电话:
+86 (0512) 65829739
传真:
+86 (010) 6788 5057
电子邮件:
orders@antibodies-online.cn

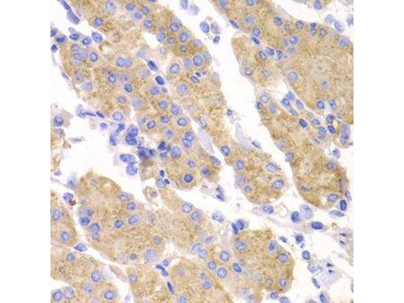
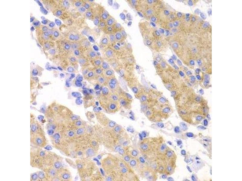
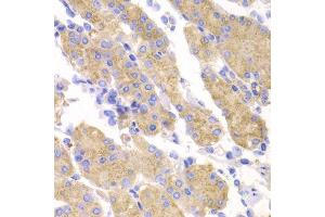
SMYD4 抗体 (AA 1-260)

The 兔 多克隆 anti-SMYD4 antibody (ABIN6148171) specifically detects SMYD4 in WB, IHC 和 IF. The antibody is reactive with 人 samples.
产品编号 ABIN6148171
发货至: 中国
Contact our Customer Service for availability and price in your country. Contact Info

Our Local Distributor

中国
北京 101111
No. 88 KeChuang 6th Street
Beijing Economic Technological Development Area
Room 801-803
4A Biotech Co.,Ltd.
Tel +86 (0512) 65829739 传真 +86 (010) 6788 5057

Quick Overview for SMYD4 抗体 (AA 1-260) (ABIN6148171)

抗原

SMYD4 (SET and MYND Domain Containing 4 (SMYD4))

适用

  • 44
  • 7
  • 4
  • 3
  • 2
  • 2
  • 1
  • 1
  • 1

宿主

  • 40
  • 4

克隆类型

  • 40
  • 4
多克隆

标记

  • 19
  • 2
  • 2
  • 2
  • 1
  • 1
  • 1
  • 1
  • 1
  • 1
  • 1
  • 1
  • 1
  • 1
  • 1
  • 1
  • 1
  • 1
  • 1
  • 1
  • 1
  • 1
  • 1
This SMYD4 antibody is un-conjugated

应用范围

  • 38
  • 14
  • 13
  • 13
  • 12
  • 10
  • 5
  • 3
  • 3
  • 3
  • 1
  • 1
Western Blotting (WB), Immunohistochemistry (IHC), Immunofluorescence (IF)
  • 抗原表位

    • 15
    • 8
    • 3
    • 3
    • 2
    • 2
    • 1
    AA 1-260

    序列

    MDLPVDEWKS YLLQKWASLP TSVQVTISTA ETLRDIFLHS SSLLQPEDEL FLKRLSKGYL VGKDSDAPLF YREEGNKKFQ EKDYTGAAVL YSKGVSHSRP NTEDMSLCHA NRSAALFHLG QYETCLKDIN RAQTHGYPER LQPKIMLRKA ECLVALGRLQ EASQTISDLE RNFTATPALA DVLPQTLQRN LHRLKMKMQE KDSLTESFPA ALAKTLEDAA LREENEQLSN ASSSIGLCVD PLKGRCLVAT KDILPGELLV

    交叉反应

    人, 小鼠, 大鼠

    产品特性

    Polyclonal Antibodies

    免疫原

    Recombinant fusion protein containing a sequence corresponding to amino acids 1-260 of human SMYD4 (NP_443160.2).

    亚型

    IgG
  • 应用备注

    WB,1:500 - 1:2000,IHC,1:50 - 1:200,IF,1:50 - 1:100

    说明

    HIGH QUALITY

    限制

    仅限研究用
  • 状态

    Liquid

    缓冲液

    PBS with 0.02 % sodium azide,50 % glycerol, pH 7.3.

    储存液

    Sodium azide

    注意事项

    This product contains Sodium azide: a POISONOUS AND HAZARDOUS SUBSTANCE which should be handled by trained staff only.

    储存条件

    -20 °C

    储存方法

    Store at -20°C. Avoid freeze / thaw cycles.
  • 抗原

    SMYD4 (SET and MYND Domain Containing 4 (SMYD4))

    别名

    SMYD4

    背景

    Plays a critical role in cardiac development. Acts as a key epigenetic regulator of gene expression during cardiac development via its dual activities as a methyltransferase and negative regulator of HDAC1 (By similarity.,SMYD4,ZMYND21,Epigenetics & Nuclear Signaling,Cancer,Tumor suppressors,SMYD4

    分子量

    89 kDa

    基因ID

    114826

    UniProt

    Q8IYR2
You are here: