电话:
+86 (0512) 65829739
传真:
+86 (010) 6788 5057
电子邮件:
orders@antibodies-online.cn

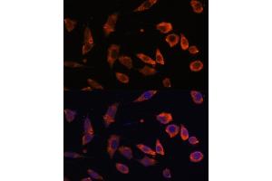
RAB5B 抗体 (AA 1-215)

This 兔 多克隆 antibody specifically detects RAB5B in WB, IHC 和 IF. It exhibits reactivity toward 人.
产品编号 ABIN6146597
发货至: 中国
Contact our Customer Service for availability and price in your country. Contact Info

Our Local Distributor

中国
北京 101111
No. 88 KeChuang 6th Street
Beijing Economic Technological Development Area
Room 801-803
4A Biotech Co.,Ltd.
Tel +86 (0512) 65829739 传真 +86 (010) 6788 5057

Quick Overview for RAB5B 抗体 (AA 1-215) (ABIN6146597)

抗原

See all RAB5B 抗体
RAB5B (RAB5B, Member RAS Oncogene Family (RAB5B))

适用

  • 22
  • 22
  • 9
  • 4
  • 3
  • 3
  • 3
  • 3
  • 3
  • 2
  • 2
  • 1
  • 1
  • 1
  • 1
  • 1
  • 1
  • 1

宿主

  • 19
  • 2
  • 2

克隆类型

  • 21
  • 2
多克隆

标记

  • 18
  • 1
  • 1
  • 1
  • 1
  • 1
This RAB5B antibody is un-conjugated

应用范围

  • 22
  • 11
  • 4
  • 3
  • 1
  • 1
Western Blotting (WB), Immunohistochemistry (IHC), Immunofluorescence (IF)
  • 抗原表位

    • 8
    • 3
    • 3
    • 2
    • 1
    AA 1-215

    序列

    MTSRSTARPN GQPQASKICQ FKLVLLGESA VGKSSLVLRF VKGQFHEYQE STIGAAFLTQ SVCLDDTTVK FEIWDTAGQE RYHSLAPMYY RGAQAAIVVY DITNQETFAR AKTWVKELQR QASPSIVIAL AGNKADLANK RMVEYEEAQA YADDNSLLFM ETSAKTAMNV NDLFLAIAKK LPKSEPQNLG GAAGRSRGVD LHEQSQQNKS QCCSN

    交叉反应

    人, 小鼠, 大鼠

    产品特性

    Polyclonal Antibodies

    免疫原

    Recombinant fusion protein containing a sequence corresponding to amino acids 1-215 of human RAB5B (NP_002859.1).

    亚型

    IgG
  • 应用备注

    WB,1:500 - 1:2000,IHC,1:50 - 1:200,IF,1:50 - 1:200

    限制

    仅限研究用
  • 状态

    Liquid

    缓冲液

    PBS with 0.02 % sodium azide,50 % glycerol, pH 7.3.

    储存液

    Sodium azide

    注意事项

    This product contains Sodium azide: a POISONOUS AND HAZARDOUS SUBSTANCE which should be handled by trained staff only.

    储存条件

    -20 °C

    储存方法

    Store at -20°C. Avoid freeze / thaw cycles.
  • 抗原

    RAB5B (RAB5B, Member RAS Oncogene Family (RAB5B))

    别名

    RAB5B

    背景

    Protein transport. Probably involved in vesicular traffic.,RAB5B,Signal Transduction,G protein signaling,Signal Transduction,Neuroscience,Neurodegenerative Diseases,Dopamine Signaling in Parkinson's Disease,RAB5B

    分子量

    19 kDa/23 kDa

    基因ID

    5869

    UniProt

    P61020
You are here: