电话:
+86 (0512) 65829739
传真:
+86 (010) 6788 5057
电子邮件:
orders@antibodies-online.cn

RPS3A 抗体 (AA 1-264)

The 兔 多克隆 anti-RPS3A antibody (ABIN6147221) specifically detects RPS3A in WB, IHC, IF 和 IP. The antibody is reactive with 人 samples.
产品编号 ABIN6147221
发货至: 中国
Contact our Customer Service for availability and price in your country. Contact Info

Our Local Distributor

中国
北京 101111
No. 88 KeChuang 6th Street
Beijing Economic Technological Development Area
Room 801-803
4A Biotech Co.,Ltd.
Tel +86 (0512) 65829739 传真 +86 (010) 6788 5057

Quick Overview for RPS3A 抗体 (AA 1-264) (ABIN6147221)

抗原

See all RPS3A 抗体
RPS3A (Ribosomal Protein S3A (RPS3A))

适用

  • 36
  • 19
  • 16
  • 3
  • 2
  • 2
  • 2
  • 2
  • 2
  • 1
  • 1
  • 1
  • 1
  • 1
  • 1
  • 1

宿主

  • 35
  • 1

克隆类型

  • 36
多克隆

标记

  • 24
  • 2
  • 1
  • 1
  • 1
  • 1
  • 1
  • 1
  • 1
  • 1
  • 1
  • 1
This RPS3A antibody is un-conjugated

应用范围

  • 28
  • 18
  • 14
  • 11
  • 9
  • 6
  • 5
  • 5
  • 3
  • 1
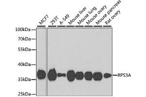
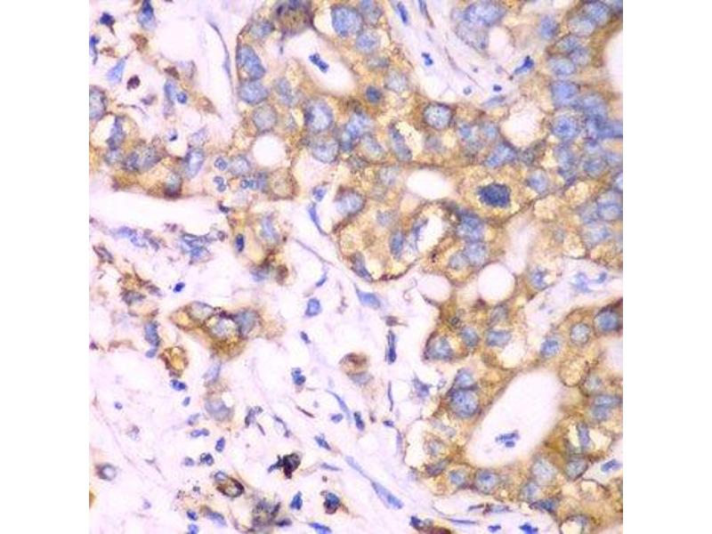
Western Blotting (WB), Immunohistochemistry (IHC), Immunofluorescence (IF), Immunoprecipitation (IP)
  • 抗原表位

    • 8
    • 3
    • 2
    • 2
    • 1
    • 1
    • 1
    • 1
    • 1
    • 1
    • 1
    • 1
    AA 1-264

    序列

    MAVGKNKRLT KGGKKGAKKK VVDPFSKKDW YDVKAPAMFN IRNIGKTLVT RTQGTKIASD GLKGRVFEVS LADLQNDEVA FRKFKLITED VQGKNCLTNF HGMDLTRDKM CSMVKKWQTM IEAHVDVKTT DGYLLRLFCV GFTKKRNNQI RKTSYAQHQQ VRQIRKKMME IMTREVQTND LKEVVNKLIP DSIGKDIEKA CQSIYPLHDV FVRKVKMLKK PKFELGKLME LHGEGSSSGK ATGDETGAKV ERADGYEPPV QESV

    交叉反应

    人, 小鼠, 大鼠

    产品特性

    Polyclonal Antibodies

    免疫原

    Recombinant fusion protein containing a sequence corresponding to amino acids 1-264 of human RPS3A (NP_000997.1).

    亚型

    IgG
  • 应用备注

    WB,1:500 - 1:2000,IHC,1:50 - 1:200,IF,1:50 - 1:200,IP,1:50 - 1:100

    说明

    HIGH QUALITY

    限制

    仅限研究用
  • 状态

    Liquid

    缓冲液

    PBS with 0.02 % sodium azide,50 % glycerol, pH 7.3.

    储存液

    Sodium azide

    注意事项

    This product contains Sodium azide: a POISONOUS AND HAZARDOUS SUBSTANCE which should be handled by trained staff only.

    储存条件

    -20 °C

    储存方法

    Store at -20°C. Avoid freeze / thaw cycles.
  • 抗原

    RPS3A (Ribosomal Protein S3A (RPS3A))

    别名

    RPS3A

    背景

    Ribosomes, the organelles that catalyze protein synthesis, consist of a small 40S subunit and a large 60S subunit. Together these subunits are composed of 4 RNA species and approximately 80 structurally distinct proteins. This gene encodes a ribosomal protein that is a component of the 40S subunit. The protein belongs to the S3AE family of ribosomal proteins. It is located in the cytoplasm. Disruption of the gene encoding rat ribosomal protein S3a, also named v-fos transformation effector protein, in v-fos-transformed rat cells results in reversion of the transformed phenotype. This gene is co-transcribed with the U73A and U73B small nucleolar RNA genes, which are located in its fourth and third introns, respectively. As is typical for genes encoding ribosomal proteins, there are multiple processed pseudogenes of this gene dispersed through the genome. Alternatively spliced transcript variants have been found for this gene.,RPS3A,FTE1,MFTL,S3A,Epigenetics & Nuclear Signaling,RNA Binding,RPS3A

    分子量

    29 kDa

    基因ID

    6189

    UniProt

    P61247
You are here: