerol, pH 7.3.

    储存液

    Sodium azide

    注意事项

    This product contains Sodium azide: a POISONOUS AND HAZARDOUS SUBSTANCE which should be handled by trained staff only.

    储存条件

    -20 °C

    储存方法

    Store at -20°C. Avoid freeze / thaw cycles.
  • 抗原

    Sortilin 1 (SORT1)

    别名

    SORT1

    背景

    This gene encodes a member of the VPS10-related sortilin family of proteins. The encoded preproprotein is proteolytically processed by furin to generate the mature receptor. This receptor plays a role in the trafficking of different proteins to either the cell surface, or subcellular compartments such as lysosomes and endosomes. Expression levels of this gene may influence the risk of myocardial infarction in human patients. Alternative splicing results in multiple transcript variants.,SORT1,Gp95,LDLCQ6,NT3,NTR3,sortilin,Cancer,Signal Transduction,G protein signaling,G-Protein-Coupled Receptors(GPCR),Cell Biology & Developmental Biology,Apoptosis,Endocrine & Metabolism,Lipid Metabolism,Neuroscience,Neurodegenerative Diseases,Amyloid Plaque and Neurofibrillary Tangle Formation in Alzheimer's Disease,Cardiovascular,Heart,Lipids,Lipoproteins/Apolipoproteins,Cardiovascular diseases,Heart disease,SORT1

    分子量

    77 kDa/92 kDa

    基因ID

    6272

    UniProt

    Q99523

    途径

    Neurotrophin Signaling Pathway
You are here: