电话:
+86 (0512) 65829739
传真:
+86 (010) 6788 5057
电子邮件:
orders@antibodies-online.cn

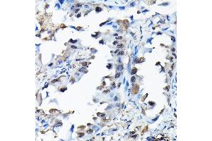
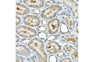
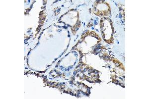
RBBP9 抗体 (AA 1-186)

This anti-RBBP9 antibody is a 兔 多克隆 antibody detecting RBBP9 in WB 和 IHC. Suitable for 人.
产品编号 ABIN6129095
发货至: 中国

Quick Overview for RBBP9 抗体 (AA 1-186) (ABIN6129095)

抗原

See all RBBP9 抗体
RBBP9 (Retinoblastoma Binding Protein 9 (RBBP9))

适用

  • 25
  • 2
  • 2
  • 1
  • 1
  • 1
  • 1
  • 1
  • 1

宿主

  • 15
  • 10

克隆类型

  • 17
  • 8
多克隆

标记

  • 15
  • 2
  • 1
  • 1
  • 1
  • 1
  • 1
  • 1
  • 1
  • 1
This RBBP9 antibody is un-conjugated

应用范围

  • 14
  • 10
  • 8
  • 5
  • 3
  • 1
  • 1
Western Blotting (WB), Immunohistochemistry (IHC)
  • 抗原表位

    • 9
    • 2
    • 1
    AA 1-186

    序列

    MASPSKAVIV PGNGGGDVTT HGWYGWVKKE LEKIPGFQCL AKNMPDPITA RESIWLPFME TELHCDEKTI IIGHSSGAIA AMRYAETHRV YAIVLVSAYT SDLGDENERA SGYFTRPWQW EKIKANCPYI VQFGSTDDPF LPWKEQQEVA DRLETKLHKF TDCGHFQNTE FHELITVVKS LLKVPA

    交叉反应

    人, 小鼠, 大鼠

    产品特性

    Polyclonal Antibodies

    免疫原

    Recombinant fusion protein containing a sequence corresponding to amino acids 1-186 of human RBBP9 (NP_006597.2).

    亚型

    IgG
  • 应用备注

    WB,1:500 - 1:2000,IHC,1:50 - 1:200

    说明

    HIGH QUALITY

    限制

    仅限研究用
  • 状态

    Liquid

    缓冲液

    PBS with 0.02 % sodium azide,50 % glycerol, pH 7.3.

    储存液

    Sodium azide

    注意事项

    This product contains Sodium azide: a POISONOUS AND HAZARDOUS SUBSTANCE which should be handled by trained staff only.

    储存条件

    -20 °C

    储存方法

    Store at -20°C. Avoid freeze / thaw cycles.
  • 抗原

    RBBP9 (Retinoblastoma Binding Protein 9 (RBBP9))

    别名

    RBBP9

    背景

    The protein encoded by this gene is a retinoblastoma binding protein that may play a role in the regulation of cell proliferation and differentiation. Two alternatively spliced transcript variants of this gene with identical predicted protein products have been reported, one of which is a nonsense-mediated decay candidate.,RBBP9,BOG,RBBP10,Signal Transduction,Cell Biology & Developmental Biology,Growth factor,RBBP9

    分子量

    19 kDa/21 kDa

    基因ID

    10741

    UniProt

    O75884
You are here:
Chat with us!