电话:
+86 (0512) 65829739
传真:
+86 (010) 6788 5057
电子邮件:
orders@antibodies-online.cn

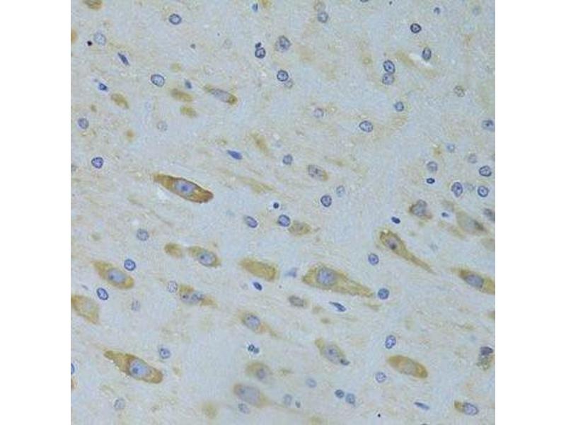
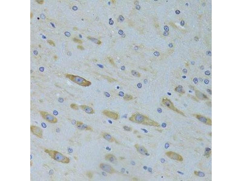
Seryl-tRNA Synthetase (SARS) (AA 1-300) 抗体

The 兔 多克隆 anti-Seryl-tRNA Synthetase antibody (ABIN6147384) specifically detects Seryl-tRNA Synthetase in WB, IHC 和 IF. The antibody is reactive with 人 samples.
产品编号 ABIN6147384
发货至: 中国
Contact our Customer Service for availability and price in your country. Contact Info

Our Local Distributor

中国
北京 101111
No. 88 KeChuang 6th Street
Beijing Economic Technological Development Area
Room 801-803
4A Biotech Co.,Ltd.
Tel +86 (0512) 65829739 传真 +86 (010) 6788 5057

Quick Overview for Seryl-tRNA Synthetase (SARS) (AA 1-300) 抗体 (ABIN6147384)

抗原

See all Seryl-tRNA Synthetase (SARS) 抗体
Seryl-tRNA Synthetase (SARS)

适用

  • 28
  • 15
  • 15
  • 4
  • 3
  • 2
  • 2
  • 2
  • 2
  • 1

宿主

  • 27
  • 2

克隆类型

  • 28
  • 1
多克隆

标记

  • 18
  • 2
  • 2
  • 1
  • 1
  • 1
  • 1
  • 1
  • 1
  • 1
非结合性

应用范围

  • 19
  • 10
  • 8
  • 4
  • 3
  • 1
  • 1
  • 1
  • 1
Western Blotting (WB), Immunohistochemistry (IHC), Immunofluorescence (IF)
  • 抗原表位

    • 5
    • 4
    • 3
    • 2
    • 1
    • 1
    • 1
    • 1
    AA 1-300

    序列

    MVLDLDLFRV DKGGDPALIR ETQEKRFKDP GLVDQLVKAD SEWRRCRFRA DNLNKLKNLC SKTIGEKMKK KEPVGDDESV PENVLSFDDL TADALANLKV SQIKKVRLLI DEAILKCDAE RIKLEAERFE NLREIGNLLH PSVPISNDED VDNKVERIWG DCTVRKKYSH VDLVVMVDGF EGEKGAVVAG SRGYFLKGVL VFLEQALIQY ALRTLGSRGY IPIYTPFFMR KEVMQEVAQL SQFDEELYKV IGKGSEKSDD NSYDEKYLIA TSEQPIAALH RDEWLRPEDL PIKYAGLSTC

    交叉反应

    人, 小鼠, 大鼠

    产品特性

    Polyclonal Antibodies

    免疫原

    Recombinant fusion protein containing a sequence corresponding to amino acids 1-300 of human SARS (NP_006504.2).

    亚型

    IgG
  • 应用备注

    WB,1:500 - 1:2000,IHC,1:50 - 1:200,IF,1:50 - 1:200

    说明

    HIGH QUALITY

    限制

    仅限研究用
  • 状态

    Liquid

    缓冲液

    PBS with 0.02 % sodium azide,50 % glycerol, pH 7.3.

    储存液

    Sodium azide

    注意事项

    This product contains Sodium azide: a POISONOUS AND HAZARDOUS SUBSTANCE which should be handled by trained staff only.

    储存条件

    -20 °C

    储存方法

    Store at -20°C. Avoid freeze / thaw cycles.
  • 抗原

    Seryl-tRNA Synthetase (SARS)

    别名

    SARS

    背景

    This gene belongs to the class II amino-acyl tRNA family. The encoded enzyme catalyzes the transfer of L-serine to tRNA (Ser) and is related to bacterial and yeast counterparts. Multiple alternatively spliced transcript variants have been described but the biological validity of all variants is unknown.,SARS,SERRS,SERS,Epigenetics & Nuclear Signaling,SARS

    分子量

    58 kDa

    基因ID

    6301

    UniProt

    P49591
You are here: