电话:
+86 (0512) 65829739
传真:
+86 (010) 6788 5057
电子邮件:
orders@antibodies-online.cn

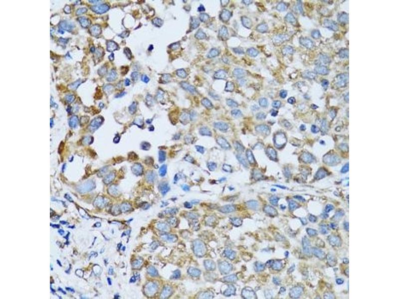
RARS 抗体 (AA 1-300)

This 兔 多克隆 antibody specifically detects RARS in WB, IHC 和 IF. It exhibits reactivity toward 人.
产品编号 ABIN6146708
发货至: 中国
Contact our Customer Service for availability and price in your country. Contact Info

Our Local Distributor

中国
北京 101111
No. 88 KeChuang 6th Street
Beijing Economic Technological Development Area
Room 801-803
4A Biotech Co.,Ltd.
Tel +86 (0512) 65829739 传真 +86 (010) 6788 5057

Quick Overview for RARS 抗体 (AA 1-300) (ABIN6146708)

抗原

See all RARS 抗体
RARS (Arginyl-tRNA Synthetase (RARS))

适用

  • 45
  • 13
  • 5
  • 2
  • 2
  • 1
  • 1
  • 1
  • 1
  • 1
  • 1

宿主

  • 34
  • 11
  • 1

克隆类型

  • 37
  • 9
多克隆

标记

  • 29
  • 2
  • 2
  • 2
  • 2
  • 2
  • 2
  • 2
  • 2
  • 1
This RARS antibody is un-conjugated

应用范围

  • 27
  • 13
  • 12
  • 11
  • 8
  • 7
  • 5
  • 4
  • 1
  • 1
  • 1
  • 1
  • 1
Western Blotting (WB), Immunohistochemistry (IHC), Immunofluorescence (IF)
  • 抗原表位

    • 6
    • 5
    • 5
    • 5
    • 2
    • 2
    • 1
    • 1
    • 1
    • 1
    AA 1-300

    序列

    MDVLVSECSA RLLQQEEEIK SLTAEIDRLK NCGCLGASPN LEQLQEENLK LKYRLNILRK SLQAERNKPT KNMINIISRL QEVFGHAIKA AYPDLENPPL LVTPSQQAKF GDYQCNSAMG ISQMLKTKEQ KVNPREIAEN ITKHLPDNEC IEKVEIAGPG FINVHLRKDF VSEQLTSLLV NGVQLPALGE NKKVIVDFSS PNIAKEMHVG HLRSTIIGES ISRLFEFAGY DVLRLNHVGD WGTQFGMLIA HLQDKFPDYL TVSPPIGDLQ VFYKESKKRF DTEEEFKKRA YQCVVLLQGK

    交叉反应

    人, 小鼠, 大鼠

    产品特性

    Polyclonal Antibodies

    免疫原

    Recombinant fusion protein containing a sequence corresponding to amino acids 1-300 of human RARS (NP_002878.2).

    亚型

    IgG
  • 应用备注

    WB,1:500 - 1:2000,IHC,1:50 - 1:200,IF,1:10 - 1:100

    说明

    HIGH QUALITY

    限制

    仅限研究用
  • 状态

    Liquid

    缓冲液

    PBS with 0.02 % sodium azide,50 % glycerol, pH 7.3.

    储存液

    Sodium azide

    注意事项

    This product contains Sodium azide: a POISONOUS AND HAZARDOUS SUBSTANCE which should be handled by trained staff only.

    储存条件

    -20 °C

    储存方法

    Store at -20°C. Avoid freeze / thaw cycles.
  • 抗原

    RARS (Arginyl-tRNA Synthetase (RARS))

    别名

    RARS

    背景

    Aminoacyl-tRNA synthetases catalyze the aminoacylation of tRNA by their cognate amino acid. Because of their central role in linking amino acids with nucleotide triplets contained in tRNAs, aminoacyl-tRNA synthetases are thought to be among the first proteins that appeared in evolution. Arginyl-tRNA synthetase belongs to the class-I aminoacyl-tRNA synthetase family.,RARS,ArgRS,DALRD1,HLD9,Epigenetics & Nuclear Signaling,Endocrine & Metabolism,Mitochondrial metabolism,RARS

    分子量

    67 kDa/75 kDa

    基因ID

    5917

    UniProt

    P54136
You are here: