电话:
+86 (0512) 65829739
传真:
+86 (010) 6788 5057
电子邮件:
orders@antibodies-online.cn

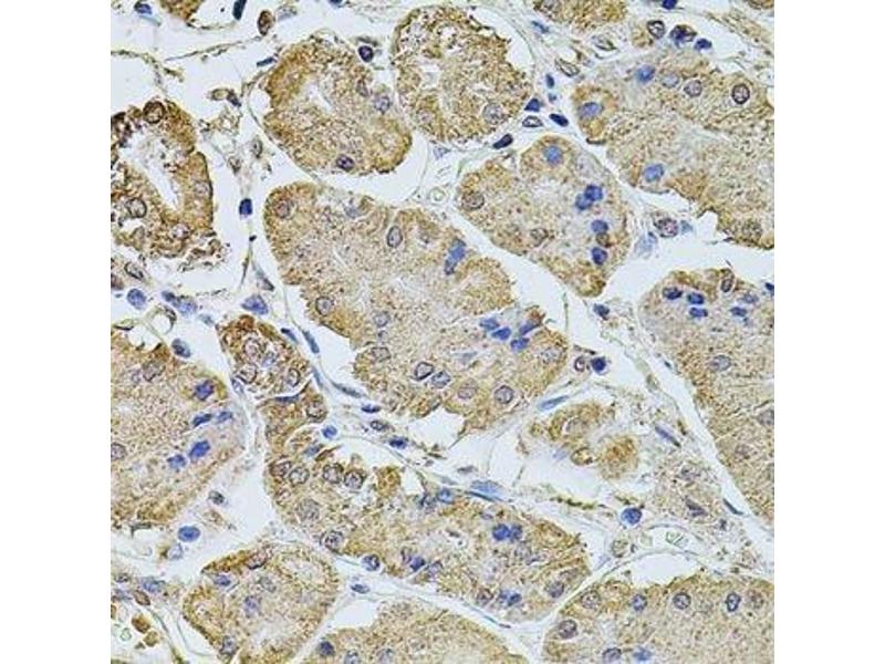
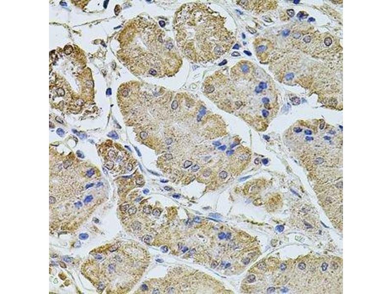
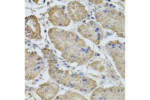
PTCD3 抗体 (AA 450-689)

The 兔 多克隆 anti-PTCD3 antibody (ABIN6146377) specifically detects PTCD3 in WB, IHC 和 IF. The antibody is reactive with 人 samples.
产品编号 ABIN6146377
发货至: 中国
Contact our Customer Service for availability and price in your country. Contact Info

Our Local Distributor

中国
北京 101111
No. 88 KeChuang 6th Street
Beijing Economic Technological Development Area
Room 801-803
4A Biotech Co.,Ltd.
Tel +86 (0512) 65829739 传真 +86 (010) 6788 5057

Quick Overview for PTCD3 抗体 (AA 450-689) (ABIN6146377)

抗原

PTCD3 (Pentatricopeptide Repeat Domain 3 (PTCD3))

适用

  • 7
  • 5
  • 5
  • 2
  • 2
  • 1
  • 1
  • 1
  • 1

宿主

  • 7

克隆类型

  • 7
多克隆

标记

  • 7
This PTCD3 antibody is un-conjugated

应用范围

  • 7
  • 2
  • 2
  • 1
Western Blotting (WB), Immunohistochemistry (IHC), Immunofluorescence (IF)
  • 抗原表位

    • 2
    • 1
    • 1
    • 1
    AA 450-689

    序列

    PDQHRNFYYS KFFDLICLME QIDVTLKWYE DLIPSAYFPH SQTMIHLLQA LDVANRLEVI PKIWKDSKEY GHTFRSDLRE EILMLMARDK HPPELQVAFA DCAADIKSAY ESQPIRQTAQ DWPATSLNCI AILFLRAGRT QEAWKMLGLF RKHNKIPRSE LLNELMDSAK VSNSPSQAIE VVELASAFSL PICEGLTQRV MSDFAINQEQ KEALSNLTAL TSDSDTDSSS DSDSDTSEGK

    交叉反应

    人, 小鼠, 大鼠

    产品特性

    Polyclonal Antibodies

    免疫原

    Recombinant fusion protein containing a sequence corresponding to amino acids 450-689 of human PTCD3 (NP_060422.4).

    亚型

    IgG
  • 应用备注

    WB,1:500 - 1:2000,IHC,1:50 - 1:200,IF,1:50 - 1:200

    说明

    HIGH QUALITY

    限制

    仅限研究用
  • 状态

    Liquid

    缓冲液

    PBS with 0.02 % sodium azide,50 % glycerol, pH 7.3.

    储存液

    Sodium azide

    注意事项

    This product contains Sodium azide: a POISONOUS AND HAZARDOUS SUBSTANCE which should be handled by trained staff only.

    储存条件

    -20 °C

    储存方法

    Store at -20°C. Avoid freeze / thaw cycles.
  • 抗原

    PTCD3 (Pentatricopeptide Repeat Domain 3 (PTCD3))

    别名

    PTCD3

    背景

    Mitochondrial RNA-binding protein that has a role in mitochondrial translation.,PTCD3,MRP-S39,Epigenetics & Nuclear Signaling,RNA Binding,Endocrine & Metabolism,Mitochondrial metabolism,PTCD3

    分子量

    31 kDa/78 kDa

    基因ID

    55037

    UniProt

    Q96EY7
You are here: