电话:
+86 (0512) 65829739
传真:
+86 (010) 6788 5057
电子邮件:
orders@antibodies-online.cn

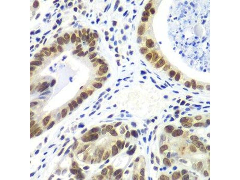
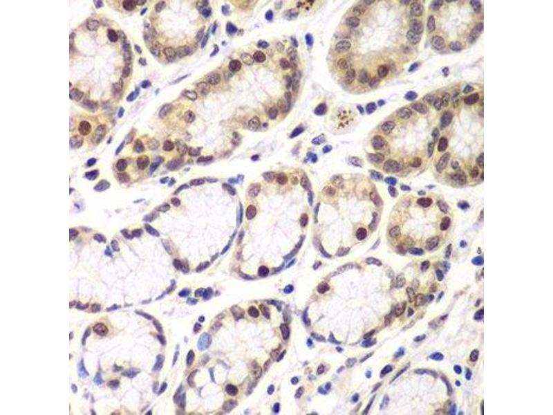
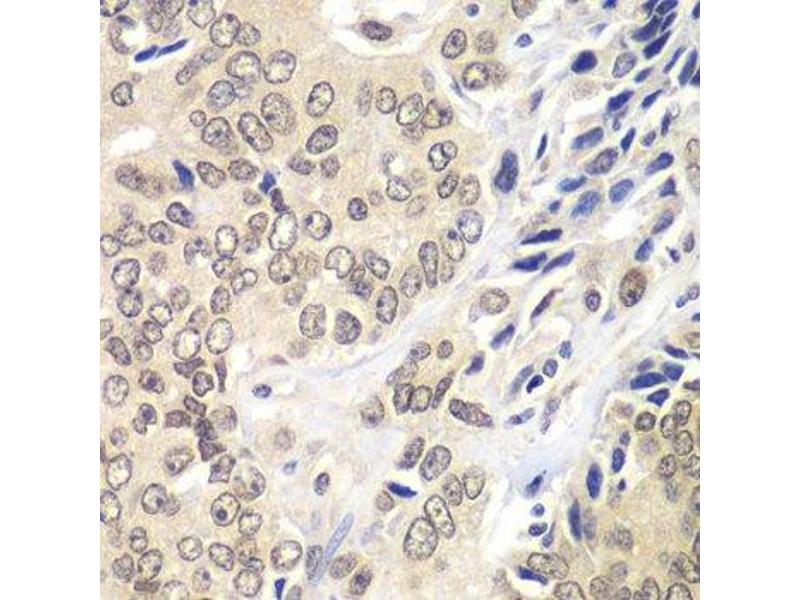
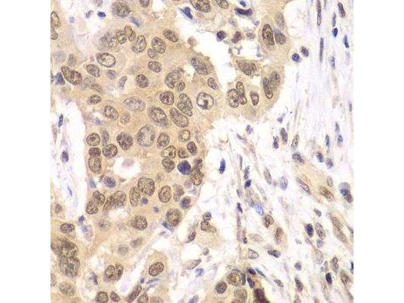
RNF2 抗体 (AA 1-336)

The 兔 多克隆 anti-RNF2 antibody (ABIN6147029) specifically detects RNF2 in WB, IF, IHC, IP 和 ChIP. The antibody is reactive with 人 samples.
产品编号 ABIN6147029
发货至: 中国
Contact our Customer Service for availability and price in your country. Contact Info

Our Local Distributor

中国
北京 101111
No. 88 KeChuang 6th Street
Beijing Economic Technological Development Area
Room 801-803
4A Biotech Co.,Ltd.
Tel +86 (0512) 65829739 传真 +86 (010) 6788 5057

Quick Overview for RNF2 抗体 (AA 1-336) (ABIN6147029)

抗原

See all RNF2 抗体
RNF2 (Ring Finger Protein 2 (RNF2))

适用

  • 50
  • 33
  • 25
  • 6
  • 6
  • 5
  • 5
  • 4
  • 4
  • 4
  • 4
  • 4
  • 3
  • 3
  • 2
  • 1

宿主

  • 40
  • 7
  • 3
  • 1

克隆类型

  • 29
  • 22
多克隆

标记

  • 39
  • 2
  • 1
  • 1
  • 1
  • 1
  • 1
  • 1
  • 1
  • 1
  • 1
  • 1
This RNF2 antibody is un-conjugated

应用范围

  • 47
  • 20
  • 19
  • 17
  • 12
  • 11
  • 9
  • 3
  • 3
  • 2
  • 1
  • 1
  • 1
  • 1
  • 1
  • 1
Western Blotting (WB), Immunofluorescence (IF), Immunohistochemistry (IHC), Immunoprecipitation (IP), Chromatin Immunoprecipitation (ChIP)
  • 抗原表位

    • 4
    • 2
    • 2
    • 2
    • 2
    • 2
    • 2
    • 1
    • 1
    • 1
    • 1
    • 1
    • 1
    • 1
    • 1
    • 1
    • 1
    • 1
    AA 1-336

    序列

    MSQAVQTNGT QPLSKTWELS LYELQRTPQE AITDGLEIVV SPRSLHSELM CPICLDMLKN TMTTKECLHR FCADCIITAL RSGNKECPTC RKKLVSKRSL RPDPNFDALI SKIYPSRDEY EAHQERVLAR INKHNNQQAL SHSIEEGLKI QAMNRLQRGK KQQIENGSGA EDNGDSSHCS NASTHSNQEA GPSNKRTKTS DDSGLELDNN NAAMAIDPVM DGASEIELVF RPHPTLMEKD DSAQTRYIKT SGNATVDHLS KYLAVRLALE ELRSKGESNQ MNLDTASEKQ YTIYIATASG QFTVLNGSFS LELVSEKYWK VNKPMELYYA PTKEHK

    交叉反应

    人, 小鼠, 大鼠

    产品特性

    Polyclonal Antibodies

    免疫原

    Recombinant fusion protein containing a sequence corresponding to amino acids 1-336 of human RING1B/RING1B/RNF2 (NP_009143.1).

    亚型

    IgG
  • 应用备注

    WB,1:500 - 1:2000,IHC,1:50 - 1:200,IF,1:50 - 1:200,IP,1:50 - 1:200,ChIP,1:50 - 1:200

    说明

    HIGH QUALITY

    限制

    仅限研究用
  • 状态

    Liquid

    缓冲液

    PBS with 0.02 % sodium azide,50 % glycerol, pH 7.3.

    储存液

    Sodium azide

    注意事项

    This product contains Sodium azide: a POISONOUS AND HAZARDOUS SUBSTANCE which should be handled by trained staff only.

    储存条件

    -20 °C

    储存方法

    Store at -20°C. Avoid freeze / thaw cycles.
  • 抗原

    RNF2 (Ring Finger Protein 2 (RNF2))

    别名

    RNF2

    背景

    Polycomb group (PcG) of proteins form the multiprotein complexes that are important for the transcription repression of various genes involved in development and cell proliferation. The protein encoded by this gene is one of the PcG proteins. It has been shown to interact with, and suppress the activity of, transcription factor CP2 (TFCP2/CP2). Studies of the mouse counterpart suggested the involvement of this gene in the specification of anterior-posterior axis, as well as in cell proliferation in early development. This protein was also found to interact with huntingtin interacting protein 2 (HIP2), an ubiquitin-conjugating enzyme, and possess ubiquitin ligase activity.,RNF2,BAP-1,BAP1,DING,HIPI3,RING1B,RING2,Epigenetics & Nuclear Signaling,Chromatin Modifying Enzymes,Ubiquitination,Chromatin Remodeling,RNF2

    分子量

    29 kDa/37 kDa

    基因ID

    6045

    UniProt

    Q99496
You are here: