电话:
+86 (0512) 65829739
传真:
+86 (010) 6788 5057
电子邮件:
orders@antibodies-online.cn

PSG1 抗体 (AA 180-419)

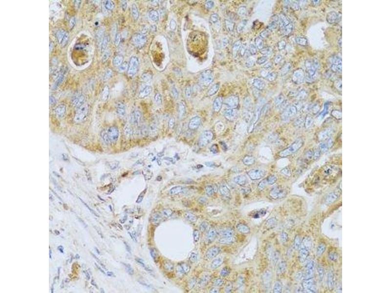
This 兔 多克隆 antibody specifically detects PSG1 in WB, IHC 和 IF. It exhibits reactivity toward 人.
产品编号 ABIN6146294
发货至: 中国
Contact our Customer Service for availability and price in your country. Contact Info

Our Local Distributor

中国
北京 101111
No. 88 KeChuang 6th Street
Beijing Economic Technological Development Area
Room 801-803
4A Biotech Co.,Ltd.
Tel +86 (0512) 65829739 传真 +86 (010) 6788 5057

Quick Overview for PSG1 抗体 (AA 180-419) (ABIN6146294)

抗原

See all PSG1 抗体
PSG1 (Pregnancy Specific beta-1-Glycoprotein 1 (PSG1))

适用

  • 19
  • 2
  • 2

宿主

  • 16
  • 3

克隆类型

  • 17
  • 2
多克隆

标记

  • 19
This PSG1 antibody is un-conjugated

应用范围

  • 15
  • 9
  • 7
  • 3
  • 2
  • 2
  • 2
  • 2
  • 1
Western Blotting (WB), Immunohistochemistry (IHC), Immunofluorescence (IF)
  • 抗原表位

    • 2
    • 2
    • 2
    • 2
    • 1
    • 1
    • 1
    • 1
    • 1
    • 1
    AA 180-419

    序列

    WWMNGQSLPM THSLKLSETN RTLFLLGVTK YTAGPYECEI RNPVSASRSD PVTLNLLPKL PKPYITINNL NPRENKDVLN FTCEPKSENY TYIWWLNGQS LPVSPRVKRP IENRILILPS VTRNETGPYQ CEIRDRYGGI RSDPVTLNVL YGPDLPRIYP SFTYYRSGEV LYLSCSADSN PPAQYSWTIN EKFQLPGQKL FIRHITTKHS GLYVCSVRNS ATGKESSKSM TVEVSDWTVP

    交叉反应

    产品特性

    Polyclonal Antibodies

    免疫原

    Recombinant fusion protein containing a sequence corresponding to amino acids 180-419 of human PSG1 (NP_001171754.1).

    亚型

    IgG
  • 应用备注

    WB,1:500 - 1:2000,IHC,1:50 - 1:100,IF,1:50 - 1:200

    说明

    HIGH QUALITY

    限制

    仅限研究用
  • 状态

    Liquid

    缓冲液

    PBS with 0.02 % sodium azide,50 % glycerol, pH 7.3.

    储存液

    Sodium azide

    注意事项

    This product contains Sodium azide: a POISONOUS AND HAZARDOUS SUBSTANCE which should be handled by trained staff only.

    储存条件

    -20 °C

    储存方法

    Store at -20°C. Avoid freeze / thaw cycles.
  • 抗原

    PSG1 (Pregnancy Specific beta-1-Glycoprotein 1 (PSG1))

    别名

    PSG1

    背景

    The human placenta is a multihormonal endocrine organ that produces hormones, enzymes, and other molecules that support fetal survival and development. Pregnancy-specific beta-1-glycoprotein (PSBG, PSG) is a major product of the syncytiotrophoblast, reaching concentrations of 100 to 290 mg/l at term in the serum of pregnant women (Horne et al., 1976 [PubMed 971765]). PSG is a member of the immunoglobulin (Ig) superfamily (Watanabe and Chou, 1988 [PubMed 3257488], Streydio et al., 1988 [PubMed 3260773]).[supplied by OMIM, Oct 2009],PSG1,B1G1,CD66f,DHFRP2,FL-NCA-1/2,PBG1,PS-beta-C/D,PS-beta-G-1,PSBG-1,PSBG1,PSG95,PSGGA,PSGIIA,SP1,Immunology & Inflammation,CD markers,PSG1

    分子量

    46 kDa/47 kDa/48 kDa

    基因ID

    5669

    UniProt

    P11464
You are here: