电话:
+86 (0512) 65829739
传真:
+86 (010) 6788 5057
电子邮件:
orders@antibodies-online.cn

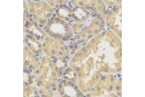
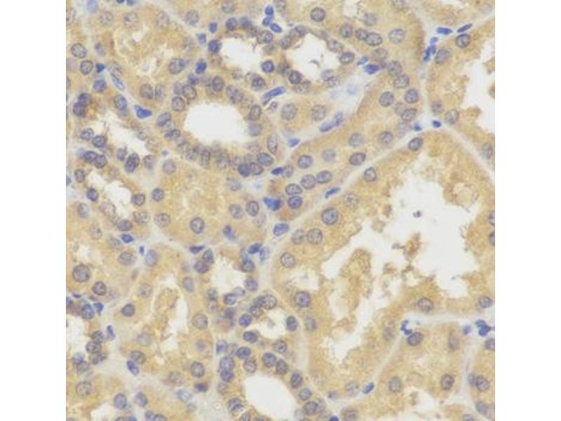
SMYD5 抗体

This 兔 多克隆 antibody specifically detects SMYD5 in WB, IHC 和 IF. It exhibits reactivity toward 人.
产品编号 ABIN6148173
发货至: 中国
Contact our Customer Service for availability and price in your country. Contact Info

Our Local Distributor

中国
北京 101111
No. 88 KeChuang 6th Street
Beijing Economic Technological Development Area
Room 801-803
4A Biotech Co.,Ltd.
Tel +86 (0512) 65829739 传真 +86 (010) 6788 5057

Quick Overview for SMYD5 抗体 (ABIN6148173)

抗原

See all SMYD5 抗体
SMYD5 (SMYD Family Member 5 (SMYD5))

适用

  • 40
  • 25
  • 20
  • 3
  • 3
  • 2
  • 2
  • 2
  • 2
  • 1
  • 1
  • 1
  • 1
  • 1
  • 1

宿主

  • 54
  • 1

克隆类型

  • 54
  • 1
多克隆

标记

  • 17
  • 5
  • 3
  • 3
  • 2
  • 2
  • 2
  • 2
  • 2
  • 2
  • 2
  • 2
  • 1
  • 1
  • 1
  • 1
  • 1
  • 1
  • 1
  • 1
  • 1
  • 1
  • 1
This SMYD5 antibody is un-conjugated

应用范围

  • 26
  • 18
  • 13
  • 13
  • 7
  • 6
  • 3
  • 1
  • 1
  • 1
Western Blotting (WB), Immunohistochemistry (IHC), Immunofluorescence (IF)
  • 交叉反应

    人, 小鼠

    产品特性

    Polyclonal Antibodies

    免疫原

    Recombinant protein of human SMYD5

    亚型

    IgG
  • 应用备注

    WB,1:500 - 1:2000,IHC,1:50 - 1:100,IF,1:50 - 1:100

    限制

    仅限研究用
  • 状态

    Liquid

    缓冲液

    PBS with 0.02 % sodium azide,50 % glycerol, pH 7.3.

    储存液

    Sodium azide

    注意事项

    This product contains Sodium azide: a POISONOUS AND HAZARDOUS SUBSTANCE which should be handled by trained staff only.

    储存条件

    -20 °C

    储存方法

    Store at -20°C. Avoid freeze / thaw cycles.
  • 抗原

    SMYD5 (SMYD Family Member 5 (SMYD5))

    别名

    SMYD5

    背景

    Histone methyltransferase that specifically trimethylates 'Lys-20' of histone H4 to form trimethylated histone H4 lysine 20 (H4K20me3 which represents a specific tag for epigenetic transcriptional repression (By similarity. In association with the NCoR corepressor complex, is involved in the repression of toll-like receptor 4 (TLR4-target inflammatory genes in macrophages by catalyzing the formation of H4K20me3 at the gene promoters (By similarity. Plays an important role in embryonic stem (ES cell self-renewal and differentiation (By similarity. Promotes ES cell maintenance by silencing differentiation genes through deposition of H4K20me3 marks (By similarity. Maintains genome stability of ES cells during differentiation through regulation of heterochromatin formation and repression of endogenous repetitive DNA elements by depositing H4K20me3 marks.,SMYD5,NN8-4AG,RAI15,RRG1,ZMYND23,Epigenetics & Nuclear Signaling,Cell Biology & Developmental Biology,SMYD5

    分子量

    47 kDa

    基因ID

    10322

    UniProt

    Q6GMV2
You are here: