电话:
+86 (0512) 65829739
传真:
+86 (010) 6788 5057
电子邮件:
orders@antibodies-online.cn

SAPS2 抗体 (AA 640-959)

This 兔 多克隆 antibody specifically detects SAPS2 in WB. It exhibits reactivity toward 人.
产品编号 ABIN6146114
发货至: 中国
Contact our Customer Service for availability and price in your country. Contact Info

Our Local Distributor

中国
北京 101111
No. 88 KeChuang 6th Street
Beijing Economic Technological Development Area
Room 801-803
4A Biotech Co.,Ltd.
Tel +86 (0512) 65829739 传真 +86 (010) 6788 5057

Quick Overview for SAPS2 抗体 (AA 640-959) (ABIN6146114)

抗原

See all SAPS2 抗体
SAPS2 (SAPS Domain Family, Member 2 (SAPS2))

适用

  • 5
  • 1

宿主

  • 4
  • 1

克隆类型

  • 5
多克隆

标记

  • 5
This SAPS2 antibody is un-conjugated

应用范围

  • 4
  • 2
  • 1
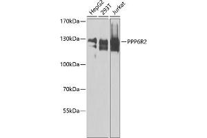
Western Blotting (WB)
  • 抗原表位

    • 1
    • 1
    • 1
    • 1
    AA 640-959

    序列

    EDSDTRCAAR VMARPRFGAP HASESCSKNG PERGGQDGKA SLEAHRDAPG AGAPPAPGKK EAPPVEGDSE GAMWTAVFDE PANSTPTAPG VVRDVGSSVW AAGTSAPEEK GWAKFTDFQP FCCSESGPRC SSPVDTECSH AEGSRSQGPE KAFSPASPCA WNVCVTRKAP LLASDSSSSG GSHSEDGDQK AASAMDAVSR GPGREAPPLP TVARTEEAVG RVGCADSRLL SPACPAPKEV TAAPAVAVPP EATVAITTAL SKAGPAIPTP AVSSALAVAV PLGPIMAVTA APAMVATLGT VTKDGKTDAP PEGAALNGPV

    交叉反应

    产品特性

    Polyclonal Antibodies

    免疫原

    Recombinant fusion protein containing a sequence corresponding to amino acids 640-959 of human PPP6R2 (NP_001229827.1).

    亚型

    IgG
  • 应用备注

    WB,1:500 - 1:2000

    说明

    HIGH QUALITY

    限制

    仅限研究用
  • 状态

    Liquid

    缓冲液

    PBS with 0.02 % sodium azide,50 % glycerol, pH 7.3.

    储存液

    Sodium azide

    注意事项

    This product contains Sodium azide: a POISONOUS AND HAZARDOUS SUBSTANCE which should be handled by trained staff only.

    储存条件

    -20 °C

    储存方法

    Store at -20°C. Avoid freeze / thaw cycles.
  • 抗原

    SAPS2 (SAPS Domain Family, Member 2 (SAPS2))

    别名

    PPP6R2

    背景

    The protein encoded by this gene is a regulatory protein for the protein phosphatase-6 catalytic subunit. Together, these proteins act as a significant T-loop phosphatase for Aurora A, an essential mitotic kinase. Loss of function of either the regulatory or catalytic subunit of protein phosphatase-6 interferes with spindle formation and chromosome alignment.,PPP6R2,KIAA0685,PP6R2,SAP190,SAPS2,Signal Transduction,PPP6R2

    分子量

    98 kDa/101 kDa/104 kDa

    基因ID

    9701

    UniProt

    O75170
You are here: