电话:
+86 (0512) 65829739
传真:
+86 (010) 6788 5057
电子邮件:
orders@antibodies-online.cn

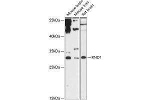
RND1 抗体 (AA 103-232)

The 兔 多克隆 anti-RND1 antibody (ABIN6146997) specifically detects RND1 in WB 和 IF. The antibody is reactive with 人 samples.
产品编号 ABIN6146997
发货至: 中国
Contact our Customer Service for availability and price in your country. Contact Info

Our Local Distributor

中国
北京 101111
No. 88 KeChuang 6th Street
Beijing Economic Technological Development Area
Room 801-803
4A Biotech Co.,Ltd.
Tel +86 (0512) 65829739 传真 +86 (010) 6788 5057

Quick Overview for RND1 抗体 (AA 103-232) (ABIN6146997)

抗原

See all RND1 抗体
RND1 (rho Family GTPase 1 (RND1))

适用

  • 15
  • 5
  • 2
  • 2
  • 2
  • 2
  • 2
  • 2
  • 1
  • 1
  • 1
  • 1
  • 1

宿主

  • 11
  • 4

克隆类型

  • 14
  • 1
多克隆

标记

  • 12
  • 1
  • 1
  • 1
This RND1 antibody is un-conjugated

应用范围

  • 10
  • 6
  • 2
  • 2
  • 1
  • 1
  • 1
Western Blotting (WB), Immunofluorescence (IF)
  • 抗原表位

    • 4
    • 2
    • 2
    • 2
    • 1
    • 1
    • 1
    • 1
    AA 103-232

    序列

    ALKKWRTEIL DYCPSTRVLL IGCKTDLRTD LSTLMELSHQ KQAPISYEQG CAIAKQLGAE IYLEGSAFTS EKSIHSIFRT ASMLCLNKPS PLPQKSPVRS LSKRLLHLPS RSELISSTFK KEKAKSCSIM

    交叉反应

    小鼠, 大鼠

    产品特性

    Polyclonal Antibodies

    免疫原

    Recombinant fusion protein containing a sequence corresponding to amino acids 103-232 of human RND1 (NP_055285.1).

    亚型

    IgG
  • 应用备注

    WB,1:500 - 1:2000,IF,1:50 - 1:200

    限制

    仅限研究用
  • 状态

    Liquid

    缓冲液

    PBS with 0.02 % sodium azide,50 % glycerol, pH 7.3.

    储存液

    Sodium azide

    注意事项

    This product contains Sodium azide: a POISONOUS AND HAZARDOUS SUBSTANCE which should be handled by trained staff only.

    储存条件

    -20 °C

    储存方法

    Store at -20°C. Avoid freeze / thaw cycles.
  • 抗原

    RND1 (rho Family GTPase 1 (RND1))

    别名

    RND1

    背景

    This gene encodes a protein that belongs to the Rho GTPase family. Members of this family regulate the organization of the actin cytoskeleton in response to extracellular growth factors. A similar protein in rat interacts with a microtubule regulator to control axon extension.,RND1,ARHS,RHO6,RHOS,Signal Transduction,G protein signaling,Signal Transduction,Cell Biology & Developmental Biology,Cytoskeleton,Microfilaments,RND1

    分子量

    26 kDa

    基因ID

    27289

    UniProt

    Q92730
You are here: